Suppr超能文献

滋养层双核细胞在山羊着床中的作用:一项形态学研究。

The role of trophoblastic binucleate cells in implantation in the goat: a morphological study.

作者信息

Wango E O, Wooding F B, Heap R B

机构信息

Institute of Primate Research, National Museums of Kenya, Karen, Nairobi.

出版信息

J Anat. 1990 Aug;171:241-57.

Abstract

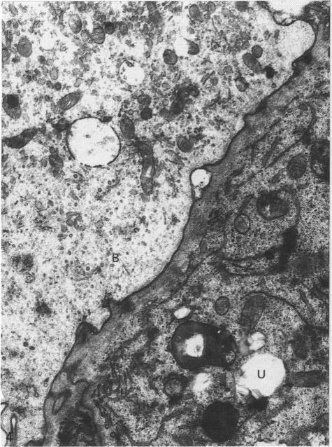
In the goat conceptus individual intra-epithelial trophectodermal binucleate cells first appear 18 days post coitum and their incidence rapidly increases where the trophectoderm is apposed to the caruncular and intercaruncular sites of initial attachment to the uterine epithelium. Special staining techniques reveal that these cells, when mature, contain prominent Golgi bodies and numerous characteristic granules. Our evidence shows that at 19 days post coitum the binucleate cells migrate to the microvillar junction and fuse with individual uterine epithelial cells to form hybrid feto-maternal trinucleate cells. It is proposed that subsequent continued binucleate cell migration and fusion with trinucleate cells produce the syncytial plaques typical of the remainder of pregnancy. It is further suggested that the fusion is important in facilitating the delivery of the characteristic granules to the base of the uterine epithelial layer with subsequent exocytosis of their contents into maternal tissue.

摘要

在山羊孕体中,上皮内滋养外胚层双核细胞最早在交配后18天出现,在滋养外胚层与子宫上皮最初附着的肉阜和肉阜间部位相对处,其发生率迅速增加。特殊染色技术显示,这些细胞成熟时含有明显的高尔基体和许多特征性颗粒。我们的证据表明,在交配后19天,双核细胞迁移至微绒毛连接处,并与单个子宫上皮细胞融合形成杂种胎儿-母体三核细胞。有人提出,随后双核细胞持续迁移并与三核细胞融合,产生妊娠剩余时间典型的合体斑块。进一步表明,融合对于促进特征性颗粒输送至子宫上皮层底部并随后将其内容物胞吐到母体组织中很重要。

https://cdn.ncbi.nlm.nih.gov/pmc/blobs/0971/1257145/b3e9ecd0b47c/janat00039-0240-a.jpg

文献检索

告别复杂PubMed语法,用中文像聊天一样搜索,搜遍4000万医学文献。AI智能推荐,让科研检索更轻松。

立即免费搜索

文件翻译

保留排版,准确专业,支持PDF/Word/PPT等文件格式,支持 12+语言互译。

免费翻译文档

深度研究

AI帮你快速写综述,25分钟生成高质量综述,智能提取关键信息,辅助科研写作。

立即免费体验