Loussouarn D, Campion L, Sagan C, Frenel J-S, Dravet F, Classe J-M, Pioud-Martigny R, Berton-Rigaud D, Bourbouloux E, Mosnier J-F, Bataille F-R, Campone M
Department of Pathology, University Hospital of Nantes, Nantes, France.
Br J Cancer. 2008 Jun 17;98(12):1993-8. doi: 10.1038/sj.bjc.6604400. Epub 2008 Jun 10.
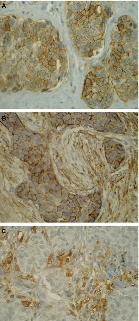
Carcinoma cells lack syndecan-1 expression when they are transiting from an epithelial to a less-differentiated mesenchymal phenotype (epithelial-mesenchymal transition, EMT). Furthermore, a shift of syndecan-1 expression from malignant epithelial cells to reactive stromal cells has also been observed during progression of many carcinomas. Finally, epithelial and/or stromal syndecan-1 expression is of prognostic value in many carcinomas. Because recent results are contradictory in breast carcinomas, we have re-evaluated the prognostic significance of syndecan-1 expression in a cohort of 80 patients with invasive ductal breast carcinomas. The tumours from 80 patients diagnosed with invasive ductal breast carcinomas were used to construct a tissue microarray, which was stained with syndecan-1 by immunohistochemistry. We correlated syndecan-1 expression with clinicopathologic parameters and relapse-free survival (RFS). Exclusive epithelial expression of syndecan-1 is observed in 61.25% of the patients, whereas exclusive stromal expression is observed in 30% of the patients. Only 8.75% of the patients had both stromal and epithelial expressions of syndecan-1. A significant correlation was found between the loss of syndecan-1 epithelial expression and the syndecan-1 stromal expression with high grade of malignancy (P=0.011). The loss of syndecan-1 epithelial expression is correlated with RFS (P=0.001). Using multivariate Cox analysis, loss of epithelial syndecan-1 expression was the only prognostic indicator (P<0.001). We concluded that the loss of syndecan-1 epithelial expression was of strong prognostic value in breast carcinomas.
当癌细胞从上皮表型转变为低分化间充质表型(上皮-间充质转化,EMT)时,缺乏syndecan-1表达。此外,在许多癌症进展过程中,还观察到syndecan-1表达从恶性上皮细胞向反应性基质细胞的转变。最后,上皮和/或基质syndecan-1表达在许多癌症中具有预后价值。由于最近关于乳腺癌的结果相互矛盾,我们重新评估了80例浸润性导管癌患者队列中syndecan-1表达的预后意义。来自80例诊断为浸润性导管癌患者的肿瘤用于构建组织芯片,通过免疫组织化学用syndecan-1染色。我们将syndecan-1表达与临床病理参数和无复发生存期(RFS)相关联。61.25%的患者观察到syndecan-1的上皮特异性表达,而30%的患者观察到基质特异性表达。只有8.75%的患者同时具有syndecan-1的基质和上皮表达。发现syndecan-1上皮表达缺失与syndecan-1基质表达以及高恶性程度之间存在显著相关性(P = 0.011)。syndecan-1上皮表达缺失与RFS相关(P = 0.001)。使用多变量Cox分析,上皮syndecan-1表达缺失是唯一的预后指标(P < 0.001)。我们得出结论,syndecan-1上皮表达缺失在乳腺癌中具有很强的预后价值。