Suppr超能文献

Gtl2 5'区域插入诱变导致Dlk1-Gtl2基因座印记丢失。

Loss of imprinting at the Dlk1-Gtl2 locus caused by insertional mutagenesis in the Gtl2 5' region.

作者信息

Steshina Ekaterina Y, Carr Michael S, Glick Elena A, Yevtodiyenko Aleksey, Appelbe Oliver K, Schmidt Jennifer V

机构信息

Department of Biological Sciences, The University of Illinois at Chicago, 900 S, Ashland Avenue, MC 567, Chicago, IL 60607, USA.

出版信息

BMC Genet. 2006 Oct 3;7:44. doi: 10.1186/1471-2156-7-44.

Abstract

BACKGROUND

The Dlk1 and Gtl2 genes define a region of mouse chromosome 12 that is subject to genomic imprinting, the parental allele-specific expression of a gene. Although imprinted genes play important roles in growth and development, the mechanisms by which imprinting is established and maintained are poorly understood. Differentially methylated regions (DMRs), which carry methylation on only one parental allele, are involved in imprinting control at many loci. The Dlk1-Gtl2 region contains three known DMRs, the Dlk1 DMR in the 3' region of Dlk1, the intergenic DMR 15 kb upstream of Gtl2, and the Gtl2 DMR at the Gtl2 promoter. Three mouse models are analyzed here that provide new information about the regulation of Dlk1-Gtl2 imprinting.

RESULTS

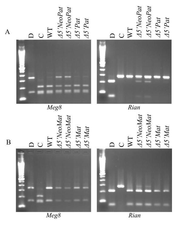
A previously existing insertional mutation (Gtl2lacZ), and a targeted deletion in which the Gtl2 upstream region was replaced by a Neo cassette (Gtl2Delta5'Neo), display partial lethality and dwarfism upon paternal inheritance. Molecular characterization shows that both mutations cause loss of imprinting and changes in expression of the Dlk1, Gtl2 and Meg8/Rian genes. Dlk1 levels are decreased upon paternal inheritance of either mutation, suggesting Dlk1 may be causative for the lethality and dwarfism. Loss of imprinting on the paternal chromosome in both Gtl2lacZ and Gtl2Delta5'Neo mice is accompanied by the loss of paternal-specific Gtl2 DMR methylation, while maternal loss of imprinting suggests a previously unknown regulatory role for the maternal Gtl2 DMR. Unexpectedly, when the Neo gene is excised, Gtl2Delta5' animals are of normal size, imprinting is unchanged and the Gtl2 DMR is properly methylated. The exogenous DNA sequences integrated upstream of Gtl2 are therefore responsible for the growth and imprinting effects.

CONCLUSION

These data provide further evidence for the coregulation of the imprinted Dlk1 and Gtl2 genes, and support a role for Dlk1 as an important neonatal growth factor. The ability of the Gtl2lacZ and Gtl2Delta5'Neo mutations to cause long-range changes in imprinting and gene expression suggest that regional imprinting regulatory elements may lie in proximity to the integration site.

摘要

背景

Dlk1和Gtl2基因界定了小鼠12号染色体上的一个区域,该区域存在基因组印记现象,即基因的亲本等位基因特异性表达。尽管印记基因在生长和发育中发挥重要作用,但其建立和维持的机制仍知之甚少。仅在一个亲本等位基因上携带甲基化的差异甲基化区域(DMR)参与了许多基因座的印记控制。Dlk1-Gtl2区域包含三个已知的DMR,分别是Dlk1 3'区域中的Dlk1 DMR、Gtl2上游15 kb处的基因间DMR以及Gtl2启动子处的Gtl2 DMR。本文分析了三种小鼠模型,它们为Dlk1-Gtl2印记调控提供了新信息。

结果

一个先前存在的插入突变(Gtl2lacZ),以及一个将Gtl2上游区域替换为Neo盒的靶向缺失突变(Gtl2Delta5'Neo),在父系遗传时表现出部分致死性和侏儒症。分子特征分析表明,这两种突变均导致印记丢失以及Dlk1、Gtl2和Meg8/Rian基因表达的变化。在任一突变的父系遗传中,Dlk1水平均降低,提示Dlk1可能是致死性和侏儒症的病因。Gtl2lacZ和Gtl2Delta5'Neo小鼠父系染色体上的印记丢失伴随着父系特异性Gtl2 DMR甲基化的丢失,而母系印记丢失提示母系Gtl2 DMR具有先前未知的调控作用。出乎意料的是,当切除Neo基因时,Gtl2Delta5'动物体型正常,印记未改变,Gtl2 DMR甲基化正常。因此,整合在Gtl2上游的外源DNA序列是生长和印记效应的原因。

结论

这些数据为印记的Dlk1和Gtl2基因的共调控提供了进一步证据,并支持Dlk1作为一种重要的新生儿生长因子的作用。Gtl2lacZ和Gtl2Delta5'Neo突变导致印记和基因表达发生长程变化的能力表明,区域印记调控元件可能位于整合位点附近。

https://cdn.ncbi.nlm.nih.gov/pmc/blobs/4a9d/1609179/b63d69d9d84c/1471-2156-7-44-1.jpg

文献检索

告别复杂PubMed语法,用中文像聊天一样搜索,搜遍4000万医学文献。AI智能推荐,让科研检索更轻松。

立即免费搜索

文件翻译

保留排版,准确专业,支持PDF/Word/PPT等文件格式,支持 12+语言互译。

免费翻译文档

深度研究

AI帮你快速写综述,25分钟生成高质量综述,智能提取关键信息,辅助科研写作。

立即免费体验