Wu Yimou, Qiu Hong, Zeng Yanhua, You Xiaoxing, Deng Zhongliang, Yu Minjun, Zhu Cuiming
Pathogenic Biology Institute, University of South China, 421001 Hengyang, China.
Mediators Inflamm. 2008;2008:195427. doi: 10.1155/2008/195427.
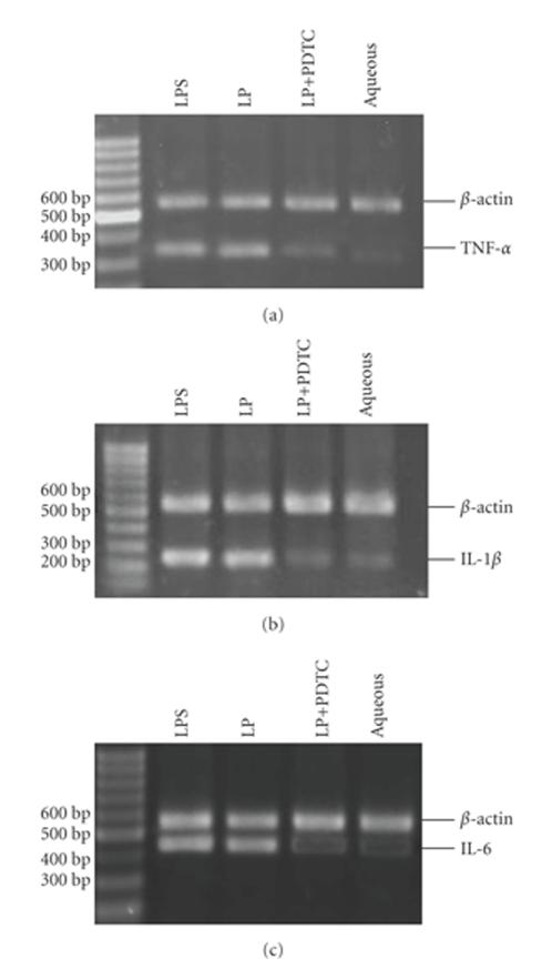
This study was designed to investigate the molecular mechanisms responsible for the induction of proinflammatory cytokines gene expression and apoptosis in human monocytic cell line THP-1 stimulated by lipoproteins (LPs) prepared from Mycoplasma genitalium. Cultured cells were stimulated with M. genitalium LP to analyze the production of proinflammatory cytokines and expression of their mRNA by ELISA and RT-PCR, respectively. Cell apoptosis was also detected by Annexin V-FITC-propidium iodide (PI) staining and acridine orange (AO)-ethidium bromide (EB) staining. The DNA-binding activity of nuclear factor-kappaB (NF-kappaB) was assessed by electrophoretic mobility shift assay (EMSA). Results showed that LP stimulated THP-1 cells to produce tumor necrosis factor-alpha (TNF-alpha), interleukin-1beta (IL-1beta), and IL-6 in a dose-dependent manner. The mRNA levels were also upregulated in response to LP stimulation. LPs were also found to increase the DNA-binding activity of NF-kappaB, a possible mechanism for the induction of cytokine mRNA expression and the cell apoptosis. These effects were abrogated by PDTC, an inhibitor of NF-kappaB. Our results indicate that M. genitalium-derived LP may be an important etiological factor of certain diseases due to the ability of LP to produce proinflammatory cytokines and induction of apoptosis, which is probably mediated through the activation of NF-kappaB.
本研究旨在探讨由生殖支原体制备的脂蛋白(LPs)刺激人单核细胞系THP-1后,促炎细胞因子基因表达和细胞凋亡诱导的分子机制。分别用ELISA和RT-PCR分析培养细胞经生殖支原体LP刺激后促炎细胞因子的产生及其mRNA的表达。还用膜联蛋白V-异硫氰酸荧光素-碘化丙啶(PI)染色和吖啶橙(AO)-溴化乙锭(EB)染色检测细胞凋亡。通过电泳迁移率变动分析(EMSA)评估核因子-κB(NF-κB)的DNA结合活性。结果表明,LP以剂量依赖的方式刺激THP-1细胞产生肿瘤坏死因子-α(TNF-α)、白细胞介素-1β(IL-1β)和IL-6。LP刺激后,mRNA水平也上调。还发现LPs可增加NF-κB的DNA结合活性,这可能是细胞因子mRNA表达诱导和细胞凋亡的机制。这些作用被NF-κB抑制剂PDTC消除。我们的结果表明,生殖支原体来源的LP可能是某些疾病的重要病因,因为LP具有产生促炎细胞因子和诱导细胞凋亡的能力,这可能是通过NF-κB的激活介导的。