Suppr超能文献

丙型肝炎病毒核心相关、非肥胖、轻度肝脂肪变性动物模型中脂质代谢基因的表达模式改变

Altered expression patterns of lipid metabolism genes in an animal model of HCV core-related, nonobese, modest hepatic steatosis.

作者信息

Chang Ming-Ling, Yeh Chau-Ting, Chen Jeng-Chang, Huang Chau-Chun, Lin Shi-Ming, Sheen I-Shyan, Tai Dar-In, Chu Chia-Ming, Lin Wei-Pin, Chang Ming-Yu, Liang Chun-Kai, Chiu Cheng-Tang, Lin Deng-Yn

机构信息

Liver Research Center and Department of Hepatogastroenterology, Chang Gung Memorial Hospital, No 5, Fu Hsing Street, Kuei Shan, Taoyuan, Taiwan.

出版信息

BMC Genomics. 2008 Feb 29;9:109. doi: 10.1186/1471-2164-9-109.

Abstract

BACKGROUND

Because the gene expression patterns of nonobese hepatic steatosis in affected patients remain unclear, we sought to explore these patterns using an animal model of nonobese hepatic steatosis.

METHODS

We developed mice that conditionally express the hepatitis C virus (HCV) core protein regulated by the tetracycline transactivator (tTA). Microarray analyses and reverse-transcription polymerase chain reaction were performed using liver samples of both the double transgenic mice (DTM), which express both the HCV core and tTA, and single transgenic mice (STM), which express tTA alone, at 2 months of age. Functional categories of genes with altered expression were classified using gene ontology programs. Serum glucose, lipid levels, and systemic blood pressure were also measured.

RESULTS

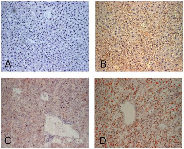
Approximately 20-30% of hepatocytes from the DTM were steatotic. No significant differences were observed in the serum glucose, lipid content, or blood pressure levels between the DTM and STM. Gene expression analyses revealed Sterol-regulatory element-binding protein (SREBP) pathway activation and dysregulation of the following genes involved in lipid metabolism: 3-hydroxy-3-methylglutaryl-coenzyme A synthase 1, Apolipoprotein AII, Apolipoprotein CI, acyl-CoA thioesterase I, and fatty acid binding protein 1; in mitochondrial function: solute carrier family 25 member 25 and cytochrome c oxidase subunit II; in immune reaction: complement component 3, lymphocyte antigen 6 complex, locus A, lymphocyte antigen 6 complex, locus C, lymphocyte antigen 6 complex, locus D, and lymphocyte antigen 6 complex, locus E.

CONCLUSION

Some genes of lipid metabolism, mitochondrial function, and immune reaction and the SREBP pathway are involved in HCV core-related, nonobese, modest hepatic steatosis.

摘要

背景

由于受影响患者中非肥胖性肝脂肪变性的基因表达模式仍不清楚,我们试图使用非肥胖性肝脂肪变性动物模型来探索这些模式。

方法

我们构建了有条件表达受四环素反式激活因子(tTA)调控的丙型肝炎病毒(HCV)核心蛋白的小鼠。在2月龄时,对同时表达HCV核心蛋白和tTA的双转基因小鼠(DTM)以及仅表达tTA的单转基因小鼠(STM)的肝脏样本进行微阵列分析和逆转录聚合酶链反应。使用基因本体程序对表达改变的基因的功能类别进行分类。还测量了血清葡萄糖、脂质水平和全身血压。

结果

DTM中约20%-30%的肝细胞发生脂肪变性。DTM和STM之间在血清葡萄糖、脂质含量或血压水平方面未观察到显著差异。基因表达分析显示固醇调节元件结合蛋白(SREBP)途径激活以及参与脂质代谢的以下基因失调:3-羟基-3-甲基戊二酰辅酶A合酶1、载脂蛋白AII、载脂蛋白CI、酰基辅酶A硫酯酶I和脂肪酸结合蛋白1;线粒体功能方面:溶质载体家族25成员25和细胞色素c氧化酶亚基II;免疫反应方面:补体成分3、淋巴细胞抗原6复合体A位点、淋巴细胞抗原6复合体C位点、淋巴细胞抗原6复合体D位点和淋巴细胞抗原6复合体E位点。

结论

脂质代谢、线粒体功能和免疫反应的一些基因以及SREBP途径参与了HCV核心蛋白相关的、非肥胖性、轻度肝脂肪变性。

https://cdn.ncbi.nlm.nih.gov/pmc/blobs/067d/2287171/b1a9e3c2c459/1471-2164-9-109-1.jpg

文献AI研究员

20分钟写一篇综述,助力文献阅读效率提升50倍。

立即体验

用中文搜PubMed

大模型驱动的PubMed中文搜索引擎

马上搜索

文档翻译

学术文献翻译模型,支持多种主流文档格式。

立即体验