Su Yunpeng, Vanderlaag Kathryn, Ireland Courtney, Ortiz Janelle, Grage Henry, Safe Stephen, Frankel Arthur E
Scott & White Cancer Research Institute, South Airport Road, Temple, Texas 76502, USA.
Breast Cancer Res. 2007;9(4):R56. doi: 10.1186/bcr1761.
1,1-Bis (3'-indolyl)-1-(p-biphenyl) methane (CDIM9) has been identified as a new peroxisome proliferator-activated receptor (PPAR)-gamma agonist that exhibits both receptor dependent and independent antitumor activities. CDIM9 has not previously been studied with respect to its effects against basal-like breast cancer. Our goal in the present study was to investigate the anti-basal-like breast tumor activity of CDIM9 in vitro and in vivo.
The effects of CDIM9 on cell protein and DNA syntheses were determined in basal-like breast cancer MDA-MB231 and BT549 cells in vitro. Maximum tolerated dose and dose-limited toxicity were determined in BalB/c mice, and antitumor growth activities were assessed in MDA-MB231 basal-like breast tumor xenografts in athymic nude mice.
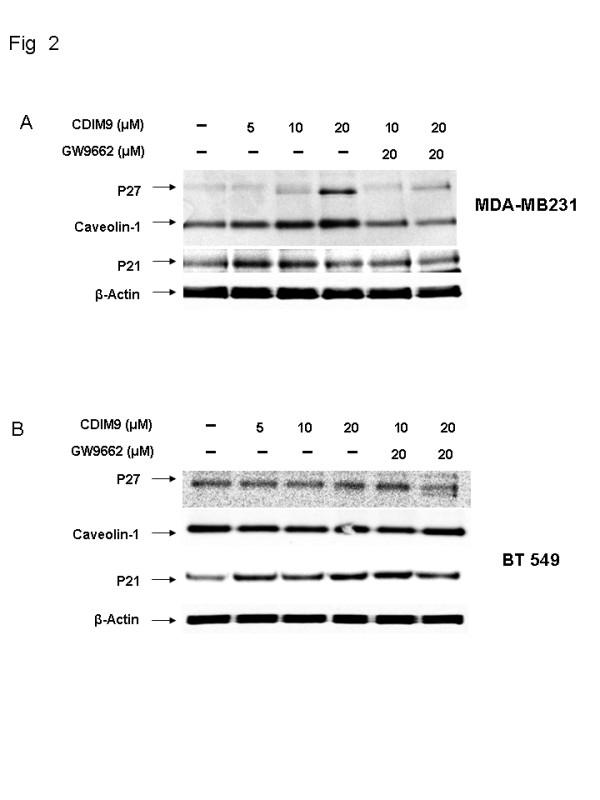
CDIM9 exhibited selective cell cytotoxicity and anti-proliferation effects on basal-like breast cancer lines. In MDA-MB231 cell, CDIM9 induced caveolin-1 and p27 expression, which was significantly downregulated by co-treatment with the PPAR-gamma antagonist GW9662. Nonsteroidal anti-inflammatory drug-activated gene-1 and activating transcription factor-3 were upregulated by CDIM9 through a PPAR-gamma independent pathway. CDIM9 (40 mg/kg daily, intraperitoneally, for 35 days) inhibited the growth of subcutaneous MDA-MB231 tumor xenografts by 87%, and produced a corresponding decrease in proliferation index. Nearly half of the treated mice (46%) had complete durable remissions, confirmed by histology. The growth of an established tumor was inhibited by CDIM9 treatment (64 mg/kg daily, intraperitoneally, for 10 days), with a mean tumor growth inhibition of 67% as compared with controls. CDIM9 induced increases in tumor caveolin-1 and p27 in vivo, which may contribute to its antitumor activity in basal-like breast cancer.
CDIM9 showed potent antiproliferative effects on basal-like breast cancer cell in tissue culture and dramatic growth inhibition in animal models at safe doses. These findings justify further development of this drug for treatment of basal-like breast cancer.
1,1 - 双(3'-吲哚基)-1 - (对 - 联苯)甲烷(CDIM9)已被鉴定为一种新型过氧化物酶体增殖物激活受体(PPAR)-γ激动剂,具有受体依赖性和非依赖性抗肿瘤活性。此前尚未对CDIM9针对基底样乳腺癌的作用进行研究。我们在本研究中的目标是在体外和体内研究CDIM9对基底样乳腺肿瘤的活性。
在体外测定CDIM9对基底样乳腺癌MDA - MB231和BT549细胞中细胞蛋白质和DNA合成的影响。在BalB/c小鼠中确定最大耐受剂量和剂量限制性毒性,并在无胸腺裸鼠的MDA - MB231基底样乳腺肿瘤异种移植模型中评估抗肿瘤生长活性。
CDIM9对基底样乳腺癌细胞系表现出选择性细胞毒性和抗增殖作用。在MDA - MB231细胞中,CDIM9诱导小窝蛋白 - 1和p27表达,与PPAR - γ拮抗剂GW9662共同处理可使其显著下调。非甾体抗炎药激活基因 - 1和激活转录因子 - 3通过PPAR - γ非依赖性途径被CDIM9上调。CDIM9(每天40mg/kg,腹腔注射,共35天)抑制皮下MDA - MB231肿瘤异种移植瘤的生长达87%,并使增殖指数相应降低。经组织学证实,近一半(46%)的受试小鼠实现了完全持久缓解。对已形成的肿瘤,CDIM9处理(每天64mg/kg,腹腔注射,共10天)可抑制其生长,与对照组相比,平均肿瘤生长抑制率为67%。CDIM9在体内诱导肿瘤小窝蛋白 - 1和p27增加,这可能有助于其对基底样乳腺癌的抗肿瘤活性。
CDIM9在组织培养中对基底样乳腺癌细胞显示出强大的抗增殖作用,在动物模型中以安全剂量显著抑制肿瘤生长。这些发现证明进一步开发该药物用于治疗基底样乳腺癌是合理的。