Wentworth B M, Donoghue M, Engert J C, Berglund E B, Rosenthal N
Boston University School of Medicine, Department of Biochemistry, MA 02118.
Proc Natl Acad Sci U S A. 1991 Feb 15;88(4):1242-6. doi: 10.1073/pnas.88.4.1242.
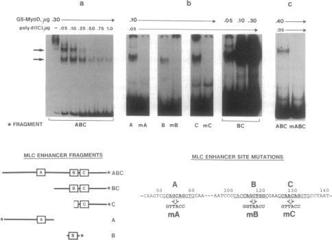
The muscle-specific enhancer element located downstream of the myosin light chain (MLC) locus encoding MLC1 and MLC3 contains three binding sites (A, B, and C) for the myogenic determination factor MyoD. A 173-base-pair region of the MLC gene enhancer, including these three sites, retains full enhancer function when transfected into muscle cells. Whereas mutation of either upstream MyoD binding site (A or B) has a mild effect on muscle-specific enhancer activity, mutation of the third MyoD binding site (C) substantially weakens the enhancer, both in muscle cells or in nonmuscle cells cotransfected with a MyoD, myogenin, or myf5 expression vector. Site C is necessary but insufficient, since double mutation of two MyoD binding sites (A plus B) abrogates enhancer activity. Thus, site C requires either site A or B for enhancer function. This study shows a hierarchy of function among the three MyoD binding sites in the MLC enhancer. We propose that a protein-DNA complex is formed with at least two of these sites (A and C or B and C) to effect activation of the locus encoding MLC1/3 during myogenesis.
位于编码肌球蛋白轻链1(MLC1)和肌球蛋白轻链3(MLC3)的肌球蛋白轻链(MLC)基因座下游的肌肉特异性增强子元件包含成肌决定因子MyoD的三个结合位点(A、B和C)。MLC基因增强子的一个173个碱基对的区域,包括这三个位点,当转染到肌肉细胞中时保留完整的增强子功能。虽然上游MyoD结合位点(A或B)的突变对肌肉特异性增强子活性有轻微影响,但第三个MyoD结合位点(C)的突变在肌肉细胞或与MyoD、肌细胞生成素或myf5表达载体共转染的非肌肉细胞中均会显著削弱增强子。位点C是必要的但不充分,因为两个MyoD结合位点(A加B)的双突变会消除增强子活性。因此,位点C的增强子功能需要位点A或B。本研究显示了MLC增强子中三个MyoD结合位点之间的功能层次结构。我们提出,在成肌过程中,至少其中两个位点(A和C或B和C)形成蛋白质-DNA复合物,以实现对编码MLC1/3的基因座的激活。