Suppr超能文献

Purification and partial characterization of a cellular inhibitor of the interferon-induced protein kinase of Mr 68,000 from influenza virus-infected cells.

作者信息

Lee T G, Tomita J, Hovanessian A G, Katze M G

机构信息

Department of Microbiology, School of Medicine, University of Washington, Seattle 98195.

出版信息

Proc Natl Acad Sci U S A. 1990 Aug;87(16):6208-12. doi: 10.1073/pnas.87.16.6208.

Abstract

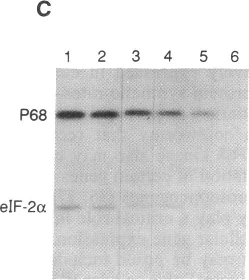
A number of eukaryotic viruses have evolved mechanisms to downregulate activity of the interferon-induced, double-stranded RNA-activated protein kinase (referred to as P68 based on its Mr of 68,000 in human cells). This control is essential because once activated, the P68 kinase phosphorylates its natural substrate, the alpha subunit of the eukaryotic protein synthesis initiation factor 2 (eIF-2), limiting functional eukaryotic protein synthesis initiation factor 2 available for protein synthesis initiation. We have previously shown that influenza virus encoded a specific mechanism to repress the autophosphorylation and activity of P68. Using in vitro assays for P68 inhibition, we now have purified, to near homogeneity, the P68 repressor from influenza virus-infected cells. The purified product inhibited both the autophosphorylation of P68 as well as phosphorylation of the alpha subunit of eukaryotic protein synthesis initiation factor 2 by the kinase. We tested for both protease and phosphatase activity but found neither activity associated with the purified inhibitor. Surprisingly we found the purified repressor, which had an apparent Mr of approximately 58,000, was a cellular and not a viral-encoded protein. Possible mechanisms by which influenza virus activates this cellular regulator of the protein kinase, thereby minimizing potential antiviral effects of interferon, are discussed.

摘要
https://cdn.ncbi.nlm.nih.gov/pmc/blobs/577c/54502/7614530b71d8/pnas01041-0210-a.jpg

文献AI研究员

20分钟写一篇综述,助力文献阅读效率提升50倍。

立即体验

用中文搜PubMed

大模型驱动的PubMed中文搜索引擎

马上搜索

文档翻译

学术文献翻译模型,支持多种主流文档格式。

立即体验