Suppr超能文献

Enzyme immunohistochemical staining of formalin-fixed tissues for diagnosis in veterinary pathology.

作者信息

Haines D M, Clark E G

出版信息

Can Vet J. 1991 May;32(5):295-302.

Abstract

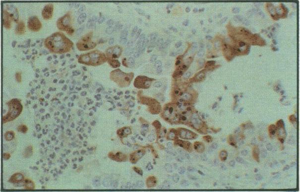
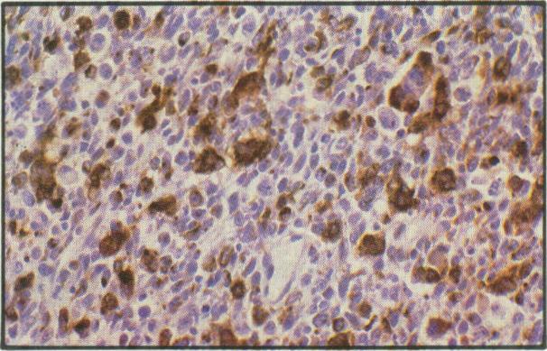
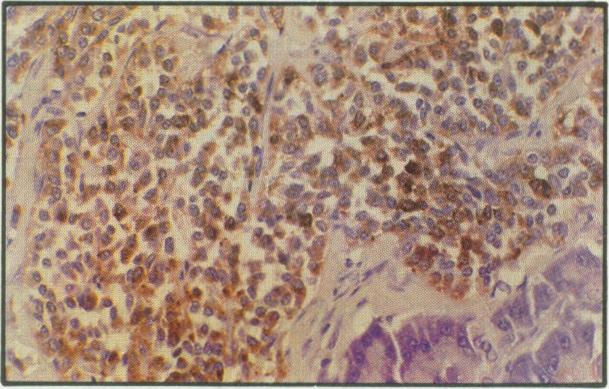
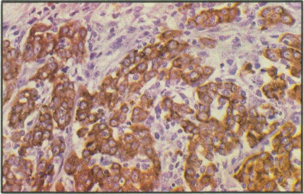
Disease diagnosis often relies on the detection of specific antigens in tissue specimens. Enzyme-based immunohistochemical stains of formalin-fixed, paraffin-embedded tissues may be used to identify antigens associated with viral, bacterial and protozoal microorganisms, autoimmunity, and neoplasia. The detection of antigens in routinely fixed tissues offers several advantages over other diagnostic techniques. Sample submission is convenient and facilitates safe handling of potential human pathogens. Retrospective studies of stored specimens are possible. The technique is relatively rapid and enables detection of nonviable microorganisms. In addition, the ability to detect antigens in fixed specimens allows simultaneous visualization of the antigen and the histological lesion which may enhance the accuracy of diagnosis.

摘要
https://cdn.ncbi.nlm.nih.gov/pmc/blobs/fc2c/1481497/cc6ef9c669a3/canvetj00066-0042-a.jpg

文献AI研究员

20分钟写一篇综述,助力文献阅读效率提升50倍。

立即体验

用中文搜PubMed

大模型驱动的PubMed中文搜索引擎

马上搜索

文档翻译

学术文献翻译模型,支持多种主流文档格式。

立即体验