Bae Sooho, Do Young Soo, Shin Sung Wook, Park Kwang Bo, Kim Dong-Ik, Kim Young Wook, Cho Sung Ki, Choo Sung Wook, Choo In Wook
Department of Radiology and Center for Imaging Science, Samsung Medical Center, Sungkyunkwan University School of Medicine, Seoul, Korea.
Korean J Radiol. 2008 Mar-Apr;9(2):148-54. doi: 10.3348/kjr.2008.9.2.148.
We retrospectively assessed the results of performing ethanol embolization for pelvis arteriovenous malformations (AVMs).
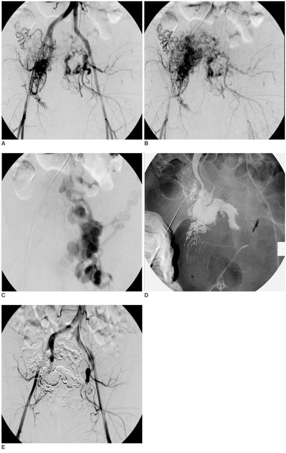
During the past 10 years, eight patients (8 females, age range: 27-52 years) with AVMs in the pelvic wall (n = 3) and uterus (n = 5) underwent staged ethanol embolizations (range: 1-5, mean: 2.5) under general anesthesia. Ethanol embolization was performed by the use of the transcatheter and/or direct puncture techniques. Clinical follow-up was performed for all of the patients, and imaging follow-up was available for seven patients. The therapeutic outcomes were established by evaluating the clinical outcome of the signs and symptoms, as well as the degree of devascularization observed on post-procedural angiography.
During the 20 sessions of ethanol embolization, the solitary transarterial approach was used 14 times, the transvenous approach was used three times and direct puncture was used once. For two patients, the transarterial and transvenous or direct puncture approaches were used together in one session. For four patients, ethanol and coils were used as embolic agents, and n-butyl cyanoacrylate (NBCA) and ethanol were used in one patient. Seven (88%) of eight patients were cured of their AVMs and one patient (12%) displayed improvement. Major complications were seen in two patients (25%).
Ethanol embolization is effective for the treatment of pelvic arteriovenous malformations, though there is a chance of a major complication.
我们回顾性评估了乙醇栓塞治疗盆腔动静脉畸形(AVM)的结果。
在过去10年中,8例盆腔壁(n = 3)和子宫(n = 5)患有AVM的患者(8名女性,年龄范围:27 - 52岁)在全身麻醉下接受了分期乙醇栓塞治疗(范围:1 - 5次,平均:2.5次)。乙醇栓塞通过经导管和/或直接穿刺技术进行。对所有患者进行了临床随访,7例患者有影像学随访资料。通过评估体征和症状的临床结果以及术后血管造影观察到的血管减少程度来确定治疗效果。
在20次乙醇栓塞治疗中,单纯经动脉途径使用14次,经静脉途径使用3次,直接穿刺使用1次。2例患者在一次治疗中同时使用了经动脉和经静脉或直接穿刺途径。4例患者使用乙醇和弹簧圈作为栓塞剂,1例患者使用正丁基氰基丙烯酸酯(NBCA)和乙醇。8例患者中有7例(88%)的AVM得到治愈,1例患者(12%)有所改善。2例患者(25%)出现了严重并发症。
乙醇栓塞治疗盆腔动静脉畸形有效,尽管有发生严重并发症的风险。