• 文献检索
  • 文档翻译
  • 深度研究
  • 学术资讯
  • Suppr Zotero 插件Zotero 插件
  • 邀请有礼
  • 套餐&价格
  • 历史记录
应用&插件
Suppr Zotero 插件Zotero 插件浏览器插件Mac 客户端Windows 客户端微信小程序
定价
高级版会员购买积分包购买API积分包
服务
文献检索文档翻译深度研究API 文档MCP 服务
关于我们
关于 Suppr公司介绍联系我们用户协议隐私条款
关注我们

Suppr 超能文献

核心技术专利:CN118964589B侵权必究
粤ICP备2023148730 号-1Suppr @ 2026

文献检索

告别复杂PubMed语法,用中文像聊天一样搜索,搜遍4000万医学文献。AI智能推荐,让科研检索更轻松。

立即免费搜索

文件翻译

保留排版,准确专业,支持PDF/Word/PPT等文件格式,支持 12+语言互译。

免费翻译文档

深度研究

AI帮你快速写综述,25分钟生成高质量综述,智能提取关键信息,辅助科研写作。

立即免费体验

1型人类免疫缺陷病毒tRNA(赖氨酸)引物结合位点的缺失确定了逆转录的关键区域。

Deletions in the tRNA(Lys) primer-binding site of human immunodeficiency virus type 1 identify essential regions for reverse transcription.

作者信息

Rhim H, Park J, Morrow C D

机构信息

Department of Microbiology, University of Alabama, Birmingham 35294.

出版信息

J Virol. 1991 Sep;65(9):4555-64. doi: 10.1128/JVI.65.9.4555-4564.1991.

DOI:10.1128/JVI.65.9.4555-4564.1991
PMID:1714513
原文链接:https://pmc.ncbi.nlm.nih.gov/articles/PMC248909/
Abstract

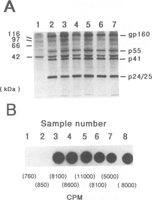
The initiation of human immunodeficiency virus type 1 (HIV-1) reverse transcription occurs by the extension of a tRNA primer bound near the 5' end of the genomic RNA at a position termed the primer-binding site (PBS). The PBS is an 18-nucleotide region of the HIV-1 genome complementary to cellular tRNA(Lys). To further investigate the sequence requirements for the PBS in reverse transcription, deletions in the PBS were created and subcloned into a plasmid containing the infectious HIV-1 proviral genome. The mutations deleted the entire PBS (delta PBS) or the first 9 (delta 1-9), the second 9 (delta 10-18), or 12 (delta 7-18) nucleotides of the PBS. An additional mutation in the PBS was created in which the second nine nucleotides were deleted and nine additional nucleotides were substituted [Lys(1-9)]. The transfection of plasmids containing the wild-type or mutant proviral genomes into tissue culture cells resulted in expression of the HIV-1 gag and env gene products, as determined by immunoprecipitation using sera from AIDS patients. HIV-1 virus was released from the transfected cells, as determined by analysis of the supernatants for reverse transcriptase activity. The infectivity of the viruses derived from the transfection was examined by coculture experiments with SupT1 cells, which support high-level replication of HIV-1. The transfection of plasmids containing HIV-1 proviral genomes with the delta PBS and PBS (delta 1-9) mutations did not produce infectious virus. In contrast, the HIV-1 proviral genomes with the delta 10-18, delta 7-18, and Lys(1-9) mutations in the PBS produced infectious virus upon transfection, although the kinetics of appearance was significantly delayed for the mutant viruses compared with the wild type. To further explore the nature of this defect, the PBS region from integrated proviral genomes was amplified by polymerase chain reaction and individual DNA products were subcloned into M13mp19, followed by a sequence analysis of the PBS region from individual M13 phage clones. In each of the PBS regions examined, the 18-nucleotide PBS complementary to tRNA(Lys) was present. However, nucleotide deletions and insertions were found 3' to the PBS from the samples derived from the transfection of plasmids containing mutant proviral genomes. Upon reinfection, the revertant viruses maintained the deletions 3' to the PBS and had kinetics of replication similar to that of the wild-type virus.(ABSTRACT TRUNCATED AT 400 WORDS)

