Baillet Adrienne, Mandon-Pépin Béatrice, Cabau Cédric, Poumerol Elodie, Pailhoux Eric, Cotinot Corinne
INRA, ENVA, UMR 1198 Biologie du Développement et Reproduction, F-78350 Jouy en Josas, France.
BMC Genomics. 2008 Sep 23;9:436. doi: 10.1186/1471-2164-9-436.
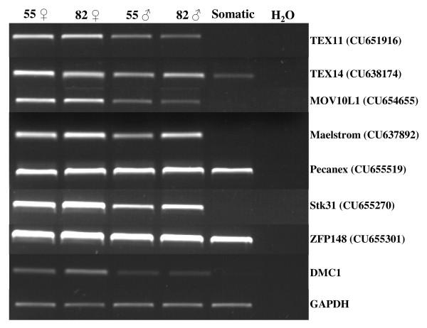
The key steps in germ cell survival during ovarian development are the entry into meiosis of oogonies and the formation of primordial follicles, which then determine the reproductive lifespan of the ovary. In sheep, these steps occur during fetal life, between 55 and 80 days of gestation, respectively. The aim of this study was to identify differentially expressed ovarian genes during prophase I meiosis and early folliculogenesis in sheep.
In order to elucidate the molecular events associated with early ovarian differentiation, we generated two ovary stage-specific subtracted cDNA libraries using SSH. Large-scale sequencing of these SSH libraries identified 6,080 ESTs representing 2,535 contigs. Clustering and assembly of these ESTs resulted in a total of 2,101 unique sequences depicted in 1,305 singleton (62.11%) and 796 contigs (37.9%) ESTs (clusters). BLASTX evaluation indicated that 99% of the ESTs were homologous to various known genes/proteins in a broad range of organisms, especially ovine, bovine and human species. The remaining 1% which exhibited any homology to known gene sequences was considered as novel. Detailed study of the expression patterns of some of these genes using RT-PCR revealed new promising candidates for ovary differentiation genes in sheep.
We showed that the SSH approach was relevant to determining new mammalian genes which might be involved in oogenesis and early follicle development, and enabled the discovery of new potential oocyte and granulosa cell markers for future studies. These genes may have significant implications regarding our understanding of ovarian function in molecular terms, and for the development of innovative strategies to both promote and control fertility.
卵巢发育过程中生殖细胞存活的关键步骤是卵原细胞进入减数分裂以及原始卵泡的形成,这进而决定了卵巢的生殖寿命。在绵羊中,这些步骤分别发生在妊娠55至80天的胎儿期。本研究的目的是鉴定绵羊减数分裂前期I和早期卵泡发生过程中卵巢差异表达基因。
为了阐明与卵巢早期分化相关的分子事件,我们使用抑制性消减杂交(SSH)构建了两个卵巢阶段特异性消减cDNA文库。对这些SSH文库进行大规模测序,鉴定出6080个EST,代表2535个重叠群。这些EST的聚类和组装产生了总共2101个独特序列,以1305个单拷贝(62.11%)和796个重叠群(37.9%)的EST(簇)形式呈现。BLASTX评估表明,99%的EST与广泛生物体中的各种已知基因/蛋白质同源,尤其是绵羊、牛和人类物种。其余1%与已知基因序列有任何同源性的被视为新基因。使用逆转录聚合酶链反应(RT-PCR)对其中一些基因的表达模式进行详细研究,揭示了绵羊卵巢分化基因的新的有潜力的候选基因。
我们表明,SSH方法与确定可能参与卵子发生和早期卵泡发育的新的哺乳动物基因相关,并能够发现新的潜在卵母细胞和颗粒细胞标记物以供未来研究。这些基因可能对我们从分子角度理解卵巢功能以及开发促进和控制生育的创新策略具有重要意义。