• 文献检索
  • 文档翻译
  • 深度研究
  • 学术资讯
  • Suppr Zotero 插件Zotero 插件
  • 邀请有礼
  • 套餐&价格
  • 历史记录
应用&插件
Suppr Zotero 插件Zotero 插件浏览器插件Mac 客户端Windows 客户端微信小程序
定价
高级版会员购买积分包购买API积分包
服务
文献检索文档翻译深度研究API 文档MCP 服务
关于我们
关于 Suppr公司介绍联系我们用户协议隐私条款
关注我们

Suppr 超能文献

核心技术专利:CN118964589B侵权必究
粤ICP备2023148730 号-1Suppr @ 2026

文献检索

告别复杂PubMed语法,用中文像聊天一样搜索,搜遍4000万医学文献。AI智能推荐,让科研检索更轻松。

立即免费搜索

文件翻译

保留排版,准确专业,支持PDF/Word/PPT等文件格式,支持 12+语言互译。

免费翻译文档

深度研究

AI帮你快速写综述,25分钟生成高质量综述,智能提取关键信息,辅助科研写作。

立即免费体验

使用改良杜蒙支架治疗支气管胸膜瘘:一例报告

Healing of bronchopleural fistula using a modified Dumon stent: a case report.

作者信息

Ferraroli Giorgio Maria, Testori Alberto, Cioffi Ugo, De Simone Matilde, Alloisio Marco, Galliera Maurizio, Ciulla Michele M, Ravasi Gianni

机构信息

Department of Thoracic Surgery, Istituto Clinico Humanitas, Rozzano (MI), Italy.

出版信息

J Cardiothorac Surg. 2006 Jun 23;1:16. doi: 10.1186/1749-8090-1-16.

DOI:10.1186/1749-8090-1-16
PMID:16796736
原文链接:https://pmc.ncbi.nlm.nih.gov/articles/PMC1524955/
Abstract

BACKGROUND

Bronchopleural fistula following lung resection is a therapeutic challenge for thoracic surgeons.

CASE PRESENTATION

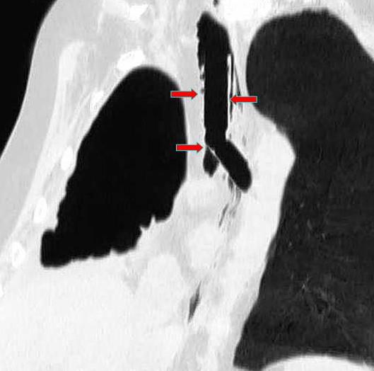
We describe a case of late bronchopleural fistula after right extrapleural pneumonectomy for malignant mesothelioma. Bronchoscopic attempts to repair it were unsuccessful.

CONCLUSION

The use of a modified Y Dumon stent associated with glue apposition on the bronchial stump allowed us to close the fistula without the need of any surgical repair.

摘要

背景

肺切除术后支气管胸膜瘘是胸外科医生面临的治疗挑战。

病例报告

我们描述了一例因恶性间皮瘤行右胸膜外全肺切除术后发生迟发性支气管胸膜瘘的病例。支气管镜下修复尝试未成功。

结论

使用改良的Y型杜蒙支架并在支气管残端涂抹胶水,使我们无需进行任何手术修复即可闭合瘘口。

https://cdn.ncbi.nlm.nih.gov/pmc/blobs/e614/1524955/3e53d939e8e4/1749-8090-1-16-2.jpg
https://cdn.ncbi.nlm.nih.gov/pmc/blobs/e614/1524955/220e0b3ca677/1749-8090-1-16-1.jpg
https://cdn.ncbi.nlm.nih.gov/pmc/blobs/e614/1524955/3e53d939e8e4/1749-8090-1-16-2.jpg
https://cdn.ncbi.nlm.nih.gov/pmc/blobs/e614/1524955/220e0b3ca677/1749-8090-1-16-1.jpg
https://cdn.ncbi.nlm.nih.gov/pmc/blobs/e614/1524955/3e53d939e8e4/1749-8090-1-16-2.jpg

相似文献

1
Healing of bronchopleural fistula using a modified Dumon stent: a case report.使用改良杜蒙支架治疗支气管胸膜瘘:一例报告
J Cardiothorac Surg. 2006 Jun 23;1:16. doi: 10.1186/1749-8090-1-16.
2
Bronchopleural fistula treated with a covered wallstent.覆膜Wallstent支架治疗支气管胸膜瘘
Ann Thorac Surg. 2006 Jan;81(1):364-6. doi: 10.1016/j.athoracsur.2004.09.054.
3
Carinal sleeve resection for persistent bronchopleural fistula after completion right pneumonectomy.隆突袖式切除术治疗右全肺切除术后持续性支气管胸膜瘘
Ann Thorac Surg. 2010 Apr;89(4):1266-8. doi: 10.1016/j.athoracsur.2009.08.017.
4
Free latissimus dorsi muscle flap for chronic bronchopleural fistula.游离背阔肌肌皮瓣治疗慢性支气管胸膜瘘
Acta Chir Plast. 2009;51(3-4):79-81.
5
[Occlusion of a post-pneumonectomy bronchopleural fistula using the Dumon stent].[使用杜蒙支架封堵肺切除术后支气管胸膜瘘]
Rozhl Chir. 2001 Jul;80(7):339-42.
6
A novel technique for bronchopleural fistula closure: an hourglass-shaped stent.一种用于支气管胸膜瘘闭合的新技术:沙漏形支架。
J Thorac Cardiovasc Surg. 2009 Jan;137(1):e46-7. doi: 10.1016/j.jtcvs.2008.03.059. Epub 2008 Aug 29.
7
Use of a modified Dumon stent for postoperative bronchopleural fistula.
Ann Thorac Surg. 2005 Nov;80(5):1928-30. doi: 10.1016/j.athoracsur.2004.06.035.
8
Bronchoscopic treatment of postpneumonectomy bronchopleural fistula with a collagen screw plug.用胶原蛋白螺旋塞经支气管镜治疗肺切除术后支气管胸膜瘘
J Thorac Cardiovasc Surg. 2006 Jul;132(1):99-104. doi: 10.1016/j.jtcvs.2006.02.021.
9
Use of Amplatzer device for endobronchial closure of bronchopleural fistulas.使用Amplatzer装置进行支气管胸膜瘘的支气管内封堵。
Interact Cardiovasc Thorac Surg. 2009 Nov;9(5):901-2. doi: 10.1510/icvts.2009.215202. Epub 2009 Aug 6.
10
Spontaneous bronchopleural fistula following lung volume reduction surgery for emphysema.肺气肿肺减容术后自发性支气管胸膜瘘
Interact Cardiovasc Thorac Surg. 2009 Apr;8(4):442-3. doi: 10.1510/icvts.2008.197434. Epub 2009 Jan 22.

