Suppr超能文献

体外实验证明类囊体前体蛋白 pLHCP 的膜插入需要可溶性蛋白因子。

A Soluble Protein Factor is Required in Vitro for Membrane Insertion of the Thylakoid Precursor Protein, pLHCP.

机构信息

Fruit Crops Department, University of Florida, Gainesville, Florida 32611.

出版信息

Plant Physiol. 1988 Dec;88(4):1146-53. doi: 10.1104/pp.88.4.1146.

Abstract

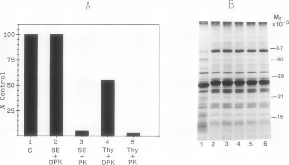
The precursor to the light-harvesting chlorophyll a/b protein of photosystem II can insert into isolated thylakoid membranes if reaction mixtures also contain ATP and a soluble extract of chloroplasts. Optimization of this insertion process and the initial characterization of the soluble chloroplastic component are presented. With a fixed amount of precursor, maximum integration rates occurred during the first 30 minutes at pH 8.0 and 30 degrees C when the soluble chloroplast extract was increased eight-fold over the stoichiometric amount. Under these conditions, insertion was routinely about 60% of that which occurred during import into intact chloroplasts. Integration also increased virtually linearly with increasing amounts of precursor. However, assays revealed that at least 40% of the in vitro-synthesized pLHCP was pelletable and inactive. The soluble chloroplastic component exhibited characteristics expected of a protein. It was inactivated by heat, protease, and N-ethylmaleimide, but was insensitive to ribonuclease. The soluble component migrated on a Sephacryl S-200 gel filtration column as a single peak with an M(r) of approximately 65,000. The proteinaceous nature of this factor suggests a similarity to soluble factors required for protein transport/integration in other membrane systems.

摘要

如果反应混合物中还含有 ATP 和叶绿体的可溶性提取物,那么光系统 II 的捕光叶绿素 a/b 蛋白的前体就可以插入到分离的类囊体膜中。本文介绍了该插入过程的优化和可溶性叶绿体成分的初步特征。对于固定量的前体,在 pH 值为 8.0 和 30°C 的条件下,当可溶性叶绿体提取物的量比化学计量增加 8 倍时,在前 30 分钟内达到最大整合速率。在这些条件下,插入率通常约为完整叶绿体中导入时的 60%。整合率也随前体量的增加呈近乎线性增加。然而,检测结果表明,至少有 40%的体外合成的 pLHCP 可沉淀且无活性。可溶性叶绿体成分表现出预期的蛋白质特征。它可被热、蛋白酶和 N-乙基马来酰亚胺失活,但对核糖核酸酶不敏感。可溶性成分在 Sephacryl S-200 凝胶过滤柱上迁移呈单一峰,分子量约为 65,000。该因子的蛋白质性质表明它与其他膜系统中蛋白质运输/整合所需的可溶性因子相似。

https://cdn.ncbi.nlm.nih.gov/pmc/blobs/cd98/1055731/dcda62361d3e/plntphys00634-0199-a.jpg

文献AI研究员

20分钟写一篇综述,助力文献阅读效率提升50倍。

立即体验

用中文搜PubMed

大模型驱动的PubMed中文搜索引擎

马上搜索

文档翻译

学术文献翻译模型,支持多种主流文档格式。

立即体验