Suppr超能文献

结肠癌肉瘤:一例形态学、超微结构及分子分析报告

Carcinosarcoma of the colon: report of a case with morphological, ultrastructural and molecular analysis.

作者信息

Ambrosini-Spaltro Andrea, Vaira Valentina, Braidotti Paola, Rovati Marco P L, Ferrero Stefano, Bosari Silvano

机构信息

Pathology Unit, Department of Medicine, Surgery and Dentistry, A.O. San Paolo, via di Rudinì 8, 20142 Milan, Italy.

出版信息

BMC Cancer. 2006 Jul 12;6:185. doi: 10.1186/1471-2407-6-185.

Abstract

BACKGROUND

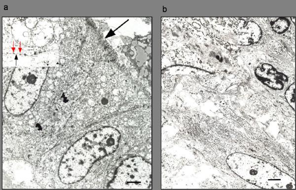
Carcinosarcoma of the colon is a rare histopathological entity with uncertain histogenesis, that shows both epithelial and mesenchymal malignant differentiation. Carcinosarcoma rarely affects the gastrointestinal tract and only few cases are reported in the colon. Herein we describe a carcinosarcoma of the ascending colon, with morphological, ultrastructural and molecular analysis.

CASE PRESENTATION

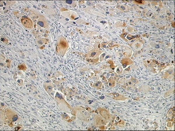
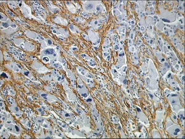
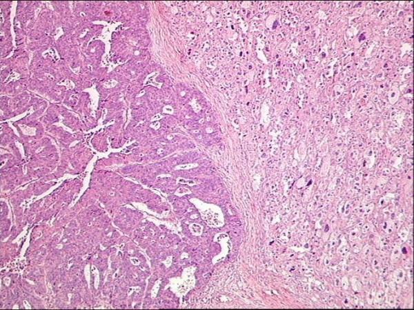
An 81-year-old man was hospitalised for asthenia, weight loss and iron-deficiency anaemia. The patient underwent colonoscopy and adenocarcinoma was diagnosed by endoscopic biopsy. A right hemicolectomy was performed and, during surgical operation, liver metastases were detected. Histological examination of the surgical specimen revealed areas of both carcinomatous and sarcomatous differentiation, completely separated by fibrous septae. The sarcomatous component exhibited areas of smooth muscle and osteoblastic differentiation, with focal osteoid material deposition. Molecular analysis conducted separately on the epithelial and mesenchymal components revealed the same p53 gene mutation (R282W in exon 8) and identical polymorphisms in p53 exon 4, in EGFR exons 20 and 21, and in c-kit exon 17. Microsatellite markers analysis revealed a common loss of heterozygosis on 18q. Overall, the data are consistent with a common origin of the two tumor components. The patient was treated with 8 cycles of oral capecitabine (1250 mg/m2 twice a day for 14 days repeated every 28 days) and two years after surgery is alive with liver metastases.

CONCLUSION

Carcinosarcoma of the colon is a rare tumour with both epithelial and sarcomatous components. Molecular analysis of the current case suggests the histogenesis from a common cell progenitor.

摘要

背景

结肠癌肉瘤是一种组织病理学罕见实体,其组织发生尚不明确,具有上皮和间叶恶性分化特征。癌肉瘤很少累及胃肠道,结肠部位仅有少数病例报道。在此,我们描述一例升结肠癌肉瘤,并进行形态学、超微结构及分子分析。

病例介绍

一名81岁男性因乏力、体重减轻和缺铁性贫血入院。患者接受结肠镜检查,经内镜活检诊断为腺癌。行右半结肠切除术,术中发现肝转移。手术标本的组织学检查显示癌性和肉瘤性分化区域,被纤维间隔完全分隔。肉瘤成分表现为平滑肌和成骨细胞分化区域,有局灶性类骨质沉积。分别对上皮和间叶成分进行分子分析,发现相同的p53基因突变(外显子8中的R282W),以及p53外显子4、表皮生长因子受体(EGFR)外显子20和21、c-kit外显子17中的相同多态性。微卫星标记分析显示18q杂合性普遍缺失。总体而言,数据表明两个肿瘤成分起源相同。患者接受了8个周期的口服卡培他滨治疗(1250 mg/m²,每日两次,共14天,每28天重复),术后两年仍存活,伴有肝转移。

结论

结肠癌肉瘤是一种罕见肿瘤,具有上皮和肉瘤成分。本例分子分析提示其起源于共同的细胞祖细胞。

https://cdn.ncbi.nlm.nih.gov/pmc/blobs/e2d2/1570146/9b9ef81b319e/1471-2407-6-185-1.jpg

文献检索

告别复杂PubMed语法,用中文像聊天一样搜索,搜遍4000万医学文献。AI智能推荐,让科研检索更轻松。

立即免费搜索

文件翻译

保留排版,准确专业,支持PDF/Word/PPT等文件格式,支持 12+语言互译。

免费翻译文档

深度研究

AI帮你快速写综述,25分钟生成高质量综述,智能提取关键信息,辅助科研写作。

立即免费体验