Suppr超能文献

马淋巴结中淋巴小结与淋巴窦的关系:一项研究

Relationships between lymphoid nodules and lymph sinuses in lymph nodes: a study in horses.

作者信息

Heath T J, Nikles S A

机构信息

Department of Anatomy, University of Queensland, Australia.

出版信息

J Anat. 1991 Oct;178:39-43.

Abstract

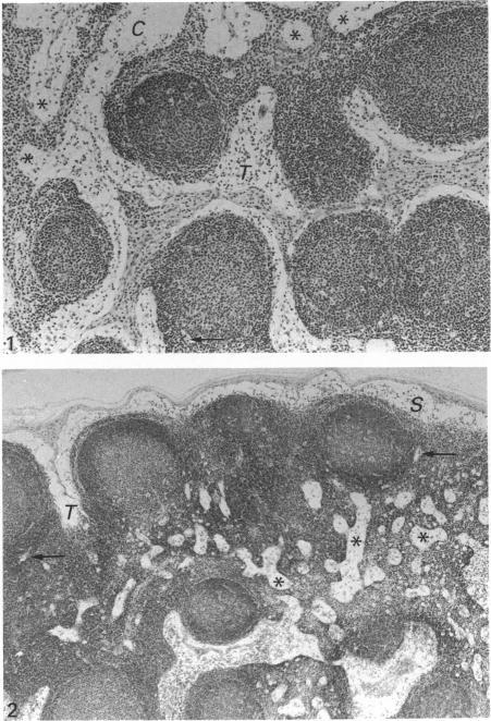
Secondary lymphoid nodules in lymph nodes of the horse are surrounded by a network of lymph sinuses, including the subcapsular sinus and its extensions around tabeculae, tubular and tubule-like sinuses deeper in the cortex, and sinuses between cord-like projections of cortical tissue. The precise role of this close association between sinuses and nodules in the transport of immune complexes, cells and cytokines is not known.

摘要

马淋巴结中的次级淋巴小结被淋巴窦网络所包围,这些淋巴窦包括被膜下窦及其围绕小梁的延伸部分、皮质深层的管状和管状样窦,以及皮质组织条索状突起之间的窦。窦与小结之间这种紧密联系在免疫复合物、细胞和细胞因子运输中的精确作用尚不清楚。

https://cdn.ncbi.nlm.nih.gov/pmc/blobs/232f/1260533/18eff9306f6d/janat00154-0049-a.jpg

文献AI研究员

20分钟写一篇综述,助力文献阅读效率提升50倍。

立即体验

用中文搜PubMed

大模型驱动的PubMed中文搜索引擎

马上搜索

文档翻译

学术文献翻译模型,支持多种主流文档格式。

立即体验