• 文献检索
  • 文档翻译
  • 深度研究
  • 学术资讯
  • Suppr Zotero 插件Zotero 插件
  • 邀请有礼
  • 套餐&价格
  • 历史记录
应用&插件
Suppr Zotero 插件Zotero 插件浏览器插件Mac 客户端Windows 客户端微信小程序
定价
高级版会员购买积分包购买API积分包
服务
文献检索文档翻译深度研究API 文档MCP 服务
关于我们
关于 Suppr公司介绍联系我们用户协议隐私条款
关注我们

Suppr 超能文献

核心技术专利:CN118964589B侵权必究
粤ICP备2023148730 号-1Suppr @ 2026

文献检索

告别复杂PubMed语法,用中文像聊天一样搜索,搜遍4000万医学文献。AI智能推荐,让科研检索更轻松。

立即免费搜索

文件翻译

保留排版,准确专业,支持PDF/Word/PPT等文件格式,支持 12+语言互译。

免费翻译文档

深度研究

AI帮你快速写综述,25分钟生成高质量综述,智能提取关键信息,辅助科研写作。

立即免费体验

胃肠道激素mRNA在人结肠腺癌、肝转移瘤及细胞系中的表达

Gastrointestinal hormone mRNA expression in human colonic adenocarcinomas, hepatic metastases and cell lines.

作者信息

Monges G, Biagini P, Cantaloube J F, De Micco P, Parriaux D, Seitz J F, Delpero J R, Hassoun J

机构信息

Laboratory of Anatomical Pathology, Paoli Calmettes Institute, 232 Boulevard de Sainte Marguerite, 13009 Marseille, France.

出版信息

Clin Mol Pathol. 1996 Jun;49(3):M159-65. doi: 10.1136/mp.49.3.m159.

DOI:10.1136/mp.49.3.m159
PMID:16696065
原文链接:https://pmc.ncbi.nlm.nih.gov/articles/PMC408043/
Abstract

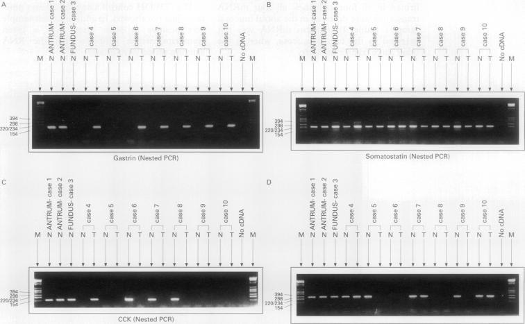
Aims-(1) To investigate the expression of the four main hormones of the digestive tract by performing reverse transcription polymerase chain reaction (RT-PCR) on a series of samples, comprising tumoral and healthy colonic tissues, hepatic metastases and colonic cell line samples; and (2) to study the patterns of labelling obtained with serological and morphological markers.Methods-After extraction and reverse transcription, gastrin, somatostatin, cholecystokinin (CCK) and transforming growth factor alpha (TGFalpha) mRNAs were detected by PCR and nested PCR using specific primers. The corresponding proteins were detected by immunohistochemistry.Results-The cell lines expressed all four mRNAs. Gastrin mRNA was present in most tumoral and metastatic samples, while the somatostatin transcript was detected in all samples and was frequently overexpressed in the normal colon. TGFalpha mRNA was expressed systematically in tumours of the right and transverse colon, but not in those located in the left colon; the expression of CCK mRNA was systematically absent in the left colon.Conclusions-The data presented here shed some light on the transcriptional events involved in the production of the various hormones present in the gastrointestinal tract, in both healthy and tumoral tissues. The various mRNAs expressed in cell lines are therefore not systematically expressed in the human pathology.

