• 文献检索
  • 文档翻译
  • 深度研究
  • 学术资讯
  • Suppr Zotero 插件Zotero 插件
  • 邀请有礼
  • 套餐&价格
  • 历史记录
应用&插件
Suppr Zotero 插件Zotero 插件浏览器插件Mac 客户端Windows 客户端微信小程序
定价
高级版会员购买积分包购买API积分包
服务
文献检索文档翻译深度研究API 文档MCP 服务
关于我们
关于 Suppr公司介绍联系我们用户协议隐私条款
关注我们

Suppr 超能文献

核心技术专利:CN118964589B侵权必究
粤ICP备2023148730 号-1Suppr @ 2026

文献检索

告别复杂PubMed语法,用中文像聊天一样搜索,搜遍4000万医学文献。AI智能推荐,让科研检索更轻松。

立即免费搜索

文件翻译

保留排版,准确专业,支持PDF/Word/PPT等文件格式,支持 12+语言互译。

免费翻译文档

深度研究

AI帮你快速写综述,25分钟生成高质量综述,智能提取关键信息,辅助科研写作。

立即免费体验

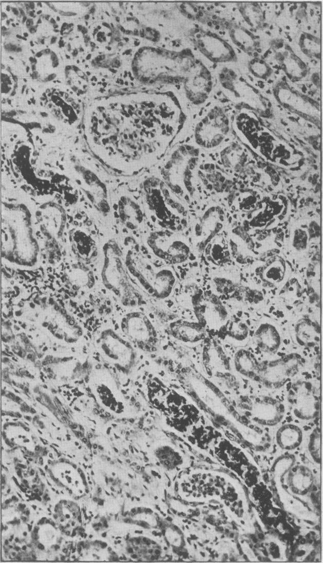
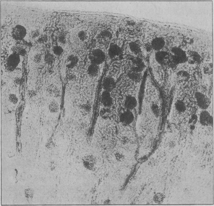
Discussion on the pathological features of cortical necrosis of the kidney and allied conditions associated with pregnancy.

作者信息

YOUNG J, SMITH J F

出版信息

Proc R Soc Med. 1949 Jun;42(6):375-87. doi: 10.1177/003591574904200601.

DOI:10.1177/003591574904200601
PMID:18153741
原文链接:https://pmc.ncbi.nlm.nih.gov/articles/PMC2081221/
Abstract
摘要
https://cdn.ncbi.nlm.nih.gov/pmc/blobs/b3a7/2081221/6c9447cada41/procrsmed00608-0011-a.jpg
https://cdn.ncbi.nlm.nih.gov/pmc/blobs/b3a7/2081221/24aa6120eb19/procrsmed00608-0006-a.jpg
https://cdn.ncbi.nlm.nih.gov/pmc/blobs/b3a7/2081221/ac03e4349fa5/procrsmed00608-0006-b.jpg
https://cdn.ncbi.nlm.nih.gov/pmc/blobs/b3a7/2081221/ed12fa4cc8a8/procrsmed00608-0006-c.jpg
https://cdn.ncbi.nlm.nih.gov/pmc/blobs/b3a7/2081221/3646641ecdc6/procrsmed00608-0006-d.jpg
https://cdn.ncbi.nlm.nih.gov/pmc/blobs/b3a7/2081221/2acd993dcaa4/procrsmed00608-0007-a.jpg
https://cdn.ncbi.nlm.nih.gov/pmc/blobs/b3a7/2081221/9e8df04ba1fc/procrsmed00608-0010-a.jpg
https://cdn.ncbi.nlm.nih.gov/pmc/blobs/b3a7/2081221/3e2f3e427f66/procrsmed00608-0010-b.jpg
https://cdn.ncbi.nlm.nih.gov/pmc/blobs/b3a7/2081221/6c9447cada41/procrsmed00608-0011-a.jpg
https://cdn.ncbi.nlm.nih.gov/pmc/blobs/b3a7/2081221/24aa6120eb19/procrsmed00608-0006-a.jpg
https://cdn.ncbi.nlm.nih.gov/pmc/blobs/b3a7/2081221/ac03e4349fa5/procrsmed00608-0006-b.jpg
https://cdn.ncbi.nlm.nih.gov/pmc/blobs/b3a7/2081221/ed12fa4cc8a8/procrsmed00608-0006-c.jpg
https://cdn.ncbi.nlm.nih.gov/pmc/blobs/b3a7/2081221/3646641ecdc6/procrsmed00608-0006-d.jpg
https://cdn.ncbi.nlm.nih.gov/pmc/blobs/b3a7/2081221/2acd993dcaa4/procrsmed00608-0007-a.jpg
https://cdn.ncbi.nlm.nih.gov/pmc/blobs/b3a7/2081221/9e8df04ba1fc/procrsmed00608-0010-a.jpg
https://cdn.ncbi.nlm.nih.gov/pmc/blobs/b3a7/2081221/3e2f3e427f66/procrsmed00608-0010-b.jpg
https://cdn.ncbi.nlm.nih.gov/pmc/blobs/b3a7/2081221/6c9447cada41/procrsmed00608-0011-a.jpg

