• 文献检索
  • 文档翻译
  • 深度研究
  • 学术资讯
  • Suppr Zotero 插件Zotero 插件
  • 邀请有礼
  • 套餐&价格
  • 历史记录
应用&插件
Suppr Zotero 插件Zotero 插件浏览器插件Mac 客户端Windows 客户端微信小程序
定价
高级版会员购买积分包购买API积分包
服务
文献检索文档翻译深度研究API 文档MCP 服务
关于我们
关于 Suppr公司介绍联系我们用户协议隐私条款
关注我们

Suppr 超能文献

核心技术专利:CN118964589B侵权必究
粤ICP备2023148730 号-1Suppr @ 2026

文献检索

告别复杂PubMed语法,用中文像聊天一样搜索,搜遍4000万医学文献。AI智能推荐,让科研检索更轻松。

立即免费搜索

文件翻译

保留排版,准确专业,支持PDF/Word/PPT等文件格式,支持 12+语言互译。

免费翻译文档

深度研究

AI帮你快速写综述,25分钟生成高质量综述,智能提取关键信息,辅助科研写作。

立即免费体验

镉可诱导LLC-PK1肾上皮细胞中内质网分子伴侣Grp78的表达。

Cadmium induces the expression of Grp78, an endoplasmic reticulum molecular chaperone, in LLC-PK1 renal epithelial cells.

作者信息

Liu Fang, Inageda Kiyoshi, Nishitai Gen, Matsuoka Masato

机构信息

Department of Hygiene and Public Health I, School of Medicine, Tokyo Women's Medical University, Tokyo, Japan.

出版信息

Environ Health Perspect. 2006 Jun;114(6):859-64. doi: 10.1289/ehp.8920.

DOI:10.1289/ehp.8920
PMID:16759985
原文链接:https://pmc.ncbi.nlm.nih.gov/articles/PMC1480533/
Abstract

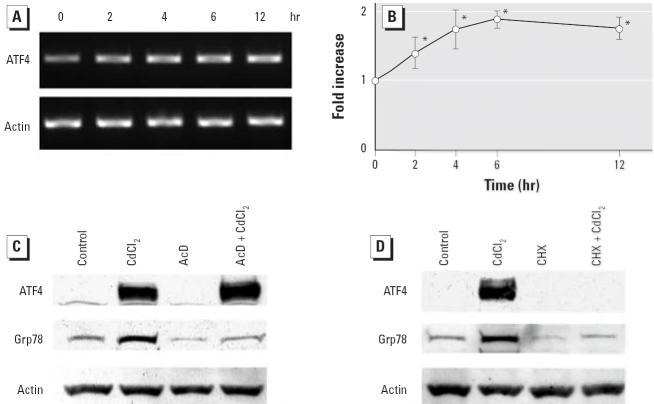
To reveal the effects of cadmium exposure on the endoplasmic reticulum (ER) stress response, we examined the expression and function of 78-kDa glucose-regulated protein (Grp78) , an ER-resident molecular chaperone, in LLC-PK1 cells. In cells treated with 10 microM cadmium chloride, Grp78 protein levels increased after 6 hr and remained elevated at 24 hr. When cells were incubated with 1-20 microM CdCl2 for 6 hr, Grp78 increased in a dose-dependent manner. In addition, Grp78 mRNA levels were elevated in response to CdCl2 exposure. After exposure to 10 microM CdCl2, the levels of activating transcription factor 4 (ATF4) were increased at 2 hr, with a further enhancement after that ; this accumulation followed the transient but marked phosphorylation of the alpha subunit of eukaryotic translation initiation factor 2 (eIF2(alpha)) on serine 51. Although ATF4 mRNA levels increased mildly by CdCl2 exposure, treatment with actinomycin D did not suppress CdCl2-induced accumulation of ATF4 protein, suggesting the involvement of posttranscriptional and, in part, transcriptional mechanisms. Compared with other heavy-metal compounds such as manganese chloride, zinc chloride, mercuric chloride, and lead chloride, CdCl2 could increase the levels of Grp78, ATF4, and the phosphorylated form of eIF2(alpha) more markedly without definite cellular damage. The silencing of Grp78 expression using short-interference RNA enhanced CdCl2-induced cellular damage. These results show that cadmium induces the expression of Grp78 probably via phosphorylation of eIF2(alpha) and resultant translation of ATF4, and this ER stress response plays a role in protection against cadmium cytotoxicity in this renal epithelial cell.