摘要

目的——(1)通过对一系列样本进行逆转录聚合酶链反应(RT-PCR),包括肿瘤性和健康结肠组织、肝转移灶及结肠细胞系样本,来研究消化道四种主要激素的表达;(2)研究血清学和形态学标志物的标记模式。方法——提取和逆转录后,使用特异性引物通过PCR和巢式PCR检测胃泌素、生长抑素、胆囊收缩素(CCK)和转化生长因子α(TGFα)的mRNA。通过免疫组织化学检测相应蛋白。结果——细胞系表达所有四种mRNA。胃泌素mRNA存在于大多数肿瘤性和转移性样本中,而生长抑素转录本在所有样本中均被检测到,且在正常结肠中常过度表达。TGFα mRNA在右半结肠和横结肠肿瘤中均有系统性表达,但在左半结肠肿瘤中无表达;CCK mRNA在左半结肠中系统性缺失。结论——本文所呈现的数据揭示了健康和肿瘤组织中胃肠道存在的各种激素产生过程中涉及的转录事件。因此,细胞系中表达的各种mRNA在人类病理学中并非都有系统性表达。

https://cdn.ncbi.nlm.nih.gov/pmc/blobs/86bf/408043/833e23aa1f8e/clinmolpath00002-0039-a.jpg
https://cdn.ncbi.nlm.nih.gov/pmc/blobs/86bf/408043/efa6afa2105f/clinmolpath00002-0037-a.jpg
https://cdn.ncbi.nlm.nih.gov/pmc/blobs/86bf/408043/88b593e52755/clinmolpath00002-0038-a.jpg
https://cdn.ncbi.nlm.nih.gov/pmc/blobs/86bf/408043/833e23aa1f8e/clinmolpath00002-0039-a.jpg
https://cdn.ncbi.nlm.nih.gov/pmc/blobs/86bf/408043/efa6afa2105f/clinmolpath00002-0037-a.jpg
https://cdn.ncbi.nlm.nih.gov/pmc/blobs/86bf/408043/88b593e52755/clinmolpath00002-0038-a.jpg
https://cdn.ncbi.nlm.nih.gov/pmc/blobs/86bf/408043/833e23aa1f8e/clinmolpath00002-0039-a.jpg

相似文献

1
Gastrointestinal hormone mRNA expression in human colonic adenocarcinomas, hepatic metastases and cell lines.胃肠道激素mRNA在人结肠腺癌、肝转移瘤及细胞系中的表达
Clin Mol Pathol. 1996 Jun;49(3):M159-65. doi: 10.1136/mp.49.3.m159.
2
The human gastrin/cholecystokinin receptors: type B and type C expression in colonic tumors and cell lines.人胃泌素/胆囊收缩素受体:B型和C型在结肠肿瘤及细胞系中的表达
Life Sci. 1997;61(10):1009-18. doi: 10.1016/s0024-3205(97)00605-x.
3
Cholecystokinin-A and cholecystokinin-B/gastrin receptor mRNA expression in the gastrointestinal tract and pancreas of the rat and man. A polymerase chain reaction study.大鼠和人类胃肠道及胰腺中胆囊收缩素-A和胆囊收缩素-B/胃泌素受体mRNA表达。一项聚合酶链反应研究。
Scand J Gastroenterol. 1996 Apr;31(4):383-90. doi: 10.3109/00365529609006415.
4
Differential expression of gastrin, cholecystokinin-A and cholecystokinin-B receptor mRNA in human pancreatic cancer cell lines.胃泌素、胆囊收缩素-A及胆囊收缩素-B受体mRNA在人胰腺癌细胞系中的差异表达
Scand J Gastroenterol. 2001 Jul;36(7):738-43. doi: 10.1080/003655201300192003.
5
Differential expression of the CCK-A and CCK-B/gastrin receptor genes in human cancers of the esophagus, stomach and colon.CCK-A与CCK-B/胃泌素受体基因在人食管癌、胃癌和结肠癌中的差异表达。
Int J Cancer. 1997 Sep 17;72(6):931-6. doi: 10.1002/(sici)1097-0215(19970917)72:6<931::aid-ijc2>3.0.co;2-q.
6
Presence of CCK-A, B receptors and effect of gastrin and cholecystokinin on growth of pancreatobiliary cancer cell lines.胆囊收缩素A、B受体的存在以及胃泌素和胆囊收缩素对胰胆管癌细胞系生长的影响。
World J Gastroenterol. 2005 Feb 14;11(6):803-9. doi: 10.3748/wjg.v11.i6.803.
7
Expression of Cdx1 and Cdx2 mRNAs and relevance of this expression to differentiation in human gastrointestinal mucosa--with special emphasis on participation in intestinal metaplasia of the human stomach.Cdx1和Cdx2 mRNA的表达及其与人类胃肠道黏膜分化的相关性——特别强调其在人胃肠化生中的作用
Gastric Cancer. 2001;4(4):185-91. doi: 10.1007/pl00011741.
8
Detection of gastrin mRNA in fresh human colonic carcinomas by reverse transcription-polymerase chain reaction.通过逆转录-聚合酶链反应检测新鲜人结肠癌组织中的胃泌素mRNA
J Mol Endocrinol. 1993 Oct;11(2):223-9. doi: 10.1677/jme.0.0110223.
9
Cholecystokinin-B (CCK-B)/gastrin receptor targeting peptides for staging and therapy of medullary thyroid cancer and other CCK-B receptor expressing malignancies.用于甲状腺髓样癌及其他表达胆囊收缩素B(CCK-B)受体的恶性肿瘤分期和治疗的靶向CCK-B/胃泌素受体的肽段
Biopolymers. 2002;66(6):399-418. doi: 10.1002/bip.10356.
10
Incomplete processing of progastrin expressed by human colon cancer cells: role of noncarboxyamidated gastrins.人结肠癌细胞表达的胃泌素原加工不完全:非羧基酰胺化胃泌素的作用。
Am J Physiol. 1994 Mar;266(3 Pt 1):G459-68. doi: 10.1152/ajpgi.1994.266.3.G459.

