Suppr超能文献

线粒体在新生隐球菌低氧条件下存活及对氯化钴耐受性中的重要性。

Importance of mitochondria in survival of Cryptococcus neoformans under low oxygen conditions and tolerance to cobalt chloride.

作者信息

Ingavale Susham S, Chang Yun C, Lee Hyeseung, McClelland Carol M, Leong Madeline L, Kwon-Chung Kyung J

机构信息

Laboratory of Clinical Infectious Diseases, National Institute of Allergy and Infectious Diseases, National Institutes of Health, Bethesda, Maryland, United States of America.

出版信息

PLoS Pathog. 2008 Sep 19;4(9):e1000155. doi: 10.1371/journal.ppat.1000155.

Abstract

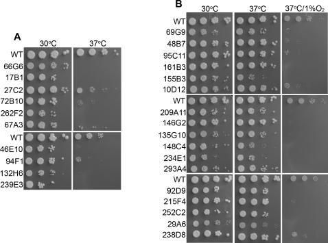
Cryptococcus neoformans is an environmental fungal pathogen that requires atmospheric levels of oxygen for optimal growth. For the fungus to be able to establish an infection, it must adapt to the low oxygen concentrations in the host environment compared to its natural habitat. In order to investigate the oxygen sensing mechanism in C. neoformans, we screened T-DNA insertional mutants for hypoxia-mimetic cobalt chloride (CoCl(2))-sensitive mutants. All the CoCl(2)-sensitive mutants had a growth defect under low oxygen conditions at 37 degrees C. The majority of mutants are compromised in their mitochondrial function, which is reflected by their reduced rate of respiration. Some of the mutants are also defective in mitochondrial membrane permeability, suggesting the importance of an intact respiratory system for survival under both high concentrations of CoCl(2) as well as low oxygen conditions. In addition, the mutants tend to accumulate intracellular reactive oxygen species (ROS), and all mutants show sensitivity to various ROS generating chemicals. Gene expression analysis revealed the involvement of several pathways in response to cobalt chloride. Our findings indicate cobalt chloride sensitivity and/or sensitivity to low oxygen conditions are linked to mitochondrial function, sterol and iron homeostasis, ubiquitination, and the ability of cells to respond to ROS. These findings imply that multiple pathways are involved in oxygen sensing in C. neoformans.

摘要

新型隐球菌是一种环境真菌病原体,其最佳生长需要大气水平的氧气。为了能够建立感染,与自然栖息地相比,该真菌必须适应宿主环境中的低氧浓度。为了研究新型隐球菌中的氧感应机制,我们筛选了T-DNA插入突变体以寻找对缺氧模拟物氯化钴(CoCl₂)敏感的突变体。所有对CoCl₂敏感的突变体在37℃低氧条件下均有生长缺陷。大多数突变体的线粒体功能受损,这反映在它们降低的呼吸速率上。一些突变体的线粒体膜通透性也存在缺陷,这表明完整的呼吸系统对于在高浓度CoCl₂以及低氧条件下生存的重要性。此外,突变体倾向于积累细胞内活性氧(ROS),并且所有突变体对各种产生活性氧的化学物质均表现出敏感性。基因表达分析揭示了几种响应氯化钴的途径的参与。我们的研究结果表明,对氯化钴的敏感性和/或对低氧条件的敏感性与线粒体功能、甾醇和铁稳态、泛素化以及细胞对活性氧的反应能力有关。这些发现意味着新型隐球菌的氧感应涉及多种途径。

https://cdn.ncbi.nlm.nih.gov/pmc/blobs/7bfe/2528940/db778b876422/ppat.1000155.g001.jpg

文献检索

告别复杂PubMed语法,用中文像聊天一样搜索,搜遍4000万医学文献。AI智能推荐,让科研检索更轻松。

立即免费搜索

文件翻译

保留排版,准确专业,支持PDF/Word/PPT等文件格式,支持 12+语言互译。

免费翻译文档

深度研究

AI帮你快速写综述,25分钟生成高质量综述,智能提取关键信息,辅助科研写作。

立即免费体验