Suppr超能文献

从猫抓病到心内膜炎,汉赛巴尔通体感染可能的自然病程。

From cat scratch disease to endocarditis, the possible natural history of Bartonella henselae infection.

作者信息

Gouriet Frédérique, Lepidi Hubert, Habib Gilbert, Collart Frédéric, Raoult Didier

机构信息

Unité des Rickettsies, CNRS UMR 6020, IFR 48, Faculté de Médecine, Université de la Méditerranée, Marseille cedex 05, France.

出版信息

BMC Infect Dis. 2007 Apr 18;7:30. doi: 10.1186/1471-2334-7-30.

Abstract

BACKGROUND

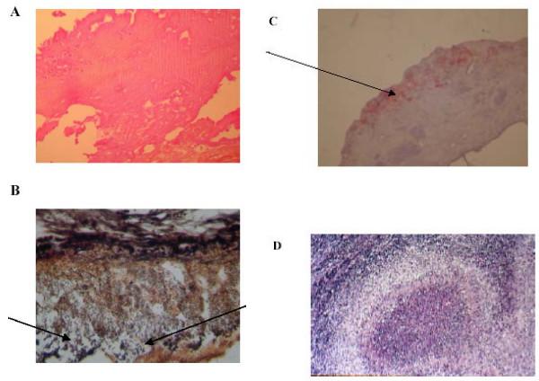
Most patients with infectious endocarditis (IE) due to Bartonella henselae have a history of exposure to cats and pre-existing heart valve lesions. To date, none of the reported patients have had a history of typical cat scratch disease (CSD) which is also a manifestation of infection with B. henselae.

CASE PRESENTATION

Here we report the case of a patient who had CSD and six months later developed IE of the mitral valve caused by B. henselae.

CONCLUSION

Based on this unique case, we speculate that CSD represents the primary-infection of B. henselae and that IE follows in patients with heart valve lesions.

摘要

背景

大多数因汉赛巴尔通体引起感染性心内膜炎(IE)的患者有接触猫的病史以及先前存在的心脏瓣膜病变。迄今为止,所有报告的患者均无典型猫抓病(CSD)病史,而CSD也是汉赛巴尔通体感染的一种表现形式。

病例报告

在此,我们报告一例患有CSD且6个月后发生由汉赛巴尔通体引起二尖瓣IE的患者病例。

结论

基于这一独特病例,我们推测CSD代表汉赛巴尔通体的原发性感染,而IE则发生于有心脏瓣膜病变的患者。

https://cdn.ncbi.nlm.nih.gov/pmc/blobs/0cd9/1868026/f61ef0b5e37f/1471-2334-7-30-1.jpg

文献AI研究员

20分钟写一篇综述,助力文献阅读效率提升50倍。

立即体验

用中文搜PubMed

大模型驱动的PubMed中文搜索引擎

马上搜索

文档翻译

学术文献翻译模型,支持多种主流文档格式。

立即体验