Suppr超能文献

因微钙化进行活检时的上皮异型性。对2833例连续切片的手术活检进行长期随访的实际考量。

Epithelial atypia in biopsies performed for microcalcifications. practical considerations about 2,833 serially sectioned surgical biopsies with a long follow-up.

作者信息

de Mascarel Isabelle, MacGrogan Gaëtan, Mathoulin-Pélissier Simone, Vincent-Salomon Anne, Soubeyran Isabelle, Picot Véronique, Coindre Jean-Michel, Mauriac Louis

机构信息

Department of Pathology, Institut Bergonié, Regional Cancer Center, Bordeaux, France.

出版信息

Virchows Arch. 2007 Jul;451(1):1-10. doi: 10.1007/s00428-007-0408-5. Epub 2007 Jun 6.

Abstract

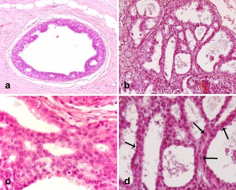
This study analyzes the occurrence of epithelial atypia in 2,833 serially sectioned surgical breast biopsies (SB) performed for microcalcifications (median number of blocks per SB:26) and the occurrence of subsequent cancer after an initial diagnosis of epithelial atypia (median follow-up 160 months). Epithelial atypia (flat epithelial atypia, atypical ductal hyperplasia, and lobular neoplasia) were found in 971 SB, with and without a concomitant cancer in 301 (31%) and 670 (69%) SB, respectively. Thus, isolated epithelial atypia were found in 670 out of the 2,833 SB (23%). Concomitant cancers corresponded to ductal carcinomas in situ and micro-invasive (77%), invasive ductal carcinomas not otherwise specified (15%), invasive lobular carcinomas (4%), and tubular carcinomas (4%). Fifteen out of the 443 patients with isolated epithelial atypia developed a subsequent ipsilateral (n = 14) and contralateral (n = 1) invasive cancer. The high slide rating might explain the high percentages of epithelial atypia and concomitant cancers and the low percentage of subsequent cancer after a diagnosis of epithelial atypia as a single lesion. Epithelial atypia could be more a risk marker of concomitant than subsequent cancer.

摘要

本研究分析了因微钙化而进行的2833例乳腺手术活检连续切片(SB)中上皮异型增生的发生情况(每个SB的切片中位数:26),以及初次诊断为上皮异型增生后的后续癌症发生情况(中位随访时间160个月)。在971例SB中发现了上皮异型增生(扁平上皮异型增生、非典型导管增生和小叶瘤变),其中分别有301例(31%)和670例(69%)伴有或不伴有同时存在的癌症。因此,在2833例SB中有670例(23%)发现了孤立性上皮异型增生。同时存在的癌症包括导管原位癌和微浸润癌(77%)、未另行特指的浸润性导管癌(15%)、浸润性小叶癌(4%)和管状癌(4%)。443例孤立性上皮异型增生患者中有15例发生了后续同侧(n = 14)和对侧(n = 1)浸润性癌。高切片评级可能解释了上皮异型增生和同时存在癌症的高比例,以及诊断为孤立性上皮异型增生后后续癌症的低比例。上皮异型增生可能更多地是同时存在癌症而非后续癌症的风险标志物。

https://cdn.ncbi.nlm.nih.gov/pmc/blobs/2cf2/2335297/faeaf2b87bf2/428_2007_408_Fig1_HTML.jpg

文献AI研究员

20分钟写一篇综述,助力文献阅读效率提升50倍。

立即体验

用中文搜PubMed

大模型驱动的PubMed中文搜索引擎

马上搜索

文档翻译

学术文献翻译模型,支持多种主流文档格式。

立即体验