Suppr超能文献

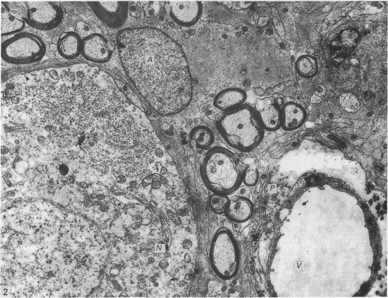
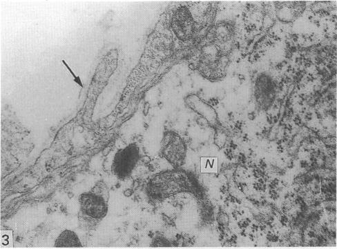
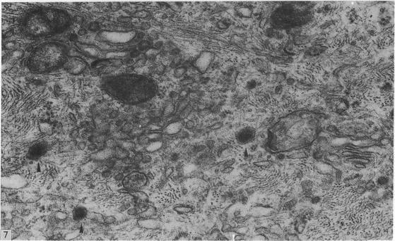
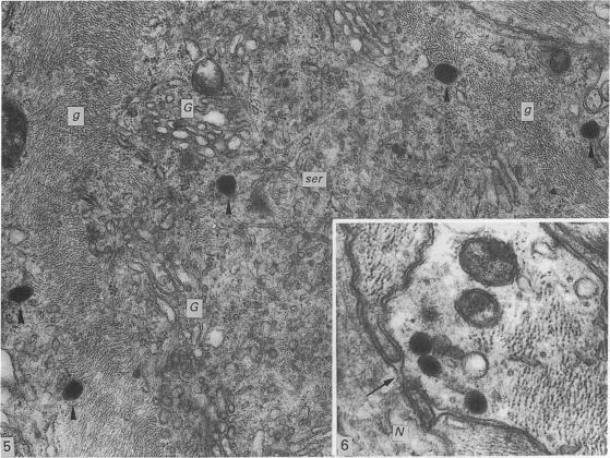
The possible secretory function of astrocytes in the marginal nuclei of the avian spinal cord.

作者信息

Bodega G, Suarez I, Fernandez B

机构信息

Departamento de Biología Celular y Genética, Universidad de Alcalá de Henares, 28871 Alcalá de Henares, Madrid, Spain.

出版信息

J Anat. 1989 Aug;165:19-27.

Abstract
摘要
https://cdn.ncbi.nlm.nih.gov/pmc/blobs/59f6/1256654/ef5f32a334a4/janat00045-0027-a.jpg

文献AI研究员

20分钟写一篇综述,助力文献阅读效率提升50倍。

立即体验

用中文搜PubMed

大模型驱动的PubMed中文搜索引擎

马上搜索

文档翻译

学术文献翻译模型,支持多种主流文档格式。

立即体验