Suppr超能文献

胃癌和结肠癌细胞系间MDR1 mRNA差异表达所涉及的表观遗传机制及临床化疗的理论依据

Epigenetic mechanisms involved in differential MDR1 mRNA expression between gastric and colon cancer cell lines and rationales for clinical chemotherapy.

作者信息

Lee Tae-Bum, Park Jung-Hee, Min Young-Don, Kim Kyung-Jong, Choi Cheol-Hee

机构信息

Research Center for Resistant Cells, Chosun University, Gwangju 501-759, Korea.

出版信息

BMC Gastroenterol. 2008 Aug 1;8:33. doi: 10.1186/1471-230X-8-33.

Abstract

BACKGROUND

The membrane transporters such as P-glycoprotein (Pgp), the MDR1 gene product, are one of causes of treatment failure in cancer patients. In this study, the epigenetic mechanisms involved in differential MDR1 mRNA expression were compared between 10 gastric and 9 colon cancer cell lines.

METHODS

The MDR1 mRNA levels were determined using PCR and real-time PCR assays after reverse transcription. Cytotoxicity was performed using the MTT assay. Methylation status was explored by quantification PCR-based methylation and bisulfite DNA sequencing analyses.

RESULTS

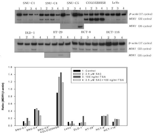
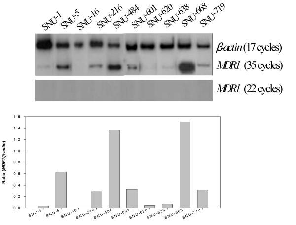
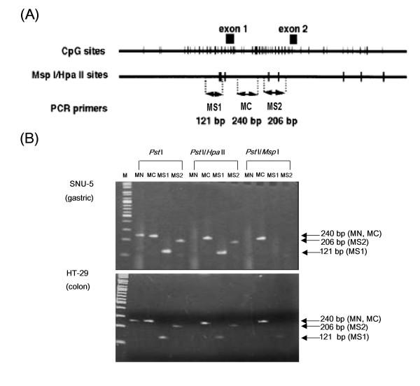
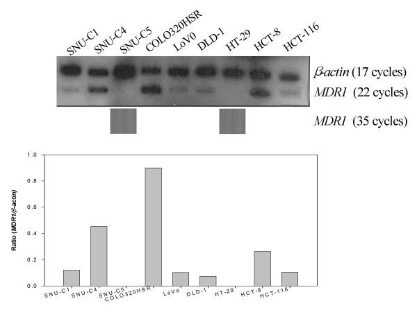
The MDR1 mRNA levels obtained by 35 cycles of RT-PCR in gastric cancer cells were just comparable to those obtained by 22 cycles of RT-PCR in colon cancer cells. Real-time RT-PCR analysis revealed that MDR1 mRNA was not detected in the 10 gastric cancer cell lines but variable MDR1 mRNA levels in 7 of 9 colon cancer cell lines except the SNU-C5 and HT-29 cells. MTT assay showed that Pgp inhibitors such as cyclosporine A, verapamil and PSC833 sensitized Colo320HSR (colon, highest MDR1 expression) but not SNU-668 (gastric, highest) and SNU-C5 (gastric, no expression) to paclitaxel. Quantification PCR-based methylation analysis revealed that 90% of gastric cancer cells, and 33% of colon cancer cells were methylated, which were completely matched with the results obtained by bisulfite DNA sequencing analysis. 5-aza-2'-deoxcytidine (5AC, a DNA methyltransferase inhibitor) increased the MDR1 mRNA levels in 60% of gastric cells, and in 11% of colon cancer cells. Trichostatin A (TSA, histone deacetylase inhibitor) increased the MDR1 mRNA levels in 70% of gastric cancer cells and 55% of colon cancer cells. The combined treatment of 5AC with TSA increased the MDR1 mRNA levels additively in 20% of gastric cancer cells, but synergistically in 40% of gastric and 11% of colon cancer cells.

CONCLUSION

These results indicate that the MDR1 mRNA levels in gastric cancer cells are significantly lower than those in colon cancer cells, which is at least in part due to different epigenetic regulations such as DNA methylation and/or histone deacetylation. These results can provide a better understanding of the efficacy of combined chemotherapy as well as their oral bioavailability.

摘要

背景

膜转运蛋白如P-糖蛋白(Pgp),即MDR1基因产物,是癌症患者治疗失败的原因之一。在本研究中,对10种胃癌细胞系和9种结肠癌细胞系中参与MDR1 mRNA差异表达的表观遗传机制进行了比较。

方法

逆转录后,使用PCR和实时PCR测定法测定MDR1 mRNA水平。采用MTT法进行细胞毒性实验。通过基于定量PCR的甲基化和亚硫酸氢盐DNA测序分析来探究甲基化状态。

结果

在胃癌细胞中通过35个循环的RT-PCR获得的MDR1 mRNA水平与在结肠癌细胞中通过22个循环的RT-PCR获得的水平相当。实时RT-PCR分析显示,在10种胃癌细胞系中未检测到MDR1 mRNA,但在9种结肠癌细胞系中的7种(除SNU-C5和HT-29细胞外)检测到了不同水平的MDR1 mRNA。MTT实验表明,环孢素A、维拉帕米和PSC833等Pgp抑制剂使Colo320HSR(结肠,MDR1表达最高)对紫杉醇敏感,但对SNU-668(胃癌,MDR1表达最高)和SNU-C5(胃癌,无表达)无效。基于定量PCR的甲基化分析显示,90%的胃癌细胞和33%的结肠癌细胞发生了甲基化,这与亚硫酸氢盐DNA测序分析的结果完全相符。5-氮杂-2'-脱氧胞苷(5AC,一种DNA甲基转移酶抑制剂)使60%的胃癌细胞和11%的结肠癌细胞中的MDR1 mRNA水平升高。曲古抑菌素A(TSA,一种组蛋白脱乙酰酶抑制剂)使70%的胃癌细胞和55%的结肠癌细胞中的MDR1 mRNA水平升高。5AC与TSA联合处理使20%的胃癌细胞中的MDR1 mRNA水平呈相加性升高,但使40%的胃癌细胞和11%的结肠癌细胞中的MDR1 mRNA水平呈协同性升高。

结论

这些结果表明,胃癌细胞中的MDR1 mRNA水平显著低于结肠癌细胞,这至少部分归因于DNA甲基化和/或组蛋白去乙酰化等不同的表观遗传调控。这些结果有助于更好地理解联合化疗的疗效及其口服生物利用度。

https://cdn.ncbi.nlm.nih.gov/pmc/blobs/cda2/2529328/6495531d06a7/1471-230X-8-33-1.jpg

文献检索

告别复杂PubMed语法,用中文像聊天一样搜索,搜遍4000万医学文献。AI智能推荐,让科研检索更轻松。

立即免费搜索

文件翻译

保留排版,准确专业,支持PDF/Word/PPT等文件格式,支持 12+语言互译。

免费翻译文档

深度研究

AI帮你快速写综述,25分钟生成高质量综述,智能提取关键信息,辅助科研写作。

立即免费体验