Suppr超能文献

用于三维徒手超声成像的MMSE重建

MMSE reconstruction for 3D freehand ultrasound imaging.

作者信息

Huang Wei, Zheng Yibin

机构信息

Department of Electrical and Computer Engineering, University of Virginia, Charlottesville, VA 22904, USA.

出版信息

Int J Biomed Imaging. 2008;2008:274164. doi: 10.1155/2008/274164.

Abstract

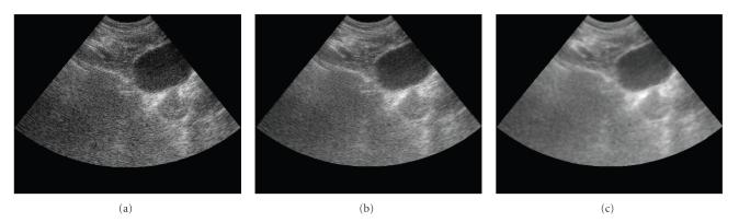
The reconstruction of 3D ultrasound (US) images from mechanically registered, but otherwise irregularly positioned, B-scan slices is of great interest in image guided therapy procedures. Conventional 3D ultrasound algorithms have low computational complexity, but the reconstructed volume suffers from severe speckle contamination. Furthermore, the current method cannot reconstruct uniform high-resolution data from several low-resolution B-scans. In this paper, the minimum mean-squared error (MMSE) method is applied to 3D ultrasound reconstruction. Data redundancies due to overlapping samples as well as correlation of the target and speckle are naturally accounted for in the MMSE reconstruction algorithm. Thus, the reconstruction process unifies the interpolation and spatial compounding. Simulation results for synthetic US images are presented to demonstrate the excellent reconstruction.

摘要

从机械配准但位置不规则的B扫描切片重建三维超声(US)图像在图像引导治疗程序中具有重要意义。传统的三维超声算法计算复杂度低,但重建的体积受到严重的斑点污染。此外,当前方法无法从多个低分辨率B扫描重建均匀的高分辨率数据。本文将最小均方误差(MMSE)方法应用于三维超声重建。MMSE重建算法自然地考虑了由于重叠样本以及目标与斑点的相关性而产生的数据冗余。因此,重建过程统一了插值和空间复合。给出了合成超声图像的模拟结果,以证明出色的重建效果。

https://cdn.ncbi.nlm.nih.gov/pmc/blobs/a195/2276701/6650f6c14e62/IJBI2008-274164.001.jpg

相似文献

1
MMSE reconstruction for 3D freehand ultrasound imaging.
Int J Biomed Imaging. 2008;2008:274164. doi: 10.1155/2008/274164.
2
Reconstruction of freehand 3D ultrasound based on kernel regression.
Biomed Eng Online. 2014 Aug 28;13:124. doi: 10.1186/1475-925X-13-124.
3
Adaptive tetrahedral interpolation for reconstruction of uneven freehand 3D ultrasound.
Phys Med Biol. 2023 Feb 20;68(5). doi: 10.1088/1361-6560/acb88c.
4
Volume reconstruction of freehand three-dimensional ultrasound using median filters.
Ultrasonics. 2008 Jul;48(3):182-92. doi: 10.1016/j.ultras.2007.11.005. Epub 2007 Dec 10.
5
An adaptive squared-distance-weighted interpolation for volume reconstruction in 3D freehand ultrasound.
Ultrasonics. 2006 Dec 22;44 Suppl 1:e73-7. doi: 10.1016/j.ultras.2006.06.040. Epub 2006 Jun 30.
6
Reconstruction of 3D ultrasound images based on Cyclic Regularized Savitzky-Golay filters.
Ultrasonics. 2011 Feb;51(2):136-47. doi: 10.1016/j.ultras.2010.07.003. Epub 2010 Jul 25.
7
Probe trajectory interpolation for 3D reconstruction of freehand ultrasound.
Med Image Anal. 2007 Dec;11(6):604-15. doi: 10.1016/j.media.2007.05.002. Epub 2007 Jun 2.
8
Comparison of different reconstruction algorithms for three-dimensional ultrasound imaging in a neurosurgical setting.
Int J Med Robot. 2012 Sep;8(3):348-59. doi: 10.1002/rcs.1420. Epub 2012 Feb 29.
9
A new adaptive interpolation algorithm for 3D ultrasound imaging with speckle reduction and edge preservation.
Comput Med Imaging Graph. 2009 Mar;33(2):100-10. doi: 10.1016/j.compmedimag.2008.10.006. Epub 2008 Dec 30.
10
GPU-accelerated Kernel Regression Reconstruction for Freehand 3D Ultrasound Imaging.
Ultrason Imaging. 2017 Jul;39(4):240-259. doi: 10.1177/0161734616689464. Epub 2017 Mar 1.

本文引用的文献

1
Optimum displacement for compound image generation in medical ultrasound.
IEEE Trans Ultrason Ferroelectr Freq Control. 1988;35(4):470-6. doi: 10.1109/58.4184.
2
Image restoration by the method of convex projections: part 2 applications and numerical results.
IEEE Trans Med Imaging. 1982;1(2):95-101. doi: 10.1109/TMI.1982.4307556.
3
Image restoration by the method of convex projections: part 1 theory.
IEEE Trans Med Imaging. 1982;1(2):81-94. doi: 10.1109/TMI.1982.4307555.
4
Progress in two-dimensional arrays for real-time volumetric imaging.
Ultrason Imaging. 1998 Jan;20(1):1-15. doi: 10.1177/016173469802000101.
5
Three-dimensional freehand ultrasound: image reconstruction and volume analysis.
Ultrasound Med Biol. 1997;23(8):1209-24. doi: 10.1016/s0301-5629(97)00123-3.
6
Three-dimensional imaging in ultrasound.
J Med Syst. 1982 Dec;6(6):579-89. doi: 10.1007/BF00995508.

文献AI研究员

20分钟写一篇综述,助力文献阅读效率提升50倍。

立即体验

用中文搜PubMed

大模型驱动的PubMed中文搜索引擎

马上搜索

文档翻译

学术文献翻译模型,支持多种主流文档格式。

立即体验