Suppr超能文献

腹壁颗粒细胞瘤

Granular cell tumors of the abdominal wall.

作者信息

An Jung-Suk, Han Sun-Hee, Hwang Sung-Bae, Lee Ju-Han, Min Byung-Wook, Um Jun-Won, Lee Eung-Seok, Park Heum-Rye, Kim Young-Sik

机构信息

Department of Pathology, Ansan Hospital, College of Medicine, Korea University, 516 Gojan-dong, Danwon-gu, Ansan-si, Gyeonggi-do 425-707, Korea.

出版信息

Yonsei Med J. 2007 Aug 31;48(4):727-30. doi: 10.3349/ymj.2007.48.4.727.

Abstract

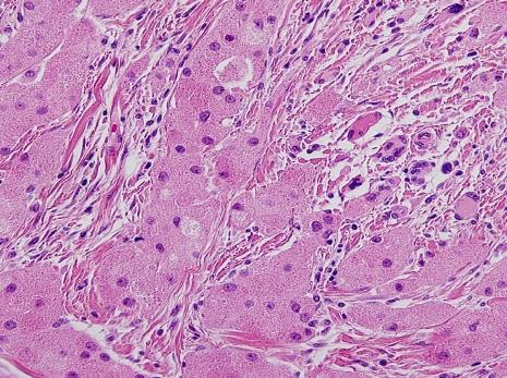
Granular cell tumors (GCT) are found in virtually any body site, including the tongue, skin, subcutaneous tissue, breast, rectum and vulva. However, they are rarely seen in the abdominal wall. We report here on a rare case of GCT in the rectus muscle of the abdominal wall. A 44-year-old woman presented with a non-tender, hard mass in the right lower abdominal wall. Upon microscopic examination, the tumor was found to comprise of large polygonal cells with an abundant eosinophilic granular cytoplasm and round to oval nuclei. Upon immunohistochemical staining, the large cells showed S-100 and CD68 positive granular aggregates in the cytoplasm. Many lysosomes of variable size were observed in the cytoplasm.

摘要

颗粒细胞瘤(GCT)几乎可发生于身体的任何部位,包括舌、皮肤、皮下组织、乳腺、直肠和外阴。然而,它们在腹壁很少见。我们在此报告一例罕见的腹壁直肌颗粒细胞瘤。一名44岁女性患者右下腹壁出现一个无压痛的硬块。显微镜检查发现,肿瘤由大的多边形细胞组成,细胞质丰富且呈嗜酸性颗粒状,细胞核呈圆形至椭圆形。免疫组化染色显示,大细胞的细胞质中有S-100和CD68阳性颗粒聚集物。细胞质中观察到许多大小不一的溶酶体。

https://cdn.ncbi.nlm.nih.gov/pmc/blobs/18b8/2628063/0d9b2301e145/ymj-48-727-g001.jpg

文献AI研究员

20分钟写一篇综述,助力文献阅读效率提升50倍。

立即体验

用中文搜PubMed

大模型驱动的PubMed中文搜索引擎

马上搜索

文档翻译

学术文献翻译模型,支持多种主流文档格式。

立即体验