• 文献检索
  • 文档翻译
  • 深度研究
  • 学术资讯
  • Suppr Zotero 插件Zotero 插件
  • 邀请有礼
  • 套餐&价格
  • 历史记录
应用&插件
Suppr Zotero 插件Zotero 插件浏览器插件Mac 客户端Windows 客户端微信小程序
定价
高级版会员购买积分包购买API积分包
服务
文献检索文档翻译深度研究API 文档MCP 服务
关于我们
关于 Suppr公司介绍联系我们用户协议隐私条款
关注我们

Suppr 超能文献

核心技术专利:CN118964589B侵权必究
粤ICP备2023148730 号-1Suppr @ 2026

文献检索

告别复杂PubMed语法,用中文像聊天一样搜索,搜遍4000万医学文献。AI智能推荐,让科研检索更轻松。

立即免费搜索

文件翻译

保留排版,准确专业,支持PDF/Word/PPT等文件格式,支持 12+语言互译。

免费翻译文档

深度研究

AI帮你快速写综述,25分钟生成高质量综述,智能提取关键信息,辅助科研写作。

立即免费体验

佛波酯选择性且可逆地抑制了一组负责雏鸡骨骼肌管正在进行的分化程序的肌原纤维基因。

Phorbol esters selectively and reversibly inhibit a subset of myofibrillar genes responsible for the ongoing differentiation program of chick skeletal myotubes.

作者信息

Choi J K, Holtzer S, Chacko S A, Lin Z X, Hoffman R K, Holtzer H

机构信息

Department of Biochemistry, University of Pennsylvania Medical School, Philadelphia 19104-6058.

出版信息

Mol Cell Biol. 1991 Sep;11(9):4473-82. doi: 10.1128/mcb.11.9.4473-4482.1991.

DOI:10.1128/mcb.11.9.4473-4482.1991
PMID:1875933
原文链接:https://pmc.ncbi.nlm.nih.gov/articles/PMC361312/
Abstract

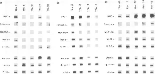
Phorbol esters selectively and reversibly disassemble the contractile apparatus of cultured skeletal muscle as well as inhibit the synthesis of many contractile proteins without inhibiting that of housekeeping proteins. We now demonstrate that phorbol esters reversibly decrease the mRNA levels of at least six myofibrillar genes: myosin heavy chain, myosin light chain 1/3, myosin light chain 2, cardiac and skeletal alpha-actin, and skeletal troponin T. The steady-state message levels decrease 50- to 100-fold after 48 h of exposure to phorbol esters. These decreases can be attributed at least in part to decreases in transcription rates. For at least two genes, cardiac and skeletal alpha-actin, some of the decreases are the result of increased mRNA turnover. In contrast, the cardiac troponin T steady-state message level does not change, and its transcription rate decreases only transiently upon exposure to phorbol esters. Phorbol esters do not decrease the expression of the housekeeping genes, alpha-tubulin, beta-actin, and gamma-actin. Phorbol esters do not decrease the steady-state message levels of MyoD1, a gene known to be important in the activation of many skeletal muscle-specific genes. Cycloheximide blocks the phorbol ester-induced decreases in transcription, message stability, and the resulting steady-state message level but does not block the tetradecanoyl phorbol acetate-induced rapid disassembly of the I-Z-I complexes. These results suggests a common mechanism for the regulation of many myofibrillar genes independent of MyoD1 mRNA levels, independent of housekeeping genes, but dependent on protein synthesis.

摘要

佛波酯能选择性且可逆地分解培养的骨骼肌收缩装置,同时抑制多种收缩蛋白的合成,而不抑制管家蛋白的合成。我们现在证明,佛波酯可逆地降低至少六种肌原纤维基因的mRNA水平:肌球蛋白重链、肌球蛋白轻链1/3、肌球蛋白轻链2、心肌和骨骼肌α-肌动蛋白以及骨骼肌肌钙蛋白T。暴露于佛波酯48小时后,稳态信使水平下降50至100倍。这些下降至少部分归因于转录速率的降低。对于至少两个基因,心肌和骨骼肌α-肌动蛋白,部分下降是mRNA周转增加的结果。相比之下,心肌肌钙蛋白T的稳态信使水平没有变化,其转录速率仅在暴露于佛波酯时短暂下降。佛波酯不会降低管家基因α-微管蛋白、β-肌动蛋白和γ-肌动蛋白的表达。佛波酯不会降低MyoD1的稳态信使水平,MyoD1是一种已知在许多骨骼肌特异性基因激活中起重要作用的基因。放线菌酮可阻断佛波酯诱导的转录、信使稳定性下降以及由此产生的稳态信使水平下降,但不会阻断十四酰佛波醇乙酸酯诱导的I-Z-I复合体的快速分解。这些结果表明,存在一种调节多种肌原纤维基因的共同机制,该机制独立于MyoD1 mRNA水平,独立于管家基因,但依赖于蛋白质合成。