摘要

为揭示镉暴露对内质网(ER)应激反应的影响,我们检测了内质网驻留分子伴侣78 kDa葡萄糖调节蛋白(Grp78)在LLC-PK1细胞中的表达及功能。在用10微摩尔氯化镉处理的细胞中,Grp78蛋白水平在6小时后升高,并在24小时时保持升高状态。当细胞与1 - 20微摩尔氯化镉孵育6小时时,Grp78呈剂量依赖性增加。此外,Grp78 mRNA水平也因镉暴露而升高。暴露于10微摩尔氯化镉后,激活转录因子4(ATF4)的水平在2小时时升高,之后进一步增强;这种积累伴随着真核翻译起始因子2(eIF2(α))的α亚基在丝氨酸51位点的短暂但显著的磷酸化。尽管镉暴露使ATF4 mRNA水平略有升高,但用放线菌素D处理并不能抑制镉诱导的ATF4蛋白积累,这表明转录后机制以及部分转录机制均参与其中。与其他重金属化合物如氯化锰、氯化锌、氯化汞和氯化铅相比,氯化镉能更显著地增加Grp78、ATF4和eIF2(α)磷酸化形式的水平,且无明显的细胞损伤。使用短干扰RNA沉默Grp78表达会增强镉诱导的细胞损伤。这些结果表明,镉可能通过eIF2(α)的磷酸化以及由此导致的ATF4翻译来诱导Grp78的表达,并且这种内质网应激反应在保护该肾上皮细胞免受镉细胞毒性方面发挥作用。

https://cdn.ncbi.nlm.nih.gov/pmc/blobs/cdc1/1480533/f2dc29795a6e/ehp0114-000859f7.jpg
https://cdn.ncbi.nlm.nih.gov/pmc/blobs/cdc1/1480533/8e55f822627c/ehp0114-000859f1.jpg
https://cdn.ncbi.nlm.nih.gov/pmc/blobs/cdc1/1480533/fcb19167bc77/ehp0114-000859f2.jpg
https://cdn.ncbi.nlm.nih.gov/pmc/blobs/cdc1/1480533/071cdf36e4d9/ehp0114-000859f3.jpg
https://cdn.ncbi.nlm.nih.gov/pmc/blobs/cdc1/1480533/85743c3acf97/ehp0114-000859f4.jpg
https://cdn.ncbi.nlm.nih.gov/pmc/blobs/cdc1/1480533/78e247accd79/ehp0114-000859f5.jpg
https://cdn.ncbi.nlm.nih.gov/pmc/blobs/cdc1/1480533/a2193357edcd/ehp0114-000859f6.jpg
https://cdn.ncbi.nlm.nih.gov/pmc/blobs/cdc1/1480533/f2dc29795a6e/ehp0114-000859f7.jpg
https://cdn.ncbi.nlm.nih.gov/pmc/blobs/cdc1/1480533/8e55f822627c/ehp0114-000859f1.jpg
https://cdn.ncbi.nlm.nih.gov/pmc/blobs/cdc1/1480533/fcb19167bc77/ehp0114-000859f2.jpg
https://cdn.ncbi.nlm.nih.gov/pmc/blobs/cdc1/1480533/071cdf36e4d9/ehp0114-000859f3.jpg
https://cdn.ncbi.nlm.nih.gov/pmc/blobs/cdc1/1480533/85743c3acf97/ehp0114-000859f4.jpg
https://cdn.ncbi.nlm.nih.gov/pmc/blobs/cdc1/1480533/78e247accd79/ehp0114-000859f5.jpg
https://cdn.ncbi.nlm.nih.gov/pmc/blobs/cdc1/1480533/a2193357edcd/ehp0114-000859f6.jpg
https://cdn.ncbi.nlm.nih.gov/pmc/blobs/cdc1/1480533/f2dc29795a6e/ehp0114-000859f7.jpg

