Suppr超能文献

副肾动脉纤维肌性发育异常导致肾血管性高血压:一例报告

Fibromuscular dysplasia in an accessory renal artery causing renovascular hypertension: a case report.

作者信息

Zeina Abdel-Rauf, Vladimir Wolfson, Barmeir Elisha

机构信息

Department of Radiology & MAR Imaging Institute, Bnai-Zion Medical Center, Faculty of Medicine, Technion, Haifa, Israel.

出版信息

J Med Case Rep. 2007 Jul 31;1:58. doi: 10.1186/1752-1947-1-58.

Abstract

BACKGROUND

Renovascular hypertension is defined as hypertension caused by renal artery stenosis. The two main etiologies are atherosclerosis and fibromuscular dysplasia. Fibromuscular dysplasia in an accessory renal artery as a cause of renovascular hypertension is uncommon.

CASE PRESENTATION

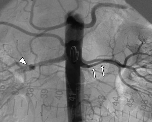
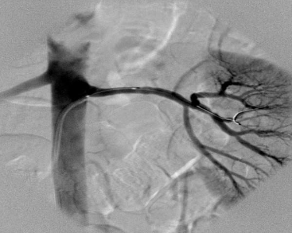
In this report, we present a relatively uncommon case of renovascular hypertension in a 35-year-old female with a history of intractable hypertension as a result of fibromuscular dysplasia involving an accessory renal artery. Selective renal angiography was performed and revealed a single renal artery on the right and two renal arteries supplying the left kidney, upper and lower poles. Selective renal angiography showed the typical fibromuscular dysplasia lesion characterized by its classic "string of beads" appearance, consisting of alternating areas of narrowing and dilatation, located in the middle portion of the lower left renal artery (accessory artery) associated with moderate stenosis. Percutaneous balloon dilatation of the stenotic lesion was successfully performed. Following angioplasty, her blood pressure normalized over a period of several months using a single antihypertensive medication (rather than 3 medications).

CONCLUSION

Fibromuscular dysplasia in an accessory renal artery can, even though rarely, be responsible for renovascular hypertension. Selective renal angiography is the 'gold standard' test and should be performed when renovascular intervention is contemplated.

摘要

背景

肾血管性高血压定义为由肾动脉狭窄引起的高血压。两个主要病因是动脉粥样硬化和纤维肌发育不良。副肾动脉的纤维肌发育不良作为肾血管性高血压的病因并不常见。

病例介绍

在本报告中,我们呈现了一例相对罕见的肾血管性高血压病例,患者为一名35岁女性,有顽固性高血压病史,病因是累及副肾动脉的纤维肌发育不良。进行了选择性肾血管造影,结果显示右侧有一条肾动脉,左侧肾脏的上极和下极由两条肾动脉供血。选择性肾血管造影显示典型的纤维肌发育不良病变,其特征为经典的“串珠样”表现,由狭窄和扩张交替区域组成,位于左肾下极(副肾动脉)中部,伴有中度狭窄。成功地对狭窄病变进行了经皮球囊扩张。血管成形术后,她仅使用一种抗高血压药物(而非三种药物),血压在几个月内恢复正常。

结论

副肾动脉的纤维肌发育不良即使很少见,也可能导致肾血管性高血压。选择性肾血管造影是“金标准”检查,当考虑进行肾血管介入治疗时应进行该项检查。

https://cdn.ncbi.nlm.nih.gov/pmc/blobs/2422/1973079/52954436efe8/1752-1947-1-58-1.jpg

文献AI研究员

20分钟写一篇综述,助力文献阅读效率提升50倍。

立即体验

用中文搜PubMed

大模型驱动的PubMed中文搜索引擎

马上搜索

文档翻译

学术文献翻译模型,支持多种主流文档格式。

立即体验