Suppr超能文献

MT - 转化生长因子α、Ela - myc以及MT - 转化生长因子α/Ela - myc单转基因和双转基因小鼠胰腺病变的特征分析

Characterization of pancreatic lesions from MT-tgf alpha, Ela-myc and MT-tgf alpha/Ela-myc single and double transgenic mice.

作者信息

Liao Dezhong Joshua, Wang Yong, Wu Jiusheng, Adsay Nazmi Volkan, Grignon David, Khanani Fayyaz, Sarkar Fazlul H

机构信息

Department of Pathology, Wayne State University School of Medicine, And Karmanos Cancer Institute, 110 E, Warren Avenue, Detroit, MI 48201, USA.

出版信息

J Carcinog. 2006 Jul 5;5:19. doi: 10.1186/1477-3163-5-19.

Abstract

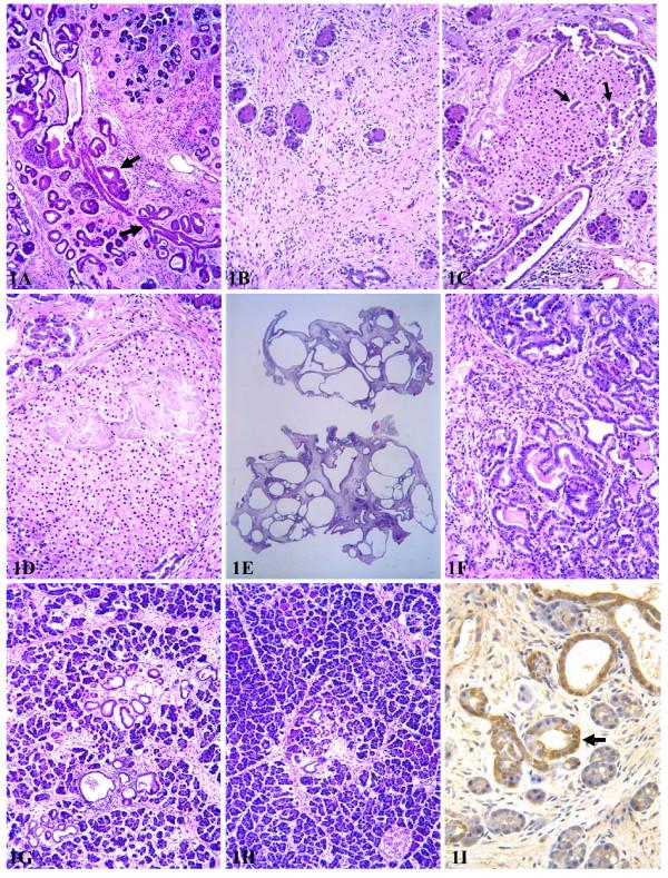
In order to identify good animal models for investigating therapeutic and preventive strategies for pancreatic cancer, we analyzed pancreatic lesions from several transgenic models and made a series of novel findings. Female MT-tgf alpha mice of the MT100 line developed pancreatic proliferation, acinar-ductal metaplasia, multilocular cystic neoplasms, ductal adenocarcinomas and prominent fibrosis, while the lesions in males were less severe. MT-tgf alpha-ES transgenic lines of both sexes developed slowly progressing lesions that were similar to what was seen in MT100 males. In both MT100 and MT-tgf alpha-ES lines, TGF alpha transgene was expressed mainly in proliferating ductal cells. Ela-myc transgenic mice with a mixed C57BL/6, SJL and FVB genetic background developed pancreatic tumors at 2-7 months of age, and half of the tumors were ductal adenocarcinomas, similar to what was reported originally by Sandgren et al 1. However, in 20% of the mice, the tumors metastasized to the liver. MT100/Ela-myc and MT-tgf alpha-ES/Ela-myc double transgenic mice developed not only acinar carcinomas and mixed carcinomas as previously reported but also various ductal-originated lesions, including multilocular cystic neoplasms and ductal adenocarcinomas. The double transgenic tumors were more malignant and metastasized to the liver at a higher frequency (33%) compared with the Ela-myc tumors. Sequencing of the coding region of p16ink4, k-ras and Rb cDNA in small numbers of pancreatic tumors did not identify mutations. The short latency for tumor development, the variety of tumor morphology and the liver metastases seen in Ela-myc and MT-tgf alpha/Ela-myc mice make these animals good models for investigating new therapeutic and preventive strategies for pancreatic cancer.