相似文献

1
Cadmium induces the expression of Grp78, an endoplasmic reticulum molecular chaperone, in LLC-PK1 renal epithelial cells.镉可诱导LLC-PK1肾上皮细胞中内质网分子伴侣Grp78的表达。
Environ Health Perspect. 2006 Jun;114(6):859-64. doi: 10.1289/ehp.8920.
2
PI3K signaling mediates diverse regulation of ATF4 expression for the survival of HK-2 cells exposed to cadmium.PI3K 信号通路介导了 ATF4 表达的多种调节,以维持镉暴露的 HK-2 细胞的存活。
Arch Toxicol. 2014 Feb;88(2):403-14. doi: 10.1007/s00204-013-1129-y. Epub 2013 Sep 22.
3
Atypical, bidirectional regulation of cadmium-induced apoptosis via distinct signaling of unfolded protein response.通过未折叠蛋白反应的不同信号通路对镉诱导的细胞凋亡进行非典型的双向调控。
Cell Death Differ. 2007 Aug;14(8):1467-74. doi: 10.1038/sj.cdd.4402154. Epub 2007 Apr 27.
4
Celecoxib upregulates endoplasmic reticulum chaperones that inhibit celecoxib-induced apoptosis in human gastric cells.塞来昔布上调内质网伴侣蛋白,这些蛋白可抑制塞来昔布诱导的人胃细胞凋亡。
Oncogene. 2006 Feb 16;25(7):1018-29. doi: 10.1038/sj.onc.1209139.
5
Salvianolic acid B protects human endothelial cells from oxidative stress damage: a possible protective role of glucose-regulated protein 78 induction.丹酚酸B保护人内皮细胞免受氧化应激损伤:葡萄糖调节蛋白78诱导的可能保护作用。
Cardiovasc Res. 2009 Jan 1;81(1):148-58. doi: 10.1093/cvr/cvn262. Epub 2008 Sep 24.
6
Induction of Grp78/BiP by translational block: activation of the Grp78 promoter by ATF4 through and upstream ATF/CRE site independent of the endoplasmic reticulum stress elements.通过翻译阻遏诱导葡萄糖调节蛋白78/免疫球蛋白重链结合蛋白(Grp78/BiP):活化转录因子4(ATF4)通过一个独立于内质网应激元件的上游ATF/环磷腺苷反应元件(CRE)位点激活Grp78启动子。
J Biol Chem. 2003 Sep 26;278(39):37375-85. doi: 10.1074/jbc.M303619200. Epub 2003 Jul 18.
7
Modulating the endoplasmic reticulum stress response with trans-4,5-dihydroxy-1,2-dithiane prevents chemically induced renal injury in vivo.用反式-4,5-二羟基-1,2-二硫烷调节内质网应激反应可预防体内化学诱导的肾损伤。
Toxicol Sci. 2005 Dec;88(2):576-84. doi: 10.1093/toxsci/kfi303. Epub 2005 Sep 8.
8
Hsp27, Hsp70, and metallothionein in MDCK and LLC-PK1 renal epithelial cells: effects of prolonged exposure to cadmium.MDCK和LLC-PK1肾上皮细胞中的热休克蛋白27、热休克蛋白70和金属硫蛋白:长期暴露于镉的影响
Toxicol Appl Pharmacol. 2003 Aug 15;191(1):63-73. doi: 10.1016/s0041-008x(03)00226-6.
9
Cadmium-bound metallothionein induces apoptosis in rat kidneys, but not in cultured kidney LLC-PK1 cells.镉结合金属硫蛋白可诱导大鼠肾脏细胞凋亡,但对培养的肾脏LLC-PK1细胞无此作用。
Life Sci. 1999;64(9):797-804. doi: 10.1016/s0024-3205(98)00621-3.
10
Cadmium induces ovarian granulosa cell damage by activating PERK-eIF2α-ATF4 through endoplasmic reticulum stress.镉通过内质网应激激活 PERK-eIF2α-ATF4 诱导卵巢颗粒细胞损伤。
Biol Reprod. 2019 Jan 1;100(1):292-299. doi: 10.1093/biolre/ioy169.

引用本文的文献

1
Cadmium toxicity on endoplasmic reticulum functioning.镉对内质网功能的毒性作用。
Int J Biochem Mol Biol. 2024 Aug 25;15(4):107-117. doi: 10.62347/OUDS3732. eCollection 2024.
2
Quercetin Protects Human Thyroid Cells against Cadmium Toxicity.槲皮素可保护人甲状腺细胞免受镉毒性影响。
Int J Mol Sci. 2021 Jun 25;22(13):6849. doi: 10.3390/ijms22136849.
3
Gestational Cd Exposure in the CD-1 Mouse Induces Sex-Specific Hepatic Insulin Insensitivity, Obesity, and Metabolic Syndrome in Adult Female Offspring.妊娠镉暴露致 CD-1 小鼠成年雌性子代肝胰岛素敏感性降低、肥胖和代谢综合征,且具有性别特异性。