相似文献

1
Discussion on the pathological features of cortical necrosis of the kidney and allied conditions associated with pregnancy.关于肾皮质坏死的病理特征及与妊娠相关的联合病症的讨论
Proc R Soc Med. 1949 Jun;42(6):375-87. doi: 10.1177/003591574904200601.
2
Bilateral cortical necrosis of the kidneys in pregnancy; preliminary case report.妊娠期双侧肾皮质坏死;初步病例报告。
Memphis Med J. 1946 Apr;21:56-8.
3
[Bilateral cortical necrosis of the kidneys in pregnancy].[妊娠期双侧肾皮质坏死]
Tip Fak Mecm. 1954;17(3):383-90.
4
[APROPOS OF A CASE OF PRE-ECLAMPSIA WITH PLACENTAL DETACHMENT COMPLICATED BY CORTICAL NECROSIS OF THE KIDNEYS].[关于一例伴有胎盘早剥并并发肾皮质坏死的子痫前期病例]
Bull Fed Soc Gynecol Obstet Lang Fr. 1964 Nov-Dec;16:561.
5
RENAL CORTICAL NECROSIS, DIABETES, AND PREGNANCY. REPORT OF A CASE.肾皮质坏死、糖尿病与妊娠。病例报告。
Obstet Gynecol. 1964 Feb;23:291-4.
6
[ON BILATERAL SYMMETRICAL CORTICAL NECROSIS OF THE KIDNEY].[论双侧对称性肾皮质坏死]
Arkh Patol. 1964;26:34-42.
7
[Bilateral cortical necrosis of the kidneys in infants and children].[婴幼儿及儿童双侧肾皮质坏死]
Arch Fr Pediatr. 1955;12(8):793-829.
8
[BILATERAL RENAL CORTICAL NECROSIS].[双侧肾皮质坏死]
Dtsch Med Wochenschr. 1963 Oct 25;88:2073-81. doi: 10.1055/s-0028-1112331.
9
Cortical necrosis of kidneys in an infant.婴儿肾皮质坏死
Br Med J. 1956 Jan 28;1(4960):204-5. doi: 10.1136/bmj.1.4960.204.
10
Two cases of gross renal cortical necrosis in pregnancy with severe oliguria and anuria for 116 and 79 days respectively; clinical course, roentgenological studies of the kidneys (size, outlines and calcifications), and post-mortem findings.两例妊娠合并严重肾皮质坏死病例,分别出现少尿和无尿116天及79天;临床病程、肾脏的X线检查(大小、轮廓及钙化情况)以及尸检结果。
Acta Med Scand. 1958 May 30;161(2):93-8. doi: 10.1111/j.0954-6820.1958.tb15524.x.