https://cdn.ncbi.nlm.nih.gov/pmc/blobs/71a3/361312/161cd5a7022a/molcellb00033-0202-a.jpg
https://cdn.ncbi.nlm.nih.gov/pmc/blobs/71a3/361312/8f5a67cdcd55/molcellb00033-0199-a.jpg
https://cdn.ncbi.nlm.nih.gov/pmc/blobs/71a3/361312/65a4d995cfe1/molcellb00033-0200-a.jpg
https://cdn.ncbi.nlm.nih.gov/pmc/blobs/71a3/361312/c5b68a034c9c/molcellb00033-0201-a.jpg
https://cdn.ncbi.nlm.nih.gov/pmc/blobs/71a3/361312/500a3bdc8b1a/molcellb00033-0201-b.jpg
https://cdn.ncbi.nlm.nih.gov/pmc/blobs/71a3/361312/ffc76c92f6f4/molcellb00033-0201-c.jpg
https://cdn.ncbi.nlm.nih.gov/pmc/blobs/71a3/361312/161cd5a7022a/molcellb00033-0202-a.jpg
https://cdn.ncbi.nlm.nih.gov/pmc/blobs/71a3/361312/8f5a67cdcd55/molcellb00033-0199-a.jpg
https://cdn.ncbi.nlm.nih.gov/pmc/blobs/71a3/361312/65a4d995cfe1/molcellb00033-0200-a.jpg
https://cdn.ncbi.nlm.nih.gov/pmc/blobs/71a3/361312/c5b68a034c9c/molcellb00033-0201-a.jpg
https://cdn.ncbi.nlm.nih.gov/pmc/blobs/71a3/361312/500a3bdc8b1a/molcellb00033-0201-b.jpg
https://cdn.ncbi.nlm.nih.gov/pmc/blobs/71a3/361312/ffc76c92f6f4/molcellb00033-0201-c.jpg
https://cdn.ncbi.nlm.nih.gov/pmc/blobs/71a3/361312/161cd5a7022a/molcellb00033-0202-a.jpg

