Suppr超能文献

特应性可能是无症状气道高反应性患者上皮下纤维化的一个重要决定因素。

Atopy may be an important determinant of subepithelial fibrosis in subjects with asymptomatic airway hyperresponsiveness.

作者信息

Sohn Seong-Wook, Chang Yoon-Seok, Lee Hye-Seung, Chung Doo-Hyun, Lee Choon-Taek, Kim Young-Hwan, Kim Yoon-Keun, Min Kyung-Up, Kim You-Young, Cho Sang-Heon

机构信息

Department of Internal Medicine, Seoul National University College of Medicine, Seoul, Korea.

出版信息

J Korean Med Sci. 2008 Jun;23(3):390-6. doi: 10.3346/jkms.2008.23.3.390.

Abstract

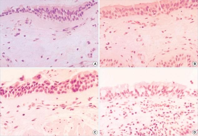
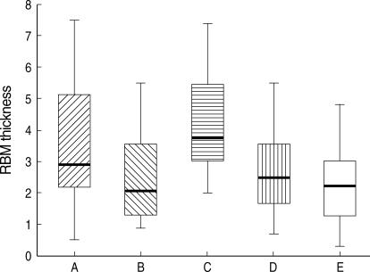
The bronchial pathology of asymptomatic airway hyperreponsiveness (AHR) subjects is not well understood, and the role of atopy in the development of airway remodeling is unclear. The aim of this study was to evaluate whether atopy is associated with airway remodeling in asymptomatic AHR subjects. Five groups, i.e., atopic or non-atopic subjects with asymptomatic AHR, atopic or non-atopic healthy controls, and subjects with mild atopic asthma, were evaluated by bronchoscopic biopsy. By electron microscopy, mean reticular basement membrane (RBM) thicknesses were 4.3+/-1.7 microm, 3.4+/-1.8 microm, 2.5+/-1.5 microm, 2.6+/-1.1 microm, and 2.3+/-1.2 microm in the mild atopic asthma, atopic and non-atopic asymptomatic AHR, atopic and nonatopic control groups, respectively (p=0.002). RBM thicknesses were significantly higher in the mild atopic asthma group and in the atopic asymptomatic AHR group than in the other three groups (p=0.048). No significant difference in RBM thickness was observed between the atopic asymptomatic AHR group and the mild atopic asthma group (p>0.05), nor between non-atopic asymptomatic AHR group and the two control groups (p>0.05). By light microscopy, subepithelial layer thicknesses between the groups showed the same results. These findings suggest that RBM thickening occurs in subjects with atopic asymptomatic AHR, and that atopy plays an important role in airway remodeling.

摘要

无症状气道高反应性(AHR)患者的支气管病理情况尚未完全明确,特应性在气道重塑发展过程中的作用也不清楚。本研究的目的是评估特应性是否与无症状AHR患者的气道重塑相关。通过支气管镜活检对五组患者进行了评估,即患有无症状AHR的特应性或非特应性患者、特应性或非特应性健康对照者以及轻度特应性哮喘患者。通过电子显微镜观察,轻度特应性哮喘组、特应性和非特应性无症状AHR组、特应性和非特应性对照组的平均网状基底膜(RBM)厚度分别为4.3±1.7微米、3.4±1.8微米、2.5±1.5微米、2.6±1.1微米和2.3±1.2微米(p = 0.002)。轻度特应性哮喘组和特应性无症状AHR组的RBM厚度显著高于其他三组(p = 0.048)。特应性无症状AHR组与轻度特应性哮喘组之间的RBM厚度无显著差异(p>0.05),非特应性无症状AHR组与两个对照组之间也无显著差异(p>0.05)。通过光学显微镜观察,各组之间的上皮下厚度显示出相同的结果。这些发现表明,特应性无症状AHR患者会出现RBM增厚,且特应性在气道重塑中起重要作用。

https://cdn.ncbi.nlm.nih.gov/pmc/blobs/9ed9/2526529/82aab63de7da/jkms-23-390-g001.jpg

文献AI研究员

20分钟写一篇综述,助力文献阅读效率提升50倍。

立即体验

用中文搜PubMed

大模型驱动的PubMed中文搜索引擎

马上搜索

文档翻译

学术文献翻译模型,支持多种主流文档格式。

立即体验