Bennetto Luke, Powter Louise, Scolding Neil J
Department of Clinical Neurosciences, Frenchay Hospital, North Bristol NHS Trust, Frenchay, Bristol, UK.
J Med Case Rep. 2008 Apr 22;2:118. doi: 10.1186/1752-1947-2-118.
Carbon monoxide poisoning is easy to diagnose when there is a history of exposure. When the exposure history is absent, or delayed, the diagnosis is more difficult and relies on recognising the importance of multi-system disease. We present a case of accidental carbon monoxide poisoning.
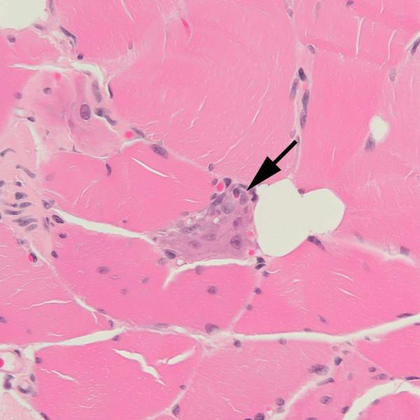
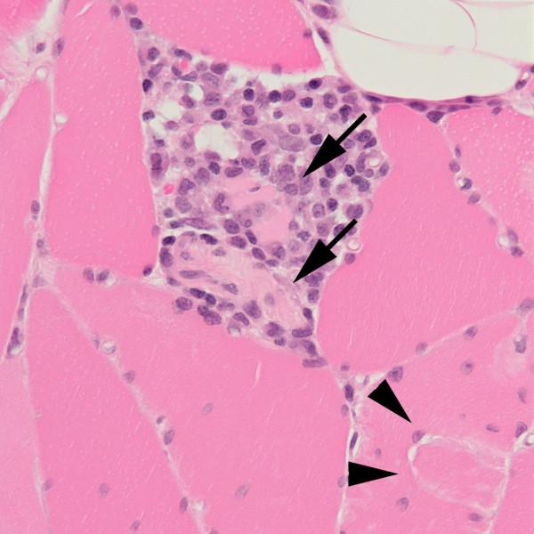
A middle-aged man, who lived alone in his mobile home was found by friends in a confused, incontinent state. Initial signs included respiratory failure, cardiac ischaemia, hypotension, encephalopathy and a rash, whilst subsequent features included rhabdomyolysis, renal failure, amnesia, dysarthria, parkinsonism, peripheral neuropathy, supranuclear gaze palsy and cerebral haemorrhage. Despite numerous investigations including magnetic resonance cerebral imaging, lumbar puncture, skin biopsy, muscle biopsy and electroencephalogram a diagnosis remained elusive. Several weeks after admission, diagnostic breakthrough was achieved when the gradual resolution of the patient's amnesia, encephalopathy and dysarthria allowed an accurate history to be taken for the first time. The patient's last recollection was turning on his gas heating for the first time since the spring. A gas heating engineer found the patient's gas boiler to be in a dangerous state of disrepair and it was immediately decommissioned.
This case highlights several important issues: the bewildering myriad of clinical features of carbon monoxide poisoning, the importance of making the diagnosis even at a late stage and preventing the patient's return to a potentially fatal toxic environment, and the paramount importance of the history in the diagnostic method.
有接触史时,一氧化碳中毒易于诊断。当缺乏接触史或接触史延迟时,诊断则更为困难,需依靠认识到多系统疾病的重要性。我们报告一例意外一氧化碳中毒病例。
一名独居在移动房屋中的中年男子被朋友发现时处于意识模糊、大小便失禁状态。初始症状包括呼吸衰竭、心肌缺血、低血压、脑病和皮疹,随后出现横纹肌溶解、肾衰竭、失忆、构音障碍、帕金森综合征、周围神经病变、核上性凝视麻痹和脑出血。尽管进行了多项检查,包括磁共振脑成像、腰椎穿刺、皮肤活检、肌肉活检和脑电图检查,但仍难以确诊。入院数周后,患者的失忆、脑病和构音障碍逐渐缓解,首次得以准确获取病史,诊断取得突破。患者最后的记忆是自春季以来首次打开燃气取暖器。一名燃气取暖工程师发现患者的燃气锅炉处于危险的失修状态,该锅炉立即被停用。
本病例凸显了几个重要问题:一氧化碳中毒临床特征繁多令人困惑;即使在晚期进行诊断并防止患者返回潜在致命的有毒环境的重要性;以及病史在诊断方法中的至关重要性。