摘要

为了确定用于研究胰腺癌治疗和预防策略的良好动物模型,我们分析了几种转基因模型的胰腺病变,并取得了一系列新发现。MT100系的雌性MT - tgfα小鼠出现胰腺增生、腺泡 - 导管化生、多房囊性肿瘤、导管腺癌和显著纤维化,而雄性小鼠的病变则较轻。两性的MT - tgfα - ES转基因系都出现了进展缓慢的病变,类似于MT100雄性小鼠的病变。在MT100和MT - tgfα - ES系中,TGFα转基因主要在增殖的导管细胞中表达。具有C57BL/6、SJL和FVB混合遗传背景的Ela - myc转基因小鼠在2 - 7月龄时发生胰腺肿瘤,其中一半肿瘤为导管腺癌,与Sandgren等人最初报道的情况相似。然而,在20%的小鼠中,肿瘤转移到了肝脏。MT100/Ela - myc和MT - tgfα - ES/Ela - myc双转基因小鼠不仅如先前报道的那样发生了腺泡癌和混合癌,还出现了各种导管起源的病变,包括多房囊性肿瘤和导管腺癌。与Ela - myc肿瘤相比,双转基因肿瘤的恶性程度更高,转移到肝脏的频率也更高(33%)。对少数胰腺肿瘤中p(16)ink4、k - ras和Rb cDNA编码区进行测序未发现突变。Ela - myc和MT - tgfα/Ela - myc小鼠肿瘤发生的潜伏期短、肿瘤形态多样以及出现肝转移,使其成为研究胰腺癌新治疗和预防策略的良好模型。

https://cdn.ncbi.nlm.nih.gov/pmc/blobs/e8a2/1559682/6506a9f45ae0/1477-3163-5-19-1.jpg

相似文献

2
Acinar-to-ductal metaplasia accompanies c-myc-induced exocrine pancreatic cancer progression in transgenic rodents.
Int J Cancer. 2012 Sep 1;131(5):1243-8. doi: 10.1002/ijc.27322. Epub 2012 Jan 11.
4
Molecular analyses of liver tumors in c-myc transgenic mice and c-myc and TGF-alpha double transgenic mice.
Cancer Lett. 1996 Aug 23;106(1):43-9. doi: 10.1016/0304-3835(96)04299-1.
7
Parp-1 genetic ablation in Ela-myc mice unveils novel roles for Parp-1 in pancreatic cancer.
J Pathol. 2014 Oct;234(2):214-27. doi: 10.1002/path.4384. Epub 2014 Aug 4.

引用本文的文献

3
Metastasis in Pancreatic Ductal Adenocarcinoma: Current Standing and Methodologies.
Genes (Basel). 2019 Dec 19;11(1):6. doi: 10.3390/genes11010006.
5
Weaknesses and Pitfalls of Using Mice and Rats in Cancer Chemoprevention Studies.
J Cancer. 2015 Sep 1;6(10):1058-65. doi: 10.7150/jca.12519. eCollection 2015.
6
Galectin-1 drives pancreatic carcinogenesis through stroma remodeling and Hedgehog signaling activation.
Cancer Res. 2014 Jul 1;74(13):3512-24. doi: 10.1158/0008-5472.CAN-13-3013. Epub 2014 May 8.
7
Challenges and advances in mouse modeling for human pancreatic tumorigenesis and metastasis.
Cancer Metastasis Rev. 2013 Jun;32(1-2):83-107. doi: 10.1007/s10555-012-9408-2.
9
Basic anatomy and tumor biology of the RPS6KA6 gene that encodes the p90 ribosomal S6 kinase-4.
Oncogene. 2013 Apr 4;32(14):1794-810. doi: 10.1038/onc.2012.200. Epub 2012 May 21.
10
Pancreatic ductal adenocarcinoma and transcription factors: role of c-Myc.
J Gastrointest Cancer. 2011 Jun;42(2):76-84. doi: 10.1007/s12029-011-9258-0.

本文引用的文献

1
A new mouse model of pancreatic cancer: PTEN gets its Akt together.
Cancer Cell. 2005 Sep;8(3):171-2. doi: 10.1016/j.ccr.2005.08.007.
4
Modeling pancreatic cancer in animals to address specific hypotheses.
Methods Mol Med. 2005;103:217-43. doi: 10.1385/1-59259-780-7:217.
5
Identification and analysis of precursors to invasive pancreatic cancer.
Methods Mol Med. 2005;103:1-13. doi: 10.1385/1-59259-780-7:001.
7
Epidemiology and prevention of pancreatic cancer.
Jpn J Clin Oncol. 2004 May;34(5):238-44. doi: 10.1093/jjco/hyh045.
9
Mouse models of pancreatic cancer: the fur is finally flying!
Cancer Cell. 2004 Jan;5(1):7-11. doi: 10.1016/s1535-6108(03)00337-4.
10
Preinvasive and invasive ductal pancreatic cancer and its early detection in the mouse.
Cancer Cell. 2003 Dec;4(6):437-50. doi: 10.1016/s1535-6108(03)00309-x.

文献AI研究员

20分钟写一篇综述,助力文献阅读效率提升50倍。

立即体验

用中文搜PubMed

大模型驱动的PubMed中文搜索引擎

马上搜索

文档翻译

学术文献翻译模型,支持多种主流文档格式。

立即体验