Suppr超能文献

心脏外植体来源细胞的谱系追踪

Lineage tracing of cardiac explant derived cells.

作者信息

Shenje Lincoln T, Field Loren J, Pritchard Catrin A, Guerin Christopher J, Rubart Michael, Soonpaa Mark H, Ang Keng-Leong, Galiñanes Manuel

机构信息

Cardiac Surgery Unit, Department of Cardiovascular Sciences, University of Leicester, Leicester, United Kingdom.

出版信息

PLoS One. 2008 Apr 16;3(4):e1929. doi: 10.1371/journal.pone.0001929.

Abstract

AIMS

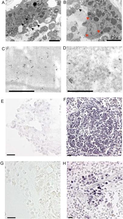
Cultured cardiac explants produce a heterogeneous population of cells including a distinctive population of refractile cells described here as small round cardiac explant derived cells (EDCs). The aim of this study was to explore the source, morphology and cardiogenic potential of EDCs.

METHODS

Transgenic MLC2v-Cre/ZEG, and actin-eGFP mice were used for lineage-tracing of EDCs in vitro and in vivo. C57B16 mice were used as cell transplant recipients of EDCs from transgenic hearts, as well as for the general characterisation of EDCs. The activation of cardiac-specific markers were analysed by: immunohistochemistry with bright field and immunofluorescent microscopy, electron microscopy, PCR and RT-PCR. Functional engraftment of transplanted cells was further investigated with calcium transient studies.

RESULTS

Production of EDCs was highly dependent on the retention of blood-derived cells or factors in the cultured explants. These cells shared some characteristics of cardiac myocytes in vitro and survived engraftment in the adult heart in vivo. However, EDCs failed to differentiate into functional cardiac myocytes in vivo as demonstrated by the absence of stimulation-evoked intracellular calcium transients following transplantation into the peri-infarct zone.

CONCLUSIONS

This study highlights that positive identification based upon one parameter alone such as morphology or immunofluorescene is not adequate to identify the source, fate and function of adult cardiac explant derived cells.

摘要

目的

培养的心脏外植体产生异质性细胞群,包括一群独特的折光性细胞,在此称为小圆形心脏外植体衍生细胞(EDCs)。本研究的目的是探索EDCs的来源、形态和心脏发生潜力。

方法

转基因MLC2v-Cre/ZEG和肌动蛋白-eGFP小鼠用于体外和体内EDCs的谱系追踪。C57B16小鼠用作转基因心脏来源的EDCs的细胞移植受体,以及用于EDCs的一般特性表征。通过以下方法分析心脏特异性标志物的激活:明场免疫组织化学和免疫荧光显微镜检查、电子显微镜检查、PCR和RT-PCR。通过钙瞬变研究进一步研究移植细胞的功能植入情况。

结果

EDCs的产生高度依赖于培养的外植体中血液来源的细胞或因子的保留。这些细胞在体外具有一些心肌细胞的特征,并在体内成年心脏中植入后存活。然而,如移植到梗死周边区后缺乏刺激诱发的细胞内钙瞬变所表明的,EDCs在体内未能分化为功能性心肌细胞。

结论

本研究强调,仅基于一个参数(如形态或免疫荧光)进行阳性鉴定不足以确定成年心脏外植体衍生细胞的来源、命运和功能。

https://cdn.ncbi.nlm.nih.gov/pmc/blobs/c794/2288675/118cac1a36b5/pone.0001929.g001.jpg

文献AI研究员

20分钟写一篇综述,助力文献阅读效率提升50倍。

立即体验

用中文搜PubMed

大模型驱动的PubMed中文搜索引擎

马上搜索

文档翻译

学术文献翻译模型,支持多种主流文档格式。

立即体验