摘要

1型人类免疫缺陷病毒(HIV-1)逆转录的起始是通过与基因组RNA 5'端附近一个称为引物结合位点(PBS)的位置结合的tRNA引物的延伸来实现的。PBS是HIV-1基因组中一个与细胞tRNA(Lys)互补的18个核苷酸区域。为了进一步研究PBS在逆转录中的序列要求,在PBS中产生缺失并亚克隆到含有感染性HIV-1前病毒基因组的质粒中。这些突变删除了整个PBS(δPBS)或PBS的前9个核苷酸(δ1-9)、后9个核苷酸(δ10-18)或12个核苷酸(δ7-18)。在PBS中还产生了另一个突变,其中删除了后9个核苷酸并替换了另外9个核苷酸[Lys(1-9)]。将含有野生型或突变型前病毒基因组的质粒转染到组织培养细胞中,通过使用艾滋病患者血清进行免疫沉淀测定,结果显示HIV-1 gag和env基因产物得以表达。通过分析上清液中的逆转录酶活性确定,HIV-1病毒从转染细胞中释放出来。通过与支持HIV-1高水平复制的SupT1细胞进行共培养实验,检测了转染衍生病毒的感染性。含有δPBS和PBS(δ1-9)突变的HIV-1前病毒基因组质粒转染后未产生感染性病毒。相比之下,PBS中具有δ10-18、δ7-18和Lys(1-9)突变的HIV-1前病毒基因组转染后产生了感染性病毒,尽管与野生型相比,突变病毒出现的动力学明显延迟。为了进一步探究这种缺陷的本质,通过聚合酶链反应扩增整合前病毒基因组的PBS区域,并将单个DNA产物亚克隆到M13mp19中,随后对单个M13噬菌体克隆的PBS区域进行序列分析。在所检测的每个PBS区域中,均存在与tRNA(Lys)互补的18个核苷酸的PBS。然而,在含有突变前病毒基因组质粒转染样品的PBS 3'端发现了核苷酸缺失和插入。再次感染时,回复病毒在PBS 3'端维持缺失状态,并且复制动力学与野生型病毒相似。(摘要截短至400字)

https://cdn.ncbi.nlm.nih.gov/pmc/blobs/8745/248909/3279f293f831/jvirol00052-0022-a.jpg
https://cdn.ncbi.nlm.nih.gov/pmc/blobs/8745/248909/3279f293f831/jvirol00052-0022-a.jpg
https://cdn.ncbi.nlm.nih.gov/pmc/blobs/8745/248909/3279f293f831/jvirol00052-0022-a.jpg

