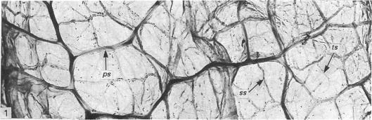
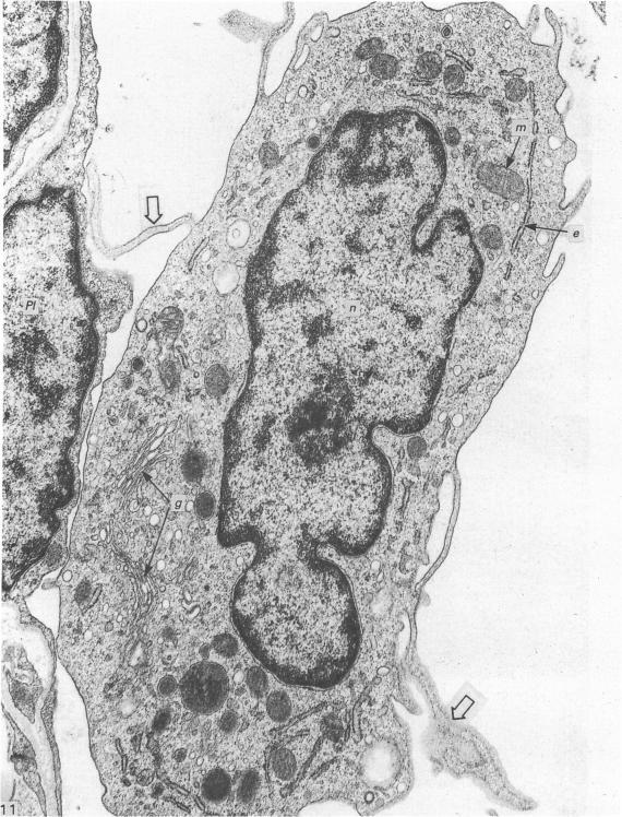
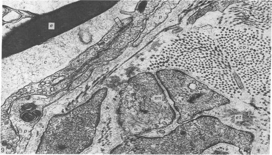
The morphology of the lung of the East African tree frog Chiromantis petersi with observations on the skin and the buccal cavity as secondary gas exchange organs: A TEM and SEM study.
作者信息
Maina J N
机构信息
Department of Veterinary Anatomy, University of Nairobi, P.O. Box 30197, Nairobi, Kenya.