Suppr超能文献

叙利亚仓鼠中脑心肌炎病毒诱导的睾丸炎

Encephalomyocarditis (EMC) virus-induced orchitis in Syrian hamsters.

作者信息

Hirasawa K, Takeda M, Matsuzaki H, Doi K

机构信息

Department of Biomedical Science, Faculty of Agriculture, University of Tokyo, Japan.

出版信息

Int J Exp Pathol. 1991 Dec;72(6):617-22.

Abstract

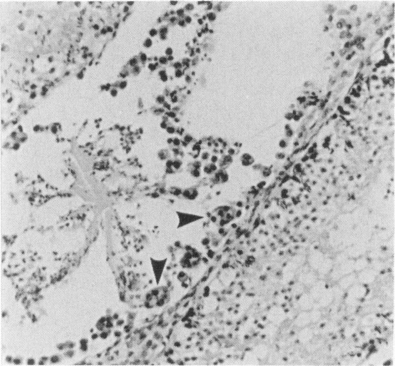
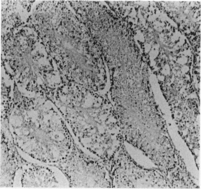
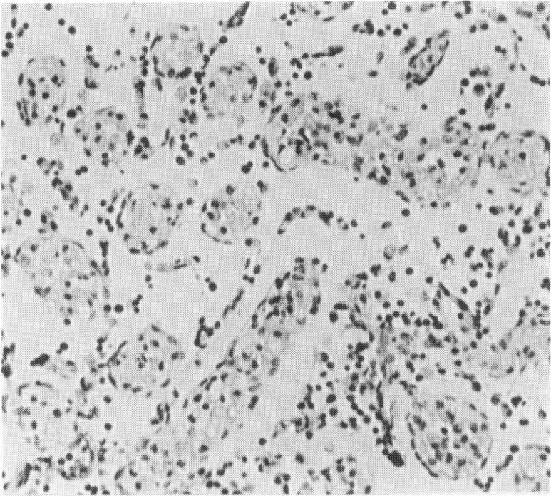
Testes of 8-week-old male Syrian hamsters which were inoculated intraperitoneally with 10(5) plaque-forming units of the D variant of encephalomyocarditis virus (EMC-D) were examined virologically and histologically. Viral replication was detected from 1 day post inoculation (1 DPI), became more prominent 3 DPI, and was no longer demonstrated 7 DPI. The weight of testis decreased in course of time and it was about 2% of that of control 6 weeks post inoculation (6 WPI). Histopathologically, degeneration and/or necrosis of germinal cells and spermatogonia were observed in many seminiferous tubules of all hamsters 3 DPI. At 7 DPI, luminal obstruction by cellular debris and subsequent replacement of them by mesenchymal cells were common in mildly atrophic tubules surrounded with inflammatory cells. Thereafter, atrophy of seminiferous tubules became severer with the lapse of time and, in addition to plasma cell infiltration, apparent increase in the number of Leydig cells was found in the interstices. No regenerative signs of germinal epithelia were detected by 6 WPI. This is the first report of EMC virus-induced orchitis.

摘要

对8周龄雄性叙利亚仓鼠的睾丸进行了病毒学和组织学检查,这些仓鼠经腹腔接种了10⁵ 个脑心肌炎病毒D变种(EMC-D)的蚀斑形成单位。接种后1天(1 DPI)检测到病毒复制,3 DPI时更为显著,7 DPI时不再检测到。随着时间推移,睾丸重量下降,接种后6周(6 WPI)时约为对照组的2%。组织病理学上,3 DPI时,所有仓鼠的许多生精小管中均观察到生殖细胞和精原细胞的变性和/或坏死。7 DPI时,轻度萎缩的小管内常见细胞碎片造成的管腔阻塞,随后这些碎片被间充质细胞取代,周围有炎症细胞。此后,随着时间推移,生精小管萎缩变得更加严重,除浆细胞浸润外,间质中Leydig细胞数量明显增加。6 WPI时未检测到生精上皮的再生迹象。这是关于EMC病毒诱导睾丸炎的首次报告。

https://cdn.ncbi.nlm.nih.gov/pmc/blobs/670f/2002449/ce5dcef642a4/ijexpath00030-0007-a.jpg

文献检索

告别复杂PubMed语法,用中文像聊天一样搜索,搜遍4000万医学文献。AI智能推荐,让科研检索更轻松。

立即免费搜索

文件翻译

保留排版,准确专业,支持PDF/Word/PPT等文件格式,支持 12+语言互译。

免费翻译文档

深度研究

AI帮你快速写综述,25分钟生成高质量综述,智能提取关键信息,辅助科研写作。

立即免费体验