相似文献

1
Deletions in the tRNA(Lys) primer-binding site of human immunodeficiency virus type 1 identify essential regions for reverse transcription.1型人类免疫缺陷病毒tRNA(赖氨酸)引物结合位点的缺失确定了逆转录的关键区域。
J Virol. 1991 Sep;65(9):4555-64. doi: 10.1128/JVI.65.9.4555-4564.1991.
2
Minimal sequence requirements of a functional human immunodeficiency virus type 1 primer binding site.功能性人类免疫缺陷病毒1型引物结合位点的最小序列要求
J Virol. 1994 Mar;68(3):1605-14. doi: 10.1128/JVI.68.3.1605-1614.1994.
3
Mutations in both the U5 region and the primer-binding site influence the selection of the tRNA used for the initiation of HIV-1 reverse transcription.U5区域和引物结合位点的突变都会影响用于启动HIV-1逆转录的tRNA的选择。
Virology. 1996 Aug 15;222(2):401-14. doi: 10.1006/viro.1996.0437.
4
Effects of alterations of primer-binding site sequences on human immunodeficiency virus type 1 replication.引物结合位点序列改变对1型人类免疫缺陷病毒复制的影响。
J Virol. 1994 Oct;68(10):6198-206. doi: 10.1128/JVI.68.10.6198-6206.1994.
5
Identification of a sequence within U5 required for human immunodeficiency virus type 1 to stably maintain a primer binding site complementary to tRNA(Met).鉴定1型人类免疫缺陷病毒稳定维持与tRNA(Met)互补的引物结合位点所需的U5内序列。
J Virol. 1997 Jan;71(1):207-17. doi: 10.1128/JVI.71.1.207-217.1997.
6
Construction of a type 1 human immunodeficiency virus that maintains a primer binding site complementary to tRNA(His).构建一种1型人类免疫缺陷病毒,其保留与tRNA(His)互补的引物结合位点。
J Virol. 1996 Feb;70(2):966-75. doi: 10.1128/JVI.70.2.966-975.1996.
7
Human immunodeficiency virus type 1 can use different tRNAs as primers for reverse transcription but selectively maintains a primer binding site complementary to tRNA(3Lys).1型人类免疫缺陷病毒可以使用不同的tRNA作为逆转录引物,但会选择性地维持与tRNA(3Lys)互补的引物结合位点。
J Virol. 1995 Oct;69(10):6021-9. doi: 10.1128/JVI.69.10.6021-6029.1995.
8
Genetic evidence of the interaction between tRNA(Lys,3) and U5 facilitating efficient initiation of reverse transcription by human immunodeficiency virus type 1.tRNA(Lys,3)与U5之间相互作用促进人类免疫缺陷病毒1型逆转录有效起始的遗传学证据。
AIDS Res Hum Retroviruses. 1998 Jul 20;14(11):979-88. doi: 10.1089/aid.1998.14.979.
9
A structured RNA motif is involved in correct placement of the tRNA(3)(Lys) primer onto the human immunodeficiency virus genome.一种结构化RNA基序参与将tRNA<sup>3</sup>(Lys)引物正确定位到人类免疫缺陷病毒基因组上。
J Virol. 2000 Mar;74(5):2227-38. doi: 10.1128/jvi.74.5.2227-2238.2000.
10
Nucleotide sequences within the U5 region of the viral RNA genome are the major determinants for an human immunodeficiency virus type 1 to maintain a primer binding site complementary to tRNA(His).病毒RNA基因组U5区域内的核苷酸序列是人类免疫缺陷病毒1型维持与tRNA(His)互补的引物结合位点的主要决定因素。
Virology. 1996 Dec 15;226(2):306-17. doi: 10.1006/viro.1996.0658.

引用本文的文献

1
t-RNA mediates provirus deletion in HIV-infected cells.转运RNA介导HIV感染细胞中前病毒的缺失。
Retrovirology. 2025 Jul 1;22(1):11. doi: 10.1186/s12977-025-00667-0.
2
HIV-1 RNA genome packaging: it's G-rated.HIV-1 RNA 基因组包装:它是 G 级的。
mBio. 2024 Apr 10;15(4):e0086123. doi: 10.1128/mbio.00861-23. Epub 2024 Feb 27.
3
Retrotransposons hijack alt-EJ for DNA replication and eccDNA biogenesis.逆转座子劫持 alt-EJ 进行 DNA 复制和 eccDNA 生物发生。

