Suppr超能文献

先天性肺淋巴管扩张症的临床病理特征:两例报告

Clinico-pathological characteristics of congenital pulmonary lymphangiectasis: report of two cases.

作者信息

Eom Minseob, Choi Yoo Duk, Kim Youn Shin, Cho Mee Yon, Jung Soon Hee, Lee Han Young

机构信息

Department of Forensic Medicine, Western District Office, National Institute of Scientific Investigation, Jangseong, Korea.

出版信息

J Korean Med Sci. 2007 Aug;22(4):740-5. doi: 10.3346/jkms.2007.22.4.740.

Abstract

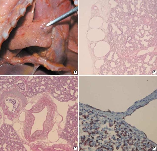
Congenital pulmonary lymphangiectasis (CPL) is a rare, poorly documented disease, characterized by abnormal dilatation of pulmonary lymphatics without lymphatic proliferation. This disease is seen almost exclusively in infancy and early childhood. It can usually be divided into primary (congenital) and secondary forms. The primary form presents in neonates, and the patients mostly die due to the respiratory distress, shortly after birth. The authors experienced two cases of primary CPL in a 13-day-old male neonate and a one-day-old male neonate, showing prominent lymphatic dilatation in the septal, subpleural, and peri-bronchial tissue throughout both lungs. The latter case was associated with congenital cardiac anomaly including single ventricle. These are unique cases of CPL in Korea of which the diagnosis was established through post-mortem examination. Therefore, the authors report these two cases with primary CPL with a review of the literature.

摘要

先天性肺淋巴管扩张症(CPL)是一种罕见且文献记载较少的疾病,其特征为肺淋巴管异常扩张而无淋巴管增生。这种疾病几乎仅见于婴儿期和幼儿期。它通常可分为原发性(先天性)和继发性两种形式。原发性形式见于新生儿,患者大多在出生后不久因呼吸窘迫死亡。作者遇到两例原发性CPL,一例为13日龄男婴,另一例为1日龄男婴,两例均显示两肺的间隔、胸膜下和支气管周围组织有明显的淋巴管扩张。后一例伴有先天性心脏异常,包括单心室。这是韩国CPL的独特病例,其诊断是通过尸检确定的。因此,作者报告这两例原发性CPL病例并对文献进行综述。

https://cdn.ncbi.nlm.nih.gov/pmc/blobs/a88f/2693831/1cb09c776c6a/jkms-22-740-g001.jpg

文献AI研究员

20分钟写一篇综述,助力文献阅读效率提升50倍。

立即体验

用中文搜PubMed

大模型驱动的PubMed中文搜索引擎

马上搜索

文档翻译

学术文献翻译模型,支持多种主流文档格式。

立即体验