相似文献

1
Phorbol esters selectively and reversibly inhibit a subset of myofibrillar genes responsible for the ongoing differentiation program of chick skeletal myotubes.佛波酯选择性且可逆地抑制了一组负责雏鸡骨骼肌管正在进行的分化程序的肌原纤维基因。
Mol Cell Biol. 1991 Sep;11(9):4473-82. doi: 10.1128/mcb.11.9.4473-4482.1991.
2
Phorbol esters selectively downregulate contractile protein gene expression in terminally differentiated myotubes through transcriptional repression and message destabilization.佛波酯通过转录抑制和信息不稳定作用,选择性地下调终末分化肌管中收缩蛋白基因的表达。
J Cell Biol. 1991 Nov;115(3):745-54. doi: 10.1083/jcb.115.3.745.
3
Sequential disassembly of myofibrils induced by myristate acetate in cultured myotubes.肉豆蔻酸乙酸酯在培养的肌管中诱导肌原纤维的顺序性拆解。
J Cell Biol. 1987 Sep;105(3):1365-76. doi: 10.1083/jcb.105.3.1365.
4
Phorbol esters induce immediate-early genes and activate cardiac gene transcription in neonatal rat myocardial cells.佛波酯可诱导即刻早期基因并激活新生大鼠心肌细胞中的心脏基因转录。
J Mol Cell Cardiol. 1990 Aug;22(8):901-10. doi: 10.1016/0022-2828(90)90121-h.
5
Differential response of myofibrillar and cytoskeletal proteins in cells treated with phorbol myristate acetate.佛波醇肉豆蔻酸酯乙酸酯处理的细胞中肌原纤维蛋白和细胞骨架蛋白的差异反应。
J Cell Biol. 1989 Mar;108(3):1079-91. doi: 10.1083/jcb.108.3.1079.
6
Enhanced GLUT1 glucose transporter and cytoskeleton gene expression in cultured bovine brain capillary endothelial cells after treatment with phorbol esters and serum.在用佛波酯和血清处理后,培养的牛脑毛细血管内皮细胞中葡萄糖转运蛋白1(GLUT1)和细胞骨架基因表达增强。
Brain Res Mol Brain Res. 1992 Oct;15(3-4):221-6. doi: 10.1016/0169-328x(92)90112-o.
7
Phorbol ester stimulates the synthesis and secretion of brain natriuretic peptide from neonatal rat ventricular cardiocytes: a comparison with the regulation of atrial natriuretic factor.佛波酯刺激新生大鼠心室心肌细胞合成和分泌脑钠肽:与心钠素调节的比较。
Mol Endocrinol. 1993 Oct;7(10):1284-96. doi: 10.1210/mend.7.10.8264660.
8
Selective effects of phorbol 12-myristate 13-acetate on myofibrils and 10-nm filaments.佛波醇12-肉豆蔻酸酯13-乙酸酯对肌原纤维和10纳米细丝的选择性作用。
Proc Natl Acad Sci U S A. 1980 Sep;77(9):5273-7. doi: 10.1073/pnas.77.9.5273.
9
Regulation of beta-actin gene transcription by insulin and phorbol esters.胰岛素和佛波酯对β-肌动蛋白基因转录的调控
Exp Cell Res. 1992 Jun;200(2):532-5. doi: 10.1016/0014-4827(92)90206-n.
10
Interleukin-3 and phorbol esters induce different patterns of immediate-early gene expression in an interleukin-3 dependent cell line.白细胞介素-3和佛波酯在白细胞介素-3依赖细胞系中诱导不同模式的即早基因表达。
Oncogene Res. 1991;6(1):1-12.

引用本文的文献

1
Co-Infections by and spp. on : Complex Phenotypic and Molecular Interactions.肺炎链球菌与其他菌种的合并感染:复杂的表型和分子相互作用
Plants (Basel). 2021 Sep 22;10(10):1976. doi: 10.3390/plants10101976.
2
Validation of reference genes in Penicillium echinulatum to enable gene expression study using real-time quantitative RT-PCR.棘孢青霉中内参基因的验证,以实现使用实时定量RT-PCR进行基因表达研究。
Curr Genet. 2014 Aug;60(3):231-6. doi: 10.1007/s00294-014-0421-6. Epub 2014 Feb 8.
3
Antibody repertoire development in fetal and neonatal piglets. XXII. λ Rearrangement precedes κ rearrangement during B-cell lymphogenesis in swine.

