Suppr超能文献

复杂区域疼痛综合征患者截肢肢体皮肤组织中内皮型一氧化氮合酶和内皮素-1的表达

Expression of endothelial nitric oxide synthase and endothelin-1 in skin tissue from amputated limbs of patients with complex regional pain syndrome.

作者信息

Groeneweg J George, Antonissen Claudia Heijmans, Huygen Frank J P M, Zijlstra Freek J

机构信息

Pain Treatment Center, Department of Anesthesiology, Erasmus Medical Center, P.O. Box 2040, 3000 CA Rotterdam, The Netherlands.

出版信息

Mediators Inflamm. 2008;2008:680981. doi: 10.1155/2008/680981.

Abstract

BACKGROUND AND OBJECTIVES

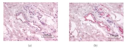
Impaired microcirculation during the chronic stage of complex regional pain syndrome (CRPS) is related to increased vasoconstriction, tissue hypoxia, and metabolic tissue acidosis in the affected limb. Endothelial dysfunction is suggested to be the main cause of diminished blood flow. The aim of this study was to examine the distribution of endothelial nitric oxide synthase (eNOS) and endothelin-1(ET-1) relative to vascular density represented by the endothelial marker CD31-immunoreactivity in the skin tissue of patients with chronic CRPS.

METHODS

We performed immunohistochemical staining on sections of skin specimens obtained from the amputated limbs (one arm and one leg) of two patients with CRPS.

RESULTS

In comparison to proximal specimens we found an increased number of migrated endothelial cells as well as an increase of eNOS activity in distal dermis specimens.

CONCLUSIONS

We found indications that endothelial dysfunction plays a role in chronic CRPS.

摘要

背景与目的

复杂区域疼痛综合征(CRPS)慢性期的微循环障碍与患侧肢体血管收缩增强、组织缺氧及组织代谢性酸中毒有关。内皮功能障碍被认为是血流减少的主要原因。本研究旨在检测慢性CRPS患者皮肤组织中内皮型一氧化氮合酶(eNOS)和内皮素-1(ET-1)的分布,并与以内皮标志物CD31免疫反应性表示的血管密度进行对比。

方法

我们对取自两名CRPS患者截肢肢体(一条手臂和一条腿)的皮肤标本切片进行了免疫组织化学染色。

结果

与近端标本相比,我们发现远端真皮标本中迁移的内皮细胞数量增加,eNOS活性增强。

结论

我们发现有迹象表明内皮功能障碍在慢性CRPS中起作用。

https://cdn.ncbi.nlm.nih.gov/pmc/blobs/76c3/2475604/4f78eeef2a81/MI2008-680981.001.jpg

文献AI研究员

20分钟写一篇综述,助力文献阅读效率提升50倍。

立即体验

用中文搜PubMed

大模型驱动的PubMed中文搜索引擎

马上搜索

文档翻译

学术文献翻译模型,支持多种主流文档格式。

立即体验