Suppr超能文献

寡核苷酸酞菁衍生物对 DNA 的修饰的动力学研究。

Kinetic study of DNA modification by phthalocyanine derivative of the oligonucleotide.

机构信息

Institute of Chemical Biology and Fundamental Medicine, Siberian Branch of the Russian Academy of Sciences, Novosibirsk 630090, Russia.

出版信息

Bioinorg Chem Appl. 2006;2006:23560. doi: 10.1155/BCA/2006/23560. Epub 2006 Dec 18.

Abstract

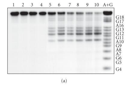
Design of chemically modified oligonucleotides for regulation of gene expression has attracted considerable attention over the last decades. One actively pursued approach involves antisense or antigene constructs carrying reactive groups, many of these based on transition metal complexes. The complexes of Co(II) with phthalocyanines are extremely good catalysts of oxidation of organic compounds with molecular oxygen and hydrogen peroxide. In this study, we have investigated the kinetics and thermodynamics of sequence-specific modification of DNA with deoxyribooligonucleotide linked to Co(II)-tetracarboxyphthalocyanine (PtcCo(II)) in the presence of H(2)O(2).

摘要

在过去几十年中,设计用于调节基因表达的化学修饰寡核苷酸引起了相当大的关注。一种积极探索的方法涉及携带反应性基团的反义或抗基因构建体,其中许多基于过渡金属配合物。Co(II)与酞菁的配合物是有机化合物与分子氧和过氧化氢氧化的极好催化剂。在这项研究中,我们研究了在 H(2)O(2)存在下,与 Co(II)-四羧基酞菁(PtcCo(II))连接的脱氧核糖寡核苷酸对 DNA 的序列特异性修饰的动力学和热力学。

https://cdn.ncbi.nlm.nih.gov/pmc/blobs/a99a/1800914/48baefdf7a8a/BCA2006-23560.001.jpg

文献检索

告别复杂PubMed语法,用中文像聊天一样搜索,搜遍4000万医学文献。AI智能推荐,让科研检索更轻松。

立即免费搜索

文件翻译

保留排版,准确专业,支持PDF/Word/PPT等文件格式,支持 12+语言互译。

免费翻译文档

深度研究

AI帮你快速写综述,25分钟生成高质量综述,智能提取关键信息,辅助科研写作。

立即免费体验