Suppr超能文献

Conjunctival Inclusion Cysts in Long-standing Chronic Vernal Keratoconjunctivitis.

作者信息

Lee Seung-Won, Lee Seung-Chan, Jin Kyung-Hyun

机构信息

Department of Ophthalmology, Kyung Hee University College of Medicine, Seoul, Korea.

出版信息

Korean J Ophthalmol. 2007 Dec;21(4):251-4. doi: 10.3341/kjo.2007.21.4.251.

Abstract

PURPOSE

To report a case of conjunctival inclusion cysts on the corneal limbus of a patient with chronic vernal keratoconjunctivitis during 16 months' follow up.

METHODS

The patient was a 26 year old male without any specific history of surgery or trauma. Giant papillae, shield ulcers, and Horner-Trantas dots were detected. During the 16 month follow-up, Sodium cromoglycate eye drops and Prednisolone acetate 1% eye drops were given 3 times a day. During this period, conjunctival cysts were detected on the corneal limbus in both eyes. In spite of improvement of the corneal and conjunctival conditions, the conjunctival cysts did not seem to show any specific changes. For relief of foreign body sensation, excision of the conjunctival cysts and giant papillae of the left eye and histopathologic examination of the specimen was performed.

RESULTS

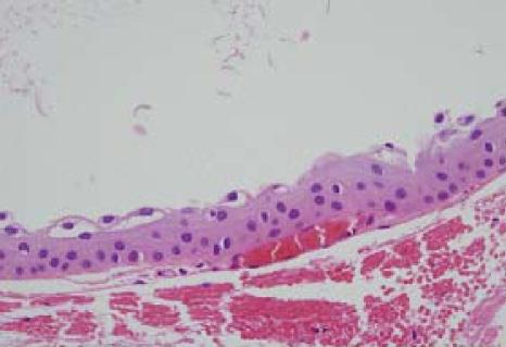
On histopathological examination, the conjunctival cysts consisted of nonkeratinizing stratified epithelial cells filled with PAS-positive mucous substance. Inflammatory cells were not found in the vicinity.

CONCLUSIONS

Conjunctival inclusion cysts can be seen as an atypical finding of long-standing vernal keratoconjunctivitis. Mechanical friction between the giant papillae and conjunctiva may be a factor in inducing the formation of the conjunctival cysts.

摘要
https://cdn.ncbi.nlm.nih.gov/pmc/blobs/265f/2629892/c1f08aaa29e1/kjo-21-251-g001.jpg

相似文献

1
Conjunctival Inclusion Cysts in Long-standing Chronic Vernal Keratoconjunctivitis.
Korean J Ophthalmol. 2007 Dec;21(4):251-4. doi: 10.3341/kjo.2007.21.4.251.
3
Vernal keratoconjunctivitis: a severe allergic eye disease with remodeling changes.
Pediatr Allergy Immunol. 2014 Jun;25(4):314-22. doi: 10.1111/pai.12197. Epub 2014 Jan 20.
5
Unilateral vernal keratoconjunctivitis: a case report.
Eur J Ophthalmol. 2007 Nov-Dec;17(6):973-5. doi: 10.1177/112067210701700617.
6
Japanese guidelines for allergic conjunctival diseases 2020.
Allergol Int. 2020 Jul;69(3):346-355. doi: 10.1016/j.alit.2020.03.005. Epub 2020 Apr 25.
7
The relation of conjunctival and corneal findings in severe ocular allergies.
Cornea. 2004 Jul;23(5):464-7. doi: 10.1097/01.ico.0000114836.13127.45.
8
Role of structural cells of the cornea and conjunctiva in the pathogenesis of vernal keratoconjunctivitis.
Prog Retin Eye Res. 2006 Mar;25(2):165-87. doi: 10.1016/j.preteyeres.2005.09.002. Epub 2006 Jan 19.
9
Vernal shield ulcers treated with frequently installed topical cyclosporine 0.05% eyedrops.
Int Ophthalmol. 2018 Feb;38(1):363-368. doi: 10.1007/s10792-016-0424-z. Epub 2017 Jan 24.

引用本文的文献

1
Neodymium-doped yttrium aluminum garnet laser for minimally invasive management of limbal cysts in allergic conjunctivitis.
Oman J Ophthalmol. 2025 Jun 24;18(2):232-234. doi: 10.4103/ojo.ojo_93_24. eCollection 2025 May-Aug.
2
Long-term results of surgical excision of conjunctival retention cyst using trypan blue with methylcellulose.
Am J Ophthalmol Case Rep. 2019 Feb 6;14:28-31. doi: 10.1016/j.ajoc.2019.01.010. eCollection 2019 Jun.
3
Clinical study of histologically proven conjunctival cysts.
Saudi J Ophthalmol. 2015 Apr-Jun;29(2):109-15. doi: 10.1016/j.sjopt.2014.06.009. Epub 2014 Jul 2.
4
Novel sutureless transplantation for primary pterygium associated with cysts.
Int J Ophthalmol. 2011;4(3):280-3. doi: 10.3980/j.issn.2222-3959.2011.03.14. Epub 2011 Jun 18.

本文引用的文献

1
Trachoma and allied infections.
Trans Ophthalmol Soc U K (1962). 1961;81:2115-28.
2
Conjunctival inclusion cyst following pars plana vitrectomy.
Arch Ophthalmol. 2003 Jul;121(7):1067. doi: 10.1001/archopht.121.7.1067.
3
Spectrum of ocular allergy.
Curr Opin Allergy Clin Immunol. 2002 Oct;2(5):423-7. doi: 10.1097/00130832-200210000-00010.
5
Conjunctival epithelial inclusion cyst arising from a pterygium.
Br J Ophthalmol. 1996 Aug;80(8):769-70. doi: 10.1136/bjo.80.8.769-a.
6
Eosinophil granule major basic protein deposition in corneal ulcers associated with vernal keratoconjunctivitis.
Am J Ophthalmol. 1993 May 15;115(5):640-3. doi: 10.1016/s0002-9394(14)71463-1.
7
Postsurgical conjunctival epithelial cysts.
AJNR Am J Neuroradiol. 1994 Jun;15(6):1181-3.
8
Epithelial inclusion cyst of the iris.
Arch Ophthalmol. 1995 Jun;113(6):777-80. doi: 10.1001/archopht.1995.01100060103042.
9
Eosinophil granule major basic protein and Charcot-Leyden crystal protein in human tears.
Am J Ophthalmol. 1981 Dec;92(6):824-8. doi: 10.1016/s0002-9394(14)75637-5.
10
Corneal astigmatism from conjunctival cysts.
Am J Ophthalmol. 1982 Jan;93(1):118-9. doi: 10.1016/0002-9394(82)90710-3.

文献AI研究员

20分钟写一篇综述,助力文献阅读效率提升50倍。

立即体验

用中文搜PubMed

大模型驱动的PubMed中文搜索引擎

马上搜索

文档翻译

学术文献翻译模型,支持多种主流文档格式。

立即体验