Department of Botany and Plant Sciences, University of California, Riverside, California 92521-0124.
Plant Physiol. 1985 Jan;77(1):59-63. doi: 10.1104/pp.77.1.59.
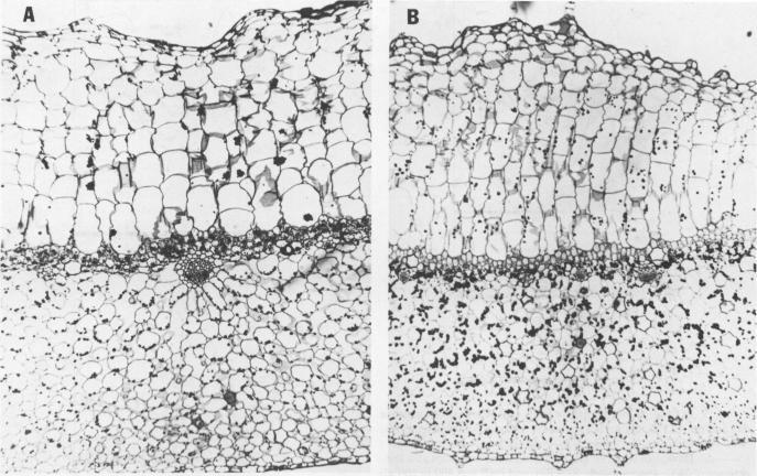
Peperomia camptotricha, a tropical epiphyte from Mexico, shows variable forms of Crassulacean acid metabolism (CAM). Young leaves exhibit CAM-cycling, while mature leaves show an intermediate type of metabolism, between CAM and CAM-cycling, having approximately the same amount of nighttime gas exchange as daytime. Metabolism of young leaves appears independent of daylength, but mature leaves have a tendency toward more CAM-like metabolism under short days (8 hours). Large differences in the physical appearance of plants were found between those grown under short daylengths and those grown under long daylengths (14 hours). Some anatomical differences were also detected in the leaves. Water stress caused a switch to CAM in young and mature leaves, and as water stress increased, they shifted to CAM-idling.
墨西哥的热带附生植物胡椒木表现出可变形式的景天酸代谢(CAM)。幼叶表现出 CAM 循环,而成熟叶表现出介于 CAM 和 CAM 循环之间的中间代谢类型,夜间气体交换量与白天大致相同。幼叶的代谢似乎与日照长度无关,但在短日照(8 小时)下,成熟叶有向更类似 CAM 的代谢的倾向。在短日照和长日照(14 小时)下生长的植物在外观上有很大差异。在叶片中也检测到一些解剖学差异。水分胁迫导致幼叶和成熟叶向 CAM 转变,随着水分胁迫的增加,它们又向 CAM 休眠转变。