Suppr超能文献

Recurrent lower gastrointestinal bleeding from congenital arteriovenous malformation in the terminal ileum mimicking intestinal varicosis: a case report.

作者信息

Cheon Jae Hee, Song Ho June, Kim Joo Sung, Park Kyu Joo, Kim Woo Ho, Jung Hyun Chae, Song In Sung

机构信息

Department of Internal Medicine, Liver Research Institute, Seoul National University College of Medicine, Seoul, Korea.

出版信息

J Korean Med Sci. 2007 Aug;22(4):746-9. doi: 10.3346/jkms.2007.22.4.746.

Abstract

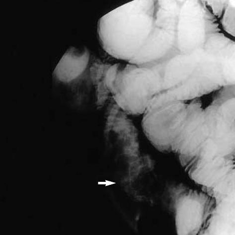
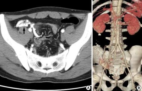
We report on an exceptional vascular cause of gastrointestinal hemorrhage. A 30-yr-old man was admitted because of recurrent hematochezia. Colonoscopy showed circumferential, erythematous, and nodular vascular distensions with hematocystic spots in the terminal ileum resembling varicosis and subsequent computed tomography with 3-dimensional angiographic reconstruction revealed a vascular architecture around the terminal ileum. No other potential source of bleeding was identified. The patient was treated by ileocecectomy and the final diagnosis was of an arteriovenous malformation confined to the terminal ileum. He has been followed up without a further hemorrhagic episode.

摘要
https://cdn.ncbi.nlm.nih.gov/pmc/blobs/ae07/2693832/1deb4538d3fa/jkms-22-746-g001.jpg

文献AI研究员

20分钟写一篇综述,助力文献阅读效率提升50倍。

立即体验

用中文搜PubMed

大模型驱动的PubMed中文搜索引擎

马上搜索

文档翻译

学术文献翻译模型,支持多种主流文档格式。

立即体验