本文引用的文献

1
Induction of c-fos expression by tributyltin in PC12 cells: involvement of intracellular Ca(2+).三丁基锡诱导 PC12 细胞中 c-fos 表达:细胞内 Ca(2+)的参与。
Environ Toxicol Pharmacol. 1996 Dec 20;2(4):373-80. doi: 10.1016/s1382-6689(96)00074-9.
2
Expression of stress-related genes in a cadmium-resistant A549 human cell line.镉抗性人A549细胞系中应激相关基因的表达
J Toxicol Environ Health A. 2005 May 14;68(9):703-18. doi: 10.1080/15287390590925447.
3
Disruption of the endoplasmic reticulum by cytotoxins in LLC-PK1 cells.
Toxicol Sci. 2020 Dec 1;178(2):264-280. doi: 10.1093/toxsci/kfaa154.
4
Cell organelles as targets of mammalian cadmium toxicity.细胞器官作为哺乳动物镉毒性的靶标。
Arch Toxicol. 2020 Apr;94(4):1017-1049. doi: 10.1007/s00204-020-02692-8. Epub 2020 Mar 23.
5
Cadmium Causes Misfolding and Aggregation of Cytosolic Proteins in Yeast.镉导致酵母细胞溶质蛋白错误折叠和聚集。
Mol Cell Biol. 2017 Aug 11;37(17). doi: 10.1128/MCB.00490-16. Print 2017 Sep 1.
6
Endoplasmic reticulum-mediated unfolded protein response and mitochondrial apoptosis in cancer.内质网介导的未折叠蛋白反应与肿瘤中线粒体凋亡
Biochim Biophys Acta Rev Cancer. 2017 Jan;1867(1):58-66. doi: 10.1016/j.bbcan.2016.12.002. Epub 2016 Dec 15.
7
The ER stress regulator Bip mediates cadmium-induced autophagy and neuronal senescence.内质网应激调节剂 Bip 介导镉诱导的自噬和神经元衰老。
Sci Rep. 2016 Dec 1;6:38091. doi: 10.1038/srep38091.
8
Cadmium Protection Strategies--A Hidden Trade-Off?镉保护策略——一种潜在的权衡?
Int J Mol Sci. 2016 Jan 21;17(1):139. doi: 10.3390/ijms17010139.
9
Endoplasmic Reticulum Stress-Related Genes in Yellow Catfish Pelteobagrus fulvidraco: Molecular Characterization, Tissue Expression, and Expression Responses to Dietary Copper Deficiency and Excess.黄颡鱼内质网应激相关基因:分子特征、组织表达及对日粮铜缺乏和过量的表达响应
G3 (Bethesda). 2015 Aug 13;5(10):2091-104. doi: 10.1534/g3.115.019950.
10
Experimental Evidence Shows Salubrinal, an eIF2α Dephosphorylation Inhibitor, Reduces Xenotoxicant-Induced Cellular Damage.实验证据表明,eIF2α 去磷酸化抑制剂 Salubrinal 可减轻异种毒素诱导的细胞损伤。
Int J Mol Sci. 2015 Jul 17;16(7):16275-87. doi: 10.3390/ijms160716275.
细胞毒素对LLC - PK1细胞内质网的破坏作用。
Toxicol Lett. 2005 Nov 15;159(2):154-63. doi: 10.1016/j.toxlet.2005.05.004.
4
Metals, toxicity and oxidative stress.金属、毒性与氧化应激
Curr Med Chem. 2005;12(10):1161-208. doi: 10.2174/0929867053764635.
5
Decreased cell survival and DNA repair capacity after UVC irradiation in association with down-regulation of GRP78/BiP in human RSa cells.在人RSa细胞中,紫外线C(UVC)照射后细胞存活率和DNA修复能力下降,同时葡萄糖调节蛋白78/免疫球蛋白重链结合蛋白(GRP78/BiP)表达下调。
Exp Cell Res. 2005 May 1;305(2):244-52. doi: 10.1016/j.yexcr.2005.01.002.
6
Differential activation of eIF2 kinases in response to cellular stresses in Schizosaccharomyces pombe.粟酒裂殖酵母中eIF2激酶对细胞应激反应的差异激活。
Genetics. 2004 Dec;168(4):1867-75. doi: 10.1534/genetics.104.031443.
7
ER stress and the unfolded protein response.内质网应激与未折叠蛋白反应
Mutat Res. 2005 Jan 6;569(1-2):29-63. doi: 10.1016/j.mrfmmm.2004.06.056.
8
Characterization of multiple members of the HSP70 family in platyfish culture cells: molecular evolution of stress protein HSP70 in vertebrates.剑尾鱼培养细胞中HSP70家族多个成员的特性分析:脊椎动物应激蛋白HSP70的分子进化
Gene. 2004 Jul 21;336(2):207-18. doi: 10.1016/j.gene.2004.04.023.
9
A prostacyclin analog beraprost sodium attenuates radiocontrast media-induced LLC-PK1 cells injury.一种前列环素类似物贝前列素钠可减轻放射性造影剂诱导的LLC-PK1细胞损伤。
Kidney Int. 2004 May;65(5):1654-63. doi: 10.1111/j.1523-1755.2004.00575.x.
10
Suppression of cadmium-induced JNK/p38 activation and HSP70 family gene expression by LL-Z1640-2 in NIH3T3 cells.LL-Z1640-2对NIH3T3细胞中镉诱导的JNK/p38激活及HSP70家族基因表达的抑制作用
Toxicol Appl Pharmacol. 2004 Apr 15;196(2):206-14. doi: 10.1016/j.taap.2003.12.021.