Suppr超能文献

乳头状汗腺囊腺癌:一例报告。

Syringocystadenocarcinoma papilliferum: a case report.

作者信息

Park So Hyun, Shin Young Min, Shin Dong Hoon, Choi Jong Soo, Kim Ki Hong

机构信息

Department of Dermatology, College of Medicine, Yeungnam University, Daegu, Korea.

出版信息

J Korean Med Sci. 2007 Aug;22(4):762-5. doi: 10.3346/jkms.2007.22.4.762.

Abstract

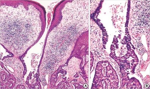
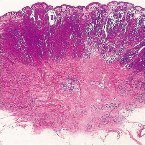
Syringocystadenocarcinoma papilliferum (SCACP) is a rare form of adenocarcinoma of the skin. This is the malignant counterpart of syringocystadenoma papilliferum (SCAP) and usually develops on the scalp in a long-standing lesion identified clinically as SCAP. We describe a 65-yr-old Korean man with a nodule on the right supra-pubic area with a 2-yr duration. Histologically this tumor had a similar overall configuration as in SCAP, but the tumor was asymmetric and poorly circumscribed, extending into the deep dermis and showed cytologic atypia. The tumor cells showed positive reaction to GCDFP-15, but negative reaction to CEA and HMFG-1. We established the diagnosis of SCACP in the patient, and a wide excision was performed to remove the tumor. The patient has been well without relapse or metastasis for 2 yr.

摘要

乳头状汗管囊腺癌(SCACP)是一种罕见的皮肤腺癌。它是乳头状汗管囊腺瘤(SCAP)的恶性对应物,通常发生于头皮上临床上诊断为SCAP的长期病变处。我们报告一名65岁的韩国男性,其右侧耻骨上区有一个持续2年的结节。组织学上,该肿瘤的总体结构与SCAP相似,但肿瘤不对称且边界不清,延伸至真皮深层并显示细胞异型性。肿瘤细胞对GCDFP - 15呈阳性反应,但对CEA和HMFG - 1呈阴性反应。我们确诊该患者为SCACP,并进行了广泛切除以切除肿瘤。该患者2年来情况良好,无复发或转移。

https://cdn.ncbi.nlm.nih.gov/pmc/blobs/39b9/2693836/8f3fe5e617ff/jkms-22-762-g001.jpg

文献AI研究员

20分钟写一篇综述,助力文献阅读效率提升50倍。

立即体验

用中文搜PubMed

大模型驱动的PubMed中文搜索引擎

马上搜索

文档翻译

学术文献翻译模型,支持多种主流文档格式。

立即体验