本文引用的文献

1
The prognostic significance of direct extension of carcinoma of the colon and rectum.结肠直肠癌直接蔓延的预后意义
Ann Surg. 1954 Jun;139(6):846-52. doi: 10.1097/00000658-195406000-00015.
2
Expression of the gastrin gene in the normal human colon and colorectal adenocarcinoma.胃泌素基因在正常人类结肠和结肠直肠癌中的表达。
Cancer Res. 1993 Jun 15;53(12):2919-26.
3
Microsatellite instability in cancer of the proximal colon.近端结肠癌中的微卫星不稳定性
Science. 1993 May 7;260(5109):816-9. doi: 10.1126/science.8484122.
4
Expression but incomplete maturation of progastrin in colorectal carcinomas.胃泌素原在结直肠癌中的表达但未完全成熟。
Gastroenterology. 1993 Apr;104(4):1099-107. doi: 10.1016/0016-5085(93)90279-l.
5
Autocrine transforming growth factor-alpha is associated with progression of transformed properties in human colon cancer cells.自分泌转化生长因子-α与人类结肠癌细胞转化特性的进展相关。
J Biol Chem. 1993 Jan 5;268(1):691-8.
6
Gastrointestinal hormones: past, present, and future.
Gastroenterology. 1993 Sep;105(3):653-7. doi: 10.1016/0016-5085(93)90879-h.
7
Association of p53 mutations with short survival in colorectal cancer.p53突变与结直肠癌患者生存期短的相关性
Gastroenterology. 1994 Jan;106(1):42-8. doi: 10.1016/s0016-5085(94)94217-x.
8
In vitro detection of somatostatin receptors in human tumors.
Digestion. 1993;54 Suppl 1:76-83. doi: 10.1159/000201082.
9
The tumor biology of gastrin and cholecystokinin.胃泌素与胆囊收缩素的肿瘤生物学
Adv Cancer Res. 1994;63:295-347. doi: 10.1016/s0065-230x(08)60403-0.
10
Detection of gastrin mRNA in paraffin-embedded samples of normal antral mucosae using polymerase chain reaction technique.运用聚合酶链反应技术检测正常胃窦黏膜石蜡包埋样本中的胃泌素信使核糖核酸。
APMIS. 1994 Jul;102(7):526-32. doi: 10.1111/j.1699-0463.1994.tb05201.x.