• 文献检索
  • 文档翻译
  • 深度研究
  • 学术资讯
  • Suppr Zotero 插件Zotero 插件
  • 邀请有礼
  • 套餐&价格
  • 历史记录
应用&插件
Suppr Zotero 插件Zotero 插件浏览器插件Mac 客户端Windows 客户端微信小程序
定价
高级版会员购买积分包购买API积分包
服务
文献检索文档翻译深度研究API 文档MCP 服务
关于我们
关于 Suppr公司介绍联系我们用户协议隐私条款
关注我们

Suppr 超能文献

核心技术专利:CN118964589B侵权必究
粤ICP备2023148730 号-1Suppr @ 2026

文献检索

告别复杂PubMed语法,用中文像聊天一样搜索,搜遍4000万医学文献。AI智能推荐,让科研检索更轻松。

立即免费搜索

文件翻译

保留排版,准确专业,支持PDF/Word/PPT等文件格式,支持 12+语言互译。

免费翻译文档

深度研究

AI帮你快速写综述,25分钟生成高质量综述,智能提取关键信息,辅助科研写作。

立即免费体验

手术后及创伤后股深动脉假性动脉瘤

Profunda femoris artery pseudoaneurysm after surgery and trauma.

作者信息

Unay Koray, Poyanli Oguz, Akan Kaya, Poyanli Arzu

机构信息

Department of Orthopaedic and Traumatology, Goztepe Research and Training Hospital, Istanbul, Turkey,

出版信息

Strategies Trauma Limb Reconstr. 2008 Dec;3(3):127-9. doi: 10.1007/s11751-008-0043-y. Epub 2008 Sep 9.

DOI:10.1007/s11751-008-0043-y
PMID:18780187
原文链接:https://pmc.ncbi.nlm.nih.gov/articles/PMC2599797/
Abstract

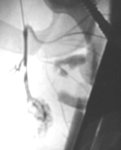
Pseudoaneurysms of the profunda femoris artery have been reported following different types of trauma and from orthopedic procedures performed in the proximal femur. Two cases of profunda femoris artery pseudoaneurysm with two rare causes are presented. The first one is a core decompression of femoral head for osteonecrosis and the second one is a proximal femur fracture nailing. Awareness and careful follow-up are the key issues for the early diagnosis.

摘要

已有报道称,在不同类型的创伤后以及在股骨近端进行骨科手术后会出现股深动脉假性动脉瘤。本文介绍了两例由两种罕见原因导致的股深动脉假性动脉瘤病例。第一例是因股骨头缺血性坏死进行的股骨头髓芯减压术,第二例是股骨近端骨折内固定术。提高认识并进行仔细随访是早期诊断的关键问题。

https://cdn.ncbi.nlm.nih.gov/pmc/blobs/4445/2599797/42d81b70f9ae/11751_2008_43_Fig3_HTML.jpg
https://cdn.ncbi.nlm.nih.gov/pmc/blobs/4445/2599797/5e239dfe7bc9/11751_2008_43_Fig1_HTML.jpg
https://cdn.ncbi.nlm.nih.gov/pmc/blobs/4445/2599797/17f88ccc45dc/11751_2008_43_Fig2_HTML.jpg
https://cdn.ncbi.nlm.nih.gov/pmc/blobs/4445/2599797/42d81b70f9ae/11751_2008_43_Fig3_HTML.jpg
https://cdn.ncbi.nlm.nih.gov/pmc/blobs/4445/2599797/5e239dfe7bc9/11751_2008_43_Fig1_HTML.jpg
https://cdn.ncbi.nlm.nih.gov/pmc/blobs/4445/2599797/17f88ccc45dc/11751_2008_43_Fig2_HTML.jpg
https://cdn.ncbi.nlm.nih.gov/pmc/blobs/4445/2599797/42d81b70f9ae/11751_2008_43_Fig3_HTML.jpg

相似文献

1
Profunda femoris artery pseudoaneurysm after surgery and trauma.手术后及创伤后股深动脉假性动脉瘤
Strategies Trauma Limb Reconstr. 2008 Dec;3(3):127-9. doi: 10.1007/s11751-008-0043-y. Epub 2008 Sep 9.
2
A Case of Profunda Femoris Artery Pseudoaneurysm Treated With Catheterization and Surgical Hematoma Removal.1例股深动脉假性动脉瘤的导管介入及手术清除血肿治疗病例
Cureus. 2023 Jul 30;15(7):e42708. doi: 10.7759/cureus.42708. eCollection 2023 Jul.
3
Misery of Orthopaedic Surgeon: Delayed Diagnosis of Pseudoaneurysm of Profunda Femoris Artery Following Fixation of Intertrochanteric Femoral Fracture: A Case Report and Review of Literature.骨科医生的苦恼:股骨转子间骨折内固定术后股深动脉假性动脉瘤的延迟诊断:一例报告并文献复习
J Orthop Case Rep. 2020 May-Jun;10(3):53-56. doi: 10.13107/jocr.2020.v10.i03.1746.
4
Profunda femoris artery pseudoaneurysm following revision for femoral shaft fracture nonunion.股骨干骨折不愈合翻修术后股深动脉假性动脉瘤
World J Orthop. 2013 Jul 18;4(3):154-6. doi: 10.5312/wjo.v4.i3.154.
5
Pseudoaneurysm of the Profunda Femoris Artery following Blunt Trauma Treated by Endovascular Coil Embolization: Review of Two Cases and Relevant Literature.钝性创伤后股深动脉假性动脉瘤的血管内弹簧圈栓塞治疗:两例病例报告及相关文献复习
Case Rep Emerg Med. 2017;2017:8079674. doi: 10.1155/2017/8079674. Epub 2017 Jan 26.
6
Late Presentation of an Iatrogenic Pseudoaneurysm of the Profunda Femoris Artery following Intramedullary Nailing.股骨髓内钉固定术后医源性股深动脉假性动脉瘤的延迟表现
Case Rep Orthop. 2018 Sep 23;2018:8270256. doi: 10.1155/2018/8270256. eCollection 2018.
7
Profunda Femoris Artery Pseudoaneurysm after Intramedullary Fixation for a Pertrochanteric Hip Fracture.股骨粗隆间髋部骨折髓内固定术后股深动脉假性动脉瘤
J Orthop Case Rep. 2017 Mar-Apr;7(2):74-77. doi: 10.13107/jocr.2250-0685.758.
8
Endovascular repair of true profunda femoris artery aneurysm using covered stent.使用覆膜支架对股深动脉真性动脉瘤进行血管腔内修复。
Radiol Case Rep. 2024 Sep 4;19(11):5523-5526. doi: 10.1016/j.radcr.2024.08.017. eCollection 2024 Nov.
9
False aneurysm of perforating branch of the deep femoral artery-Report of two cases.股深动脉穿支假性动脉瘤——附2例报告
Int J Surg Case Rep. 2015;14:36-9. doi: 10.1016/j.ijscr.2015.07.001. Epub 2015 Jul 10.
10
Spontaneous pseudoaneurysm of profunda femoris artery following a musculoskeletal sports injury.肌肉骨骼运动损伤后股深动脉自发性假性动脉瘤
Radiol Case Rep. 2023 Jul 22;18(10):3400-3405. doi: 10.1016/j.radcr.2023.06.067. eCollection 2023 Oct.

