Suppr超能文献

产前化学抑制骨吸收后奶牛的实验性分娩期低钙血症

Experimental parturient hypocalcemia in cows following prepartal chemical inhibition of bone resportion.

作者信息

Yarrington J T, Capen C C, Black H E, Re R, Potts J T, Geho W B

出版信息

Am J Pathol. 1976 Jun;83(3):569-88.

Abstract

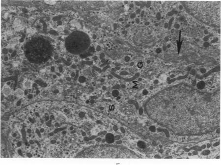
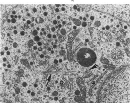
Cows fed a balanced diet with the required amounts of calcium and phosphorus developed acute hypocalcemia and hypophosphatemia shortly after parturition, even in the presence of the a responsive parathyroid gland, when bone resorption was selectively inhibited by the prepartal administration of disodium ethane-1-hydroxy-1, 1-diphosphonate (EHDP). When serum total and ionized calcium levels declined below 6.0 and 1.0 mg/100 ml, respectively, cows developed clinical signs similar to naturally occurring parturient paresis. The plasma immunoreactive parathroid hormone levels were similar prepartum, at parturition, and 1 day postpartum in cows administered EHDP as in control cows. Parathyroid chief cells were predominately in the actively synthesizing phase of the secretory cycle with a prominent Golgi apparatus and lamellar arrays of rough endoplasmic reticulum. Many chief cells were degranulated of mature secretory gransules. Calcitonin activity in thyroid extracts, determined by bioassay, and the numbers of secretory granules in thyroid C-cells were similar in both groups of cows. EDTA infusion after 60 days of the experiment demonstrated that the immediately available calcium reserves were reduced in EHDP-treated cows. The serum calcium remained significantly lower and did not return to preinfusion levels by 24 hours. Serum calcium in control cows returned to within the normal range by 6 hours after EDTA infusion. The urinary excretion of hydroxyproline was consistently reduced prepartum and following EDTA infusion in cows receiving EHDP. The experimental induction of parturient of parturient hypocalcemia by the prepartal administration of EHDP provides a valuable model for studies to investigate the mechanisms in bone responsible for the development of severe hypocalcemia that occurs in response to the increased calcium demand imposed by parturition and the initiation of lactation.

摘要

给母牛喂食含有所需钙和磷量的均衡日粮,即使甲状旁腺有反应,在分娩前给予乙烷-1-羟基-1,1-二膦酸二钠(EHDP)选择性抑制骨吸收后,母牛在分娩后不久仍会出现急性低钙血症和低磷血症。当血清总钙和离子钙水平分别降至6.0毫克/100毫升和1.0毫克/100毫升以下时,母牛会出现与自然发生的产后轻瘫相似的临床症状。给予EHDP的母牛在产前、分娩时和产后1天的血浆免疫反应性甲状旁腺激素水平与对照母牛相似。甲状旁腺主细胞主要处于分泌周期的活跃合成阶段,有突出的高尔基体和粗面内质网的板层排列。许多主细胞的成熟分泌颗粒脱粒。通过生物测定法测定的甲状腺提取物中的降钙素活性以及两组母牛甲状腺C细胞中的分泌颗粒数量相似。实验60天后输注EDTA表明,EHDP处理的母牛中即时可用的钙储备减少。血清钙仍显著较低,24小时内未恢复到输注前水平。对照母牛在输注EDTA后6小时血清钙恢复到正常范围内。在接受EHDP的母牛中,产前和输注EDTA后羟脯氨酸的尿排泄量持续减少。产前给予EHDP实验性诱导产后低钙血症,为研究骨中负责因分娩和泌乳开始时钙需求增加而发生严重低钙血症的机制提供了一个有价值的模型。

https://cdn.ncbi.nlm.nih.gov/pmc/blobs/6fd2/2032513/a10bf3924668/amjpathol00451-0165-a.jpg

文献检索

告别复杂PubMed语法,用中文像聊天一样搜索,搜遍4000万医学文献。AI智能推荐,让科研检索更轻松。

立即免费搜索

文件翻译

保留排版,准确专业,支持PDF/Word/PPT等文件格式,支持 12+语言互译。

免费翻译文档

深度研究

AI帮你快速写综述,25分钟生成高质量综述,智能提取关键信息,辅助科研写作。

立即免费体验