Suppr超能文献

Electron microscopy of rat lung following a single acute exposure to perfluoroisobutylene (PFIB). A sequential study of the first 24 hours following exposure.

作者信息

Brown R F, Rice P

机构信息

Pathology and Clinical Toxicology Section, Chemical and Biological Defence Establishment, Salisbury, Wilts, UK.

出版信息

Int J Exp Pathol. 1991 Aug;72(4):437-50.

Abstract

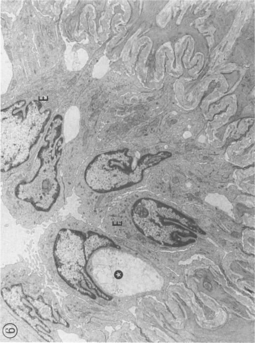
The histopathology of rat lung has been studied after an acute exposure to perfluoroisobutylene (PFIB) at a concentration of 638 mg/m3 (78 p.p.m.) for 1.5 min giving a Ct = 957 mg min/m3 for the first 24 h following exposure. Within 5 min of exposure changes to the bronchioles and peribronchial alveoli were observed which took the form of alterations to cilial structure, increased pinocytosis and electron lucency, with occasional vesicle formation of type I alveolar epithelial cells. Intercellular leakage with minimal fluid accumulation in the alveolar spaces was also seen. The very rapid action of PFIB strongly suggests a direct action by the compound. There then followed the gradual development of pulmonary oedema which was visible histologically 2-3 h post exposure with deaths occurring from 7 h onwards. Animals sacrificed at 24 h post exposure showed evidence of widespread pulmonary oedema and alveolar interstitial infiltration by lympho-mononuclear cells and macrophages.

摘要
https://cdn.ncbi.nlm.nih.gov/pmc/blobs/3bb5/2001962/5c02ab75406d/ijexpath00028-0077-a.jpg

文献AI研究员

20分钟写一篇综述,助力文献阅读效率提升50倍。

立即体验

用中文搜PubMed

大模型驱动的PubMed中文搜索引擎

马上搜索

文档翻译

学术文献翻译模型,支持多种主流文档格式。

立即体验