引用本文的文献

1
Unilateral lower limb oedema: A Hidden Pseudoaneurysm.单侧下肢水肿:隐匿性假性动脉瘤
Int J Surg Case Rep. 2022 Oct;99:107576. doi: 10.1016/j.ijscr.2022.107576. Epub 2022 Aug 31.
2
Pseudoaneurysm of the external iliac artery is a rare late complication after total hip arthroplasty.髂外动脉假性动脉瘤是全髋关节置换术后一种罕见的晚期并发症。
J Vasc Surg Cases Innov Tech. 2017 Jul 18;3(3):149-151. doi: 10.1016/j.jvscit.2017.04.006. eCollection 2017 Sep.
3
Profunda Femoris Artery Pseudoaneurysm after Intramedullary Fixation for a Pertrochanteric Hip Fracture.

本文引用的文献

1
[Traumatic pseudoaneurysm of arteria femoralis profunda--the case report].
Rozhl Chir. 2007 Mar;86(3):116-9.
2
A false aneurysm mistaken for a DVT after hip surgery.
Ulus Travma Acil Cerrahi Derg. 2005 Apr;11(2):178-9.
3
Profunda femoris artery pseudoaneurysm presenting with triad of thigh swelling, bleeding and anaemia.股深动脉假性动脉瘤表现为大腿肿胀、出血和贫血三联征。
Ann Acad Med Singap. 2004 Mar;33(2):267-9.
4
股骨粗隆间髋部骨折髓内固定术后股深动脉假性动脉瘤
J Orthop Case Rep. 2017 Mar-Apr;7(2):74-77. doi: 10.13107/jocr.2250-0685.758.
4
Pseudoaneurysm of the Profunda Femoris Artery following Blunt Trauma Treated by Endovascular Coil Embolization: Review of Two Cases and Relevant Literature.钝性创伤后股深动脉假性动脉瘤的血管内弹簧圈栓塞治疗:两例病例报告及相关文献复习
Case Rep Emerg Med. 2017;2017:8079674. doi: 10.1155/2017/8079674. Epub 2017 Jan 26.
5
Pseudoaneurysm of the anterior tibial artery after interlocking tibial nailing: an unexpected complication.交锁髓内钉固定术后胫前动脉假性动脉瘤:一种意外的并发症。
Eur J Med Res. 2016 Sep 29;21(1):36. doi: 10.1186/s40001-016-0231-z.
6
Iatrogenic Pseudo-aneurysm of Profunda Femoris Artery Following Fixation of Intertrochanteric Femur Fracture - A Case Report and Review of Literature.
J Clin Diagn Res. 2016 Mar;10(3):RD01-3. doi: 10.7860/JCDR/2016/17818.7437. Epub 2016 Mar 1.
7
Profunda Femoris Pseudoaneurysm following Total Hip Arthroplasty Revision.全髋关节置换翻修术后股深动脉假性动脉瘤
Case Rep Orthop. 2015;2015:301949. doi: 10.1155/2015/301949. Epub 2015 Aug 10.
8
Profunda femoris artery pseudoaneurysm following revision for femoral shaft fracture nonunion.股骨干骨折不愈合翻修术后股深动脉假性动脉瘤
World J Orthop. 2013 Jul 18;4(3):154-6. doi: 10.5312/wjo.v4.i3.154.
9
Pseudoaneurysm of the peroneal artery: an unusual complication of open docking site procedure in bone transport with Taylor Spatial Frame.
Musculoskelet Surg. 2013 Aug;97(2):183-6. doi: 10.1007/s12306-011-0163-2. Epub 2011 Aug 5.
False aneurysm of perforating branch of the profunda femoris artery after external fixation for a complicated femur fracture.
复杂股骨骨折外固定后股深动脉穿支假性动脉瘤
J Cardiovasc Surg (Torino). 2002 Aug;43(4):519-21.
5
Pseudoaneurysm of the superficial femoral artery after closed hip nailing with a Gamma nail: report of a case.
J Orthop Trauma. 2002 Feb;16(2):124-7. doi: 10.1097/00005131-200202000-00009.