本文引用的文献

1
Effects of 12-O-tetradecanoyl-phorbol-13-acetate on Myofibril integrity and Ca2+ content in developing myotubes.12-O-十四烷酰佛波醇-13-乙酸酯对发育中的肌管中肌原纤维完整性和Ca2+含量的影响。
Dev Biol. 1982 Feb;89(2):460-74. doi: 10.1016/0012-1606(82)90334-7.
2
Number and evolutionary conservation of alpha- and beta-tubulin and cytoplasmic beta- and gamma-actin genes using specific cloned cDNA probes.使用特异性克隆的cDNA探针检测α-和β-微管蛋白以及细胞质β-和γ-肌动蛋白基因的数量和进化保守性。
Cell. 1980 May;20(1):95-105. doi: 10.1016/0092-8674(80)90238-x.
3
alpha-Cardiac actin is the major sarcomeric isoform expressed in embryonic avian skeletal muscle.
抗体库在胎儿和新生仔猪中的发育。XXII. 在猪的 B 细胞淋巴生成过程中,λ重排先于 κ 重排。
Immunology. 2012 Oct;137(2):149-59. doi: 10.1111/j.1365-2567.2012.03615.x.
4
Preservation of ranking order in the expression of human Housekeeping genes.保持人类管家基因表达的等级顺序。
PLoS One. 2011;6(12):e29314. doi: 10.1371/journal.pone.0029314. Epub 2011 Dec 22.
5
Selection and validation of endogenous reference genes using a high throughput approach.使用高通量方法对内源性参考基因进行筛选和验证。
BMC Genomics. 2004 Aug 13;5(1):55. doi: 10.1186/1471-2164-5-55.
6
Intermediate filament proteins in TPA-treated skeletal muscle cells in culture.培养的经佛波酯处理的骨骼肌细胞中的中间丝蛋白
J Muscle Res Cell Motil. 1996 Apr;17(2):199-206. doi: 10.1007/BF00124242.
7
Regulation of mammalian ribonucleotide reductase R1 mRNA stability is mediated by a ribonucleotide reductase R1 mRNA 3'-untranslated region cis-trans interaction through a protein kinase C-controlled pathway.哺乳动物核糖核苷酸还原酶R1 mRNA稳定性的调控是通过蛋白激酶C控制的途径,由核糖核苷酸还原酶R1 mRNA的3'-非翻译区顺式-反式相互作用介导的。
Biochem J. 1994 Aug 15;302 ( Pt 1)(Pt 1):125-32. doi: 10.1042/bj3020125.
8
Coordinate changes in gene expression which mark the spinous to granular cell transition in epidermis are regulated by protein kinase C.标志着表皮中棘状细胞向颗粒细胞转变的基因表达的协调变化受蛋白激酶C调控。
J Cell Biol. 1993 Jan;120(1):217-25. doi: 10.1083/jcb.120.1.217.
9
mRNA stability in mammalian cells.哺乳动物细胞中的信使核糖核酸稳定性
Microbiol Rev. 1995 Sep;59(3):423-50. doi: 10.1128/mr.59.3.423-450.1995.
10
The vinculin/sarcomeric-alpha-actinin/alpha-actin nexus in cultured cardiac myocytes.培养心肌细胞中的纽蛋白/肌节α-辅肌动蛋白/α-肌动蛋白连接
J Cell Biol. 1992 Jun;117(5):1007-22. doi: 10.1083/jcb.117.5.1007.
α-心肌肌动蛋白是在胚胎期禽类骨骼肌中表达的主要肌节亚型。
Science. 1984 Jun 29;224(4656):1436-8. doi: 10.1126/science.6729461.
4
Isolation and characterization of six different chicken actin genes.六种不同鸡肌动蛋白基因的分离与鉴定
Mol Cell Biol. 1984 Nov;4(11):2498-508. doi: 10.1128/mcb.4.11.2498-2508.1984.
5
Structural change of myofibrils during mitosis of newt embryonic myocardial cells in culture.培养的蝾螈胚胎心肌细胞有丝分裂过程中肌原纤维的结构变化。
Exp Cell Res. 1984 Aug;153(2):483-98. doi: 10.1016/0014-4827(84)90615-3.
6
Cloned mRNA sequences for two types of embryonic myosin heavy chains from chick skeletal muscle. II. Expression during development using S1 nuclease mapping.鸡骨骼肌两种胚胎型肌球蛋白重链的克隆mRNA序列。II. 使用S1核酸酶图谱分析在发育过程中的表达
J Biol Chem. 1983 Apr 25;258(8):5206-14.
7
The complete nucleotide sequence of the chick a-actin gene and its evolutionary relationship to the actin gene family.鸡α-肌动蛋白基因的完整核苷酸序列及其与肌动蛋白基因家族的进化关系。
Nucleic Acids Res. 1982 Jul 10;10(13):3861-76. doi: 10.1093/nar/10.13.3861.
8
A tumor promoter induces rapid and coordinated reorganization of actin and vinculin in cultured cells.肿瘤启动子可诱导培养细胞中肌动蛋白和纽蛋白快速且协调的重组。
J Cell Biol. 1984 Sep;99(3):1045-59. doi: 10.1083/jcb.99.3.1045.
9
Transcriptional and cell cycle-mediated regulation of myosin heavy chain gene expression during muscle cell differentiation.肌肉细胞分化过程中肌球蛋白重链基因表达的转录及细胞周期介导调控
J Biol Chem. 1983 Sep 25;258(18):11063-73.
10
A single troponin T gene regulated by different programs in cardiac and skeletal muscle development.单个肌钙蛋白T基因在心脏和骨骼肌发育中受不同程序调控。
Science. 1984 Nov 23;226(4677):979-82. doi: 10.1126/science.6095446.