Suppr超能文献

乳糜泻与淋巴管扩张症。

Coeliac disease and lymphangiectasia.

作者信息

Perisic V N, Kokai G

机构信息

Mother and Child Health Institute of Serbia, Novi Beograd, Yugoslavia.

出版信息

Arch Dis Child. 1992 Jan;67(1):134-6. doi: 10.1136/adc.67.1.134.

Abstract

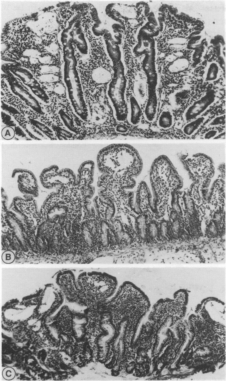
Two out of 74 children with coeliac disease demonstrated severe intestinal protein loss. In both children a serial small bowel biopsy specimen showed intestinal lymphangiectasia to be also present. Intestinal lymphangiectasia is another disorder that may be associated with coeliac disease.

摘要

74名乳糜泻患儿中有2名出现严重的肠道蛋白质丢失。这两名患儿的系列小肠活检标本均显示同时存在肠道淋巴管扩张症。肠道淋巴管扩张症是另一种可能与乳糜泻相关的病症。

https://cdn.ncbi.nlm.nih.gov/pmc/blobs/a416/1793534/30544b014c6e/archdisch00642-0069-a.jpg

文献AI研究员

20分钟写一篇综述,助力文献阅读效率提升50倍。

立即体验

用中文搜PubMed

大模型驱动的PubMed中文搜索引擎

马上搜索

文档翻译

学术文献翻译模型,支持多种主流文档格式。

立即体验