Halter Jeffrey M, Steinberg Jay M, Gatto Louis A, DiRocco Joseph D, Pavone Lucio A, Schiller Henry J, Albert Scott, Lee Hsi-Ming, Carney David, Nieman Gary F
Department of Surgery, SUNY Upstate Medical University, Syracuse, New York 13210, USA.
Crit Care. 2007;11(1):R20. doi: 10.1186/cc5695.
One potential mechanism of ventilator-induced lung injury (VILI) is due to shear stresses associated with alveolar instability (recruitment/derecruitment). It has been postulated that the optimal combination of tidal volume (Vt) and positive end-expiratory pressure (PEEP) stabilizes alveoli, thus diminishing recruitment/derecruitment and reducing VILI. In this study we directly visualized the effect of Vt and PEEP on alveolar mechanics and correlated alveolar stability with lung injury.
In vivo microscopy was utilized in a surfactant deactivation porcine ARDS model to observe the effects of Vt and PEEP on alveolar mechanics. In phase I (n = 3), nine combinations of Vt and PEEP were evaluated to determine which combination resulted in the most and least alveolar instability. In phase II (n = 6), data from phase I were utilized to separate animals into two groups based on the combination of Vt and PEEP that caused the most alveolar stability (high Vt [15 cc/kg] plus low PEEP [5 cmH2O]) and least alveolar stability (low Vt [6 cc/kg] and plus PEEP [20 cmH2O]). The animals were ventilated for three hours following lung injury, with in vivo alveolar stability measured and VILI assessed by lung function, blood gases, morphometrically, and by changes in inflammatory mediators.
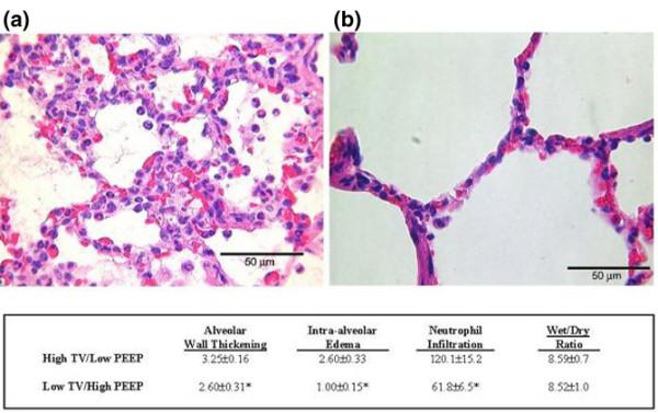
High Vt/low PEEP resulted in the most alveolar instability and lung injury, as indicated by lung function and morphometric analysis of lung tissue. Low Vt/high PEEP stabilized alveoli, improved oxygenation, and reduced lung injury. There were no significant differences between groups in plasma or bronchoalveolar lavage cytokines or proteases.
A ventilatory strategy employing high Vt and low PEEP causes alveolar instability, and to our knowledge this is the first study to confirm this finding by direct visualization. These studies demonstrate that low Vt and high PEEP work synergistically to stabilize alveoli, although increased PEEP is more effective at stabilizing alveoli than reduced Vt. In this animal model of ARDS, alveolar instability results in lung injury (VILI) with minimal changes in plasma and bronchoalveolar lavage cytokines and proteases. This suggests that the mechanism of lung injury in the high Vt/low PEEP group was mechanical, not inflammatory in nature.
呼吸机诱导性肺损伤(VILI)的一种潜在机制是与肺泡不稳定(复张/萎陷)相关的剪应力。据推测,潮气量(Vt)和呼气末正压(PEEP)的最佳组合可使肺泡稳定,从而减少复张/萎陷并降低VILI。在本研究中,我们直接观察了Vt和PEEP对肺泡力学的影响,并将肺泡稳定性与肺损伤相关联。
在表面活性剂失活的猪急性呼吸窘迫综合征(ARDS)模型中使用体内显微镜观察Vt和PEEP对肺泡力学的影响。在第一阶段(n = 3),评估了Vt和PEEP的九种组合,以确定哪种组合导致的肺泡不稳定最多和最少。在第二阶段(n = 6),根据导致肺泡稳定性最高(高Vt [15 cc/kg]加低PEEP [5 cmH2O])和肺泡稳定性最低(低Vt [6 cc/kg]加高PEEP [20 cmH2O])的Vt和PEEP组合,将第一阶段的数据用于将动物分为两组。肺损伤后对动物进行三小时通气,测量体内肺泡稳定性,并通过肺功能、血气、形态学以及炎症介质的变化评估VILI。
高Vt/低PEEP导致肺泡不稳定和肺损伤最多,这通过肺功能和肺组织形态学分析得以表明。低Vt/高PEEP使肺泡稳定,改善氧合,并减少肺损伤。两组之间血浆或支气管肺泡灌洗细胞因子或蛋白酶无显著差异。
采用高Vt和低PEEP的通气策略会导致肺泡不稳定,据我们所知,这是第一项通过直接观察证实这一发现的研究。这些研究表明,低Vt和高PEEP协同作用使肺泡稳定,尽管增加PEEP在稳定肺泡方面比降低Vt更有效。在这个ARDS动物模型中,肺泡不稳定导致肺损伤(VILI),而血浆和支气管肺泡灌洗细胞因子及蛋白酶变化最小。这表明高Vt/低PEEP组的肺损伤机制是机械性的,而非炎症性的。