引用本文的文献

1
Direct Insertion of a Dumon Stent Into an Intermediate Bronchus Fistula From the Surgical Field.将杜蒙支架直接从手术区域插入中间支气管瘘。
Ann Thorac Surg Short Rep. 2024 Apr 18;2(3):509-512. doi: 10.1016/j.atssr.2024.04.001. eCollection 2024 Sep.
2
Modified silicone stent for the treatment of post-surgical bronchopleural fistula: a clinical observation of 17 cases.改良型硅胶支架治疗术后支气管胸膜瘘 17 例临床观察。
BMC Pulm Med. 2021 Jan 6;21(1):10. doi: 10.1186/s12890-020-01372-8.
3
Modified silicone stent for difficult-to-treat massive hemoptysis: a pilot study of 14 cases.

本文引用的文献

1
Use of a modified Dumon stent for postoperative bronchopleural fistula.
Ann Thorac Surg. 2005 Nov;80(5):1928-30. doi: 10.1016/j.athoracsur.2004.06.035.
2
Ultraflex expandable metallic stent for the treatment of a bronchopleural fistula after pneumonectomy.用于肺切除术后支气管胸膜瘘治疗的超弹性可扩张金属支架
Ann Thorac Surg. 2005 Jan;79(1):386. doi: 10.1016/j.athoracsur.2003.12.076.
3
Modified Dumon stent for the treatment of a bronchopleural fistula after pneumonectomy.改良杜蒙支架用于肺切除术后支气管胸膜瘘的治疗。
用于治疗困难型大量咯血的改良硅胶支架:14例病例的初步研究
J Thorac Dis. 2020 Mar;12(3):956-965. doi: 10.21037/jtd.2019.12.47.
4
Treatment of airway stenosis with a customized bronchial stent using a three-dimensional printer and flexible filaments.使用三维打印机和柔性细丝定制支气管支架治疗气道狭窄
Respirol Case Rep. 2019 Sep 25;7(9):e00491. doi: 10.1002/rcr2.491. eCollection 2019 Dec.
5
Customized airway stenting for bronchopleural fistula after pulmonary resection by interventional technique: single-center study of 148 consecutive patients.介入技术定制气道支架治疗肺切除术后支气管胸膜瘘:单中心 148 例连续患者研究。
Surg Endosc. 2018 Oct;32(10):4116-4124. doi: 10.1007/s00464-018-6152-x. Epub 2018 Mar 30.
6
Bronchoscopic management of prolonged air leak.支气管镜下处理持续性漏气
J Thorac Dis. 2017 Sep;9(Suppl 10):S1034-S1046. doi: 10.21037/jtd.2017.05.47.
7
eComment. post-pneumonectomy bronchopleural fistula: covered metallic stent or Amplatzer occluder?电子评论。肺切除术后支气管胸膜瘘:覆膜金属支架还是Amplatzer封堵器?
Interact Cardiovasc Thorac Surg. 2012 Apr;14(4):423; discussion 424. doi: 10.1093/icvts/ivs062.
8
Management of postoperative bronchopleural fistula with a tracheobronchial stent in a patient requiring mechanical ventilation.在一名需要机械通气的患者中使用气管支气管支架治疗术后支气管胸膜瘘
Intensive Care Med. 2010 Apr;36(4):721-2. doi: 10.1007/s00134-010-1757-0. Epub 2010 Jan 27.
9
Omentoplasty and thoracoplasty for treating postpneumonectomy bronchopleural fistula in a patient previously submitted to aortic prosthesis implantation.网膜成形术和胸廓成形术用于治疗一名曾接受主动脉假体植入患者的肺切除术后支气管胸膜瘘。
J Cardiothorac Surg. 2009 Jul 24;4:38. doi: 10.1186/1749-8090-4-38.
Ann Thorac Surg. 2003 Jan;75(1):290-2. doi: 10.1016/s0003-4975(02)04282-0.
4
The use of a Dumon stent for the treatment of a bronchopleural fistula.使用杜蒙支架治疗支气管胸膜瘘。
Ann Thorac Surg. 2001 Jul;72(1):276-8. doi: 10.1016/s0003-4975(00)02533-9.
5
As originally published in 1994: Postoperative bronchopleural fistula: endoscopic closure in 12 patients. Updated in 2000.最初发表于1994年:术后支气管胸膜瘘:12例患者的内镜下闭合术。于2000年更新。
Ann Thorac Surg. 2000 May;69(5):1629-30. doi: 10.1016/s0003-4975(00)01339-4.