Suppr超能文献

聚苯乙烯磺酸钠(Kayexalate)吸入。

Sodium polystyrene sulfonate (Kayexalate) aspiration.

机构信息

Department of Pathology, University of Maryland School of Medicine, 22 South Greene Street, Baltimore, Maryland, USA.

出版信息

Diagn Pathol. 2008 Jun 17;3:27. doi: 10.1186/1746-1596-3-27.

Abstract

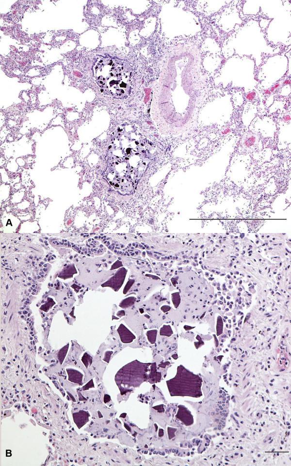
In this short report we illustrate a case of extensive sodium polystyrene sulfonate (SPS) aspiration as an immediate cause of death in a terminally ill patient. SPS is a cation exchange resin utilized to decrease potassium levels in patients with renal failure. When administered rectally in conjunction with sorbitol, colonic necrosis and perforation have been documented. On the other hand, oral administration can be complicated by aspiration, especially in very ill or debilitated patients. In our current report, histological examination of a patient who aspirated SPS shows multiple polygonal to amorphous basophilic crystalline particles deposited intraalveolarly. The purpose of our report is to familiarize pathologists with the histologic features of this rare iatrogenic complication of therapy for hyperkalemia.

摘要

在本短篇报告中,我们阐述了一例终末期病危患者因大量吸入聚苯乙烯磺酸纳(SPS)而死亡的案例。SPS 是一种阳离子交换树脂,用于降低肾衰竭患者的血钾水平。当与山梨醇一起直肠给药时,已证实会引起结肠坏死和穿孔。另一方面,口服给药可能会因吸入而变得复杂,尤其是在非常病重或虚弱的患者中。在我们目前的报告中,对吸入 SPS 的患者进行组织学检查显示,多个多角形至无定形嗜碱性结晶颗粒沉积在肺泡内。我们报告的目的是使病理学家熟悉这种治疗高钾血症的罕见医源性并发症的组织学特征。

https://cdn.ncbi.nlm.nih.gov/pmc/blobs/5917/2441607/b797cd14fa57/1746-1596-3-27-1.jpg

文献AI研究员

20分钟写一篇综述,助力文献阅读效率提升50倍。

立即体验

用中文搜PubMed

大模型驱动的PubMed中文搜索引擎

马上搜索

文档翻译

学术文献翻译模型,支持多种主流文档格式。

立即体验