Kristiansen G, Fritzsche F R, Wassermann K, Jäger C, Tölls A, Lein M, Stephan C, Jung K, Pilarsky C, Dietel M, Moch H
Department of Surgical Pathology, University Hospital Zurich, Zurich, Switzerland.
Br J Cancer. 2008 Sep 16;99(6):939-48. doi: 10.1038/sj.bjc.6604614.
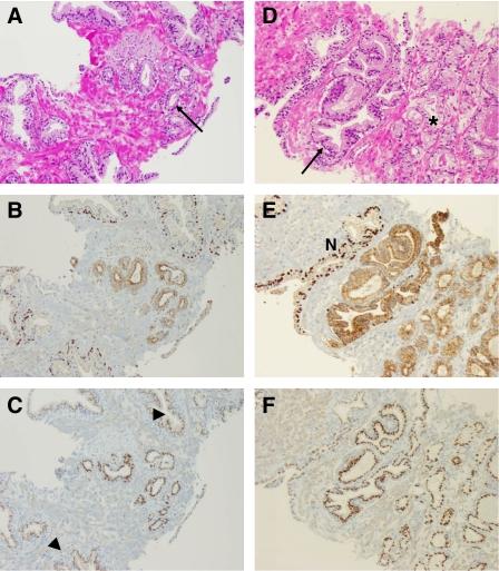
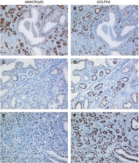
GOLPH2 is coding the 73-kDa type II Golgi membrane antigen GOLPH2/GP73. Upregulation of GOLPH2 mRNA has been recently reported in expression array analyses of prostate cancer. As GOLPH2 protein expression in prostate tissues is currently unknown, this study aimed at a comprehensive analysis of GOLPH2 protein in benign and malignant prostate lesions. Immunohistochemically detected GOLPH2 protein expression was compared with the basal cell marker p63 and the prostate cancer marker alpha-methylacyl-CoA racemase (AMACR) in 614 radical prostatectomy specimens. GOLPH2 exhibited a perinuclear Golgi-type staining pattern and was preferentially seen in prostatic gland epithelia. Using a semiquantitative staining intensity score, GOLPH2 expression was significantly higher in prostate cancer glands compared with normal glands (P<0.001). GOLPH2 protein was upregulated in 567 of 614 tumours (92.3%) and AMACR in 583 of 614 tumours (95%) (correlation coefficient 0.113, P = 0.005). Importantly, GOLPH2 immunohistochemistry exhibited a lower level of intratumoral heterogeneity (25 vs 45%). Further, GOLPH2 upregulation was detected in 26 of 31 (84%) AMACR-negative prostate cancer cases. These data clearly suggest GOLPH2 as an additional ancillary positive marker for tissue-based diagnosis of prostate cancer.
GOLPH2编码73 kDa的II型高尔基体膜抗原GOLPH2/GP73。最近在前列腺癌的表达阵列分析中报道了GOLPH2 mRNA的上调。由于目前尚不清楚前列腺组织中GOLPH2蛋白的表达情况,本研究旨在全面分析良性和恶性前列腺病变中的GOLPH2蛋白。在614份前列腺癌根治术标本中,将免疫组化检测到的GOLPH2蛋白表达与基底细胞标志物p63和前列腺癌标志物α-甲基酰基辅酶A消旋酶(AMACR)进行比较。GOLPH2呈现核周高尔基体样染色模式,且在前列腺腺上皮中优先可见。使用半定量染色强度评分,与正常腺体相比,前列腺癌腺体中GOLPH2的表达显著更高(P<0.001)。614例肿瘤中有567例(92.3%)GOLPH2蛋白上调,614例肿瘤中有583例(95%)AMACR上调(相关系数0.113,P = 0.005)。重要的是,GOLPH2免疫组化显示肿瘤内异质性水平较低(25%对45%)。此外,在31例AMACR阴性前列腺癌病例中的26例(84%)检测到GOLPH2上调。这些数据清楚地表明GOLPH2可作为前列腺癌组织学诊断的另一种辅助阳性标志物。