Suppr超能文献

Femoral vein thrombophlebitis and septic pulmonary embolism due to a mixed anaerobic infection including Solobacterium moorei: a case report.

作者信息

Martin Claire A, Wijesurendra Rohan S, Borland Colin Dr, Karas Johannis A

机构信息

Department of Microbiology, Hinchingbrooke Hospital, Hinchingbrooke Heath Care NHS Trust, Huntingdon, Cambridgeshire, PE29 6NT, UK.

出版信息

J Med Case Rep. 2007 Jul 2;1:40. doi: 10.1186/1752-1947-1-40.

Abstract

BACKGROUND

Primary foci of necrobacillosis infection outside the head and neck are uncommon but have been reported in the urogenital or gastrointestinal tracts. Reports of infection with Solobacterium moorei are rare.

CASE PRESENTATION

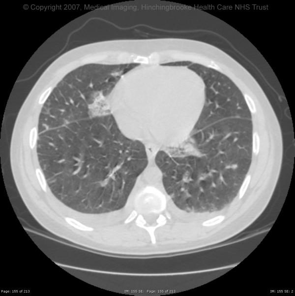
A 37-year-old male intravenous drug user was admitted with pain in his right groin, fever, rigors and vomiting following a recent injection into the right femoral vein. Admission blood cultures grew Fusobacterium nucleatum, Solobacterium moorei and Bacteroides ureolyticus. The patient was successfully treated with intravenous penicillin and metronidazole.

CONCLUSION

This case report describes an unusual case of femoral thrombophlebitis with septic pulmonary embolism associated with anaerobic organisms in a groin abscess. Solobacterium moorei, though rarely described, may also have clinically significant pathogenic potential.

摘要
https://cdn.ncbi.nlm.nih.gov/pmc/blobs/757d/1929108/6de07d260d7b/1752-1947-1-40-1.jpg

文献AI研究员

20分钟写一篇综述,助力文献阅读效率提升50倍。

立即体验

用中文搜PubMed

大模型驱动的PubMed中文搜索引擎

马上搜索

文档翻译

学术文献翻译模型,支持多种主流文档格式。

立即体验