本文引用的文献

1
Structure, variation and synthesis of retrovirus long terminal repeat.逆转录病毒长末端重复序列的结构、变异与合成
Cell. 1981 Nov;27(1 Pt 2):1-3. doi: 10.1016/0092-8674(81)90353-6.
2
High level transient expression of a chloramphenicol acetyl transferase gene by DEAE-dextran mediated DNA transfection coupled with a dimethyl sulfoxide or glycerol shock treatment.通过DEAE-葡聚糖介导的DNA转染并结合二甲基亚砜或甘油休克处理实现氯霉素乙酰转移酶基因的高水平瞬时表达。
Nucleic Acids Res. 1984 Jul 25;12(14):5707-17. doi: 10.1093/nar/12.14.5707.
3
New M13 vectors for cloning.
Nature. 2023 Aug;620(7972):218-225. doi: 10.1038/s41586-023-06327-7. Epub 2023 Jul 12.
4
Extended Interactions between HIV-1 Viral RNA and tRNA Are Important to Maintain Viral RNA Integrity.HIV-1 病毒 RNA 与 tRNA 之间的广泛相互作用对维持病毒 RNA 完整性很重要。
Int J Mol Sci. 2020 Dec 23;22(1):58. doi: 10.3390/ijms22010058.
5
NMR Studies of Retroviral Genome Packaging.NMR 研究逆转录病毒基因组包装。
Viruses. 2020 Sep 30;12(10):1115. doi: 10.3390/v12101115.
6
HIV-1 Subtypes and 5'LTR-Leader Sequence Variants Correlate with Seroconversion Status in Pumwani Sex Worker Cohort.HIV-1 亚型和 5'LTR- 前导序列变异与 pumwani 性工作者队列中的血清转换状态相关。
Viruses. 2017 Dec 23;10(1):4. doi: 10.3390/v10010004.
7
tRNAs as primers and inhibitors of retrotransposons.转运RNA作为逆转座子的引物和抑制剂。
Mob Genet Elements. 2017 Nov 1;7(5):1-6. doi: 10.1080/2159256X.2017.1393490. eCollection 2017.
8
Impact of forced selection of tRNAs on HIV-1 replication and genome stability highlight preferences for selection of certain tRNAs.强制选择转运RNA对HIV-1复制和基因组稳定性的影响突出了对某些转运RNA选择的偏好。
Virus Res. 2007 Mar;124(1-2):29-37. doi: 10.1016/j.virusres.2006.09.009. Epub 2006 Oct 30.
9
HIV-1 designed to use different tRNAGln isoacceptors prefers to select tRNAThr for replication.设计用于使用不同谷氨酰胺tRNA同工受体的HIV-1更倾向于选择苏氨酸tRNA进行复制。
Virol J. 2006 Sep 26;3:80. doi: 10.1186/1743-422X-3-80.
10
Inhibition of human immunodeficiency virus type 1 replication with artificial transcription factors targeting the highly conserved primer-binding site.利用靶向高度保守引物结合位点的人工转录因子抑制1型人类免疫缺陷病毒复制。
J Virol. 2006 Mar;80(6):2873-83. doi: 10.1128/JVI.80.6.2873-2883.2006.
用于克隆的新型M13载体。
Methods Enzymol. 1983;101:20-78. doi: 10.1016/0076-6879(83)01005-8.
4
Oligonucleotide-directed mutagenesis of DNA fragments cloned into M13 vectors.克隆至M13载体的DNA片段的寡核苷酸定向诱变
Methods Enzymol. 1983;100:468-500. doi: 10.1016/0076-6879(83)00074-9.
5
Form and function of retroviral proviruses.逆转录病毒前病毒的形式与功能。
Science. 1982 May 21;216(4548):812-20. doi: 10.1126/science.6177038.
6
Reverse transcriptase as the major determinant for selective packaging of tRNA's into Avian sarcoma virus particles.逆转录酶作为tRNA选择性包装进禽肉瘤病毒颗粒的主要决定因素。
J Virol. 1980 Dec;36(3):692-700. doi: 10.1128/JVI.36.3.692-700.1980.
7
Oligonucleotide-directed mutagenesis: a simple method using two oligonucleotide primers and a single-stranded DNA template.寡核苷酸定向诱变:一种使用两条寡核苷酸引物和单链DNA模板的简单方法。
DNA. 1984 Dec;3(6):479-88. doi: 10.1089/dna.1.1984.3.479.
8
RNA-dependent DNA polymerase in virions of Rous sarcoma virus.劳氏肉瘤病毒病毒粒子中的RNA依赖性DNA聚合酶。
Nature. 1970 Jun 27;226(5252):1211-3. doi: 10.1038/2261211a0.
9
RNA-dependent DNA polymerase in virions of RNA tumour viruses.RNA肿瘤病毒病毒粒子中的RNA依赖性DNA聚合酶。
Nature. 1970 Jun 27;226(5252):1209-11. doi: 10.1038/2261209a0.
10
Complete nucleotide sequences of functional clones of the AIDS virus.艾滋病病毒功能克隆的完整核苷酸序列。
AIDS Res Hum Retroviruses. 1987 Spring;3(1):57-69. doi: 10.1089/aid.1987.3.57.