Suppr超能文献

由FGF-1内部核糖体进入位点驱动的双顺反子载体在小鼠肌肉中的长期表达。

Long term expression of bicistronic vector driven by the FGF-1 IRES in mouse muscle.

作者信息

Allera-Moreau Camille, Delluc-Clavières Aurélie, Castano Caroline, Van den Berghe Loïc, Golzio Muriel, Moreau Marc, Teissié Justin, Arnal Jean-François, Prats Anne-Catherine

机构信息

Institut national de la santé et de la recherche médicale (INSERM), U858, Toulouse, France.

出版信息

BMC Biotechnol. 2007 Oct 28;7:74. doi: 10.1186/1472-6750-7-74.

Abstract

BACKGROUND

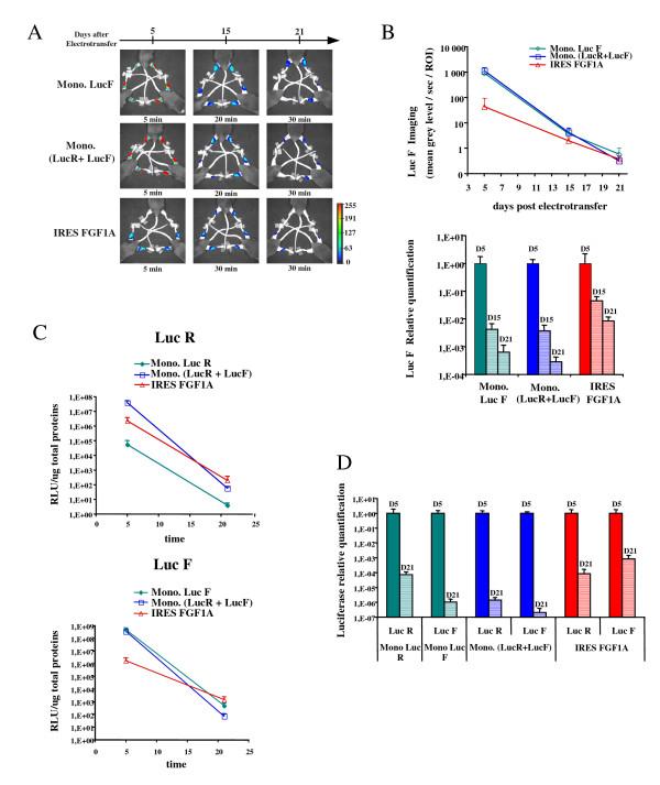
Electrotransfer of plasmid DNA into skeletal muscle is a promising strategy for the delivery of therapeutic molecules targeting various muscular diseases, cancer and lower-limb ischemia. Internal Ribosome Entry Sites (IRESs) allow co-expression of proteins of interest from a single transcriptional unit. IRESs are RNA elements that have been found in viral RNAs as well as a variety of cellular mRNAs with long 5' untranslated regions. While the encephalomyocarditis virus (EMCV) IRES is often used in expression vectors, we have shown that the FGF-1 IRES is equally active to drive short term transgene expression in mouse muscle. To compare the ability of the FGF-1 IRES to drive long term expression against the EMCV and FGF-2 IRESs, we performed analyses of expression kinetics using bicistronic vectors that express the bioluminescent renilla and firefly luciferase reporter genes. Long term expression of bicistronic vectors was also compared to that of monocistronic vectors. Bioluminescence was quantified ex vivo using a luminometer and in vivo using a CCD camera that monitors luminescence within live animals.

RESULTS

Our data demonstrate that the efficiency of the FGF-1 IRES is comparable to that of the EMCV IRES for long term expression of bicistronic transgenes in mouse muscle, whereas the FGF-2 IRES has a very poor activity. Interestingly, we show that despite the global decrease of vector expression over time, the ratio of firefly to renilla luciferase remains stable with bicistronic vectors containing the FGF-1 or FGF-2 IRES and is slightly affected with the EMCV IRES, whereas it is clearly unstable for mixed monocistronic vectors. In addition, long term expression more drastically decreases with monocistronic vectors, and is different for single or mixed vector injection.

CONCLUSION

These data validate the use of bicistronic vectors rather than mixed monocistronic vectors for long term expression, and support the use of the FGF-1 IRES. The use of a cellular IRES over one of viral origin is of particular interest in the goal of eliminating viral sequences from transgenic vectors. In addition, the FGF-1 IRES, compared to the EMCV IRES, has a more stable activity, is shorter in length and more flexible in terms of downstream cloning of second cistrons. Finally, the FGF-1 IRES is very attractive to develop multicistronic expression cassettes for gene transfer in mouse muscle.

摘要

背景

将质粒DNA电转移至骨骼肌是一种很有前景的策略,可用于递送针对各种肌肉疾病、癌症和下肢缺血的治疗性分子。内部核糖体进入位点(IRES)可使单个转录单元共表达感兴趣的蛋白质。IRES是在病毒RNA以及多种具有长5'非翻译区的细胞mRNA中发现的RNA元件。虽然脑心肌炎病毒(EMCV)IRES常用于表达载体,但我们已表明FGF-1 IRES在驱动小鼠肌肉中的短期转基因表达方面同样有效。为了比较FGF-1 IRES与EMCV和FGF-2 IRES驱动长期表达的能力,我们使用表达生物发光海肾荧光素酶和萤火虫荧光素酶报告基因的双顺反子载体进行了表达动力学分析。还将双顺反子载体的长期表达与单顺反子载体的长期表达进行了比较。使用光度计在体外对生物发光进行定量,并使用监测活体动物体内发光的CCD相机在体内进行定量。

结果

我们的数据表明,在小鼠肌肉中双顺反子转基因的长期表达方面,FGF-1 IRES的效率与EMCV IRES相当,而FGF-2 IRES的活性非常低。有趣的是,我们表明,尽管随着时间的推移载体表达整体下降,但对于含有FGF-1或FGF-2 IRES的双顺反子载体,萤火虫荧光素酶与海肾荧光素酶的比率保持稳定,而EMCV IRES会对其产生轻微影响,而对于混合单顺反子载体,该比率明显不稳定。此外,单顺反子载体的长期表达下降更为显著,并且单次或混合载体注射的情况有所不同。

结论

这些数据验证了使用双顺反子载体而非混合单顺反子载体进行长期表达,并支持使用FGF-1 IRES。在从转基因载体中消除病毒序列的目标中,使用细胞IRES而非病毒来源的IRES特别有意义。此外,与EMCV IRES相比,FGF-1 IRES具有更稳定的活性、更短的长度以及在第二个顺反子下游克隆方面更灵活。最后,FGF-1 IRES对于开发用于小鼠肌肉基因转移的多顺反子表达盒非常有吸引力。

https://cdn.ncbi.nlm.nih.gov/pmc/blobs/d39a/2180170/982bbd3733b6/1472-6750-7-74-1.jpg

文献AI研究员

20分钟写一篇综述,助力文献阅读效率提升50倍。

立即体验

用中文搜PubMed

大模型驱动的PubMed中文搜索引擎

马上搜索

文档翻译

学术文献翻译模型,支持多种主